Tel:
+49 (0)241 95 163 153
Fax:
+49 (0)241 95 163 155
E-Mail:
orders@anticorps-enligne.fr

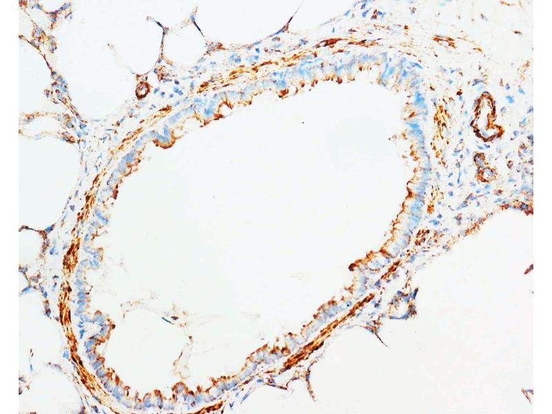
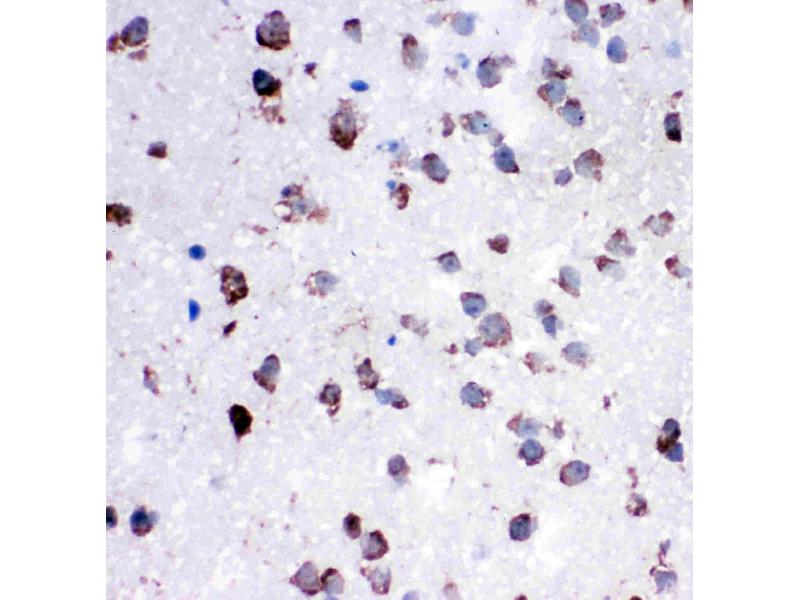
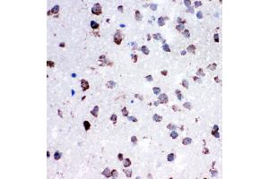
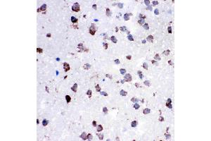
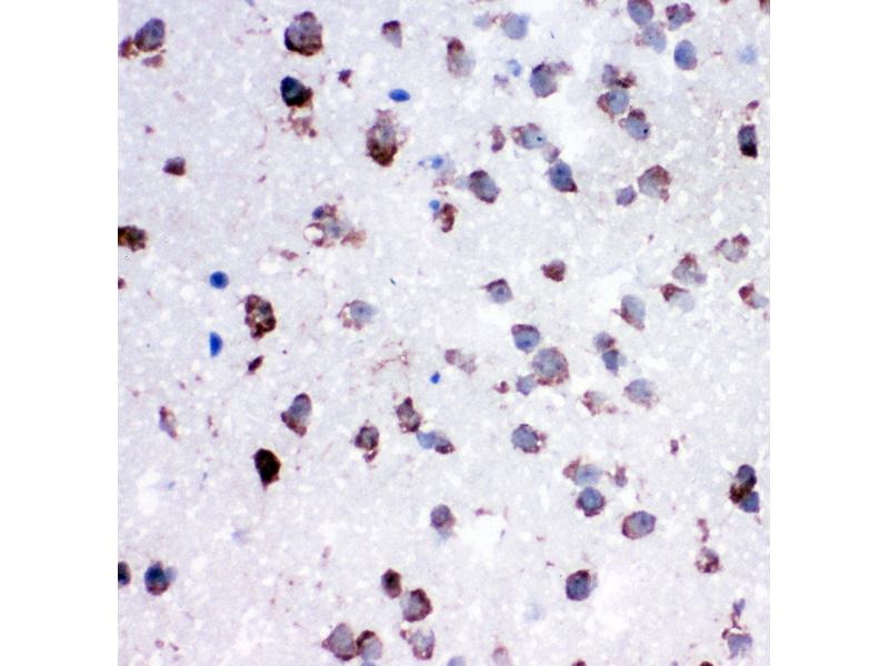
Cytochrome C anticorps (C-Term)

Il existe 19+ publications pour ce produit. L’anticorps anti-Cytochrome C Polyclonal Lapin est utilisé pour la détection de Cytochrome C dans des échantillons de Humain, Rat et Souris. Il a été validé pour WB, IHC, FACS, IF, ICC et IHC (fro).
N° du produit ABIN3043697
500,50 €
Plus frais de livraison 40,00 € et TVA
100 μg
Destination: France
Envoi sous 8 à 12 jours ouvrables

Aperçu rapide pour Cytochrome C anticorps (C-Term) (ABIN3043697)

Antigène

Voir toutes Cytochrome C (CYCS) Anticorps
Cytochrome C (CYCS) (Cytochrome C, Somatic (CYCS))

Reactivité

  • 231
  • 193
  • 172
  • 64
  • 59
  • 53
  • 52
  • 50
  • 44
  • 20
  • 8
  • 7
  • 5
  • 4
  • 4
  • 1
  • 1
  • 1
  • 1
  • 1
  • 1
  • 1
  • 1
  • 1
  • 1
Humain, Rat, Souris

Hôte

  • 125
  • 119
  • 6
  • 1
Lapin

Clonalité

  • 169
  • 81
  • 1
Polyclonal

Conjugué

  • 120
  • 18
  • 7
  • 6
  • 6
  • 6
  • 6
  • 6
  • 6
  • 6
  • 5
  • 5
  • 4
  • 4
  • 4
  • 4
  • 3
  • 2
  • 2
  • 2
  • 2
  • 2
  • 2
  • 2
  • 2
  • 2
  • 2
  • 2
  • 2
  • 2
  • 2
  • 2
  • 2
  • 1
  • 1
  • 1
Cet anticorp Cytochrome C est non-conjugé

Application

  • 195
  • 111
  • 89
  • 74
  • 42
  • 39
  • 36
  • 27
  • 27
  • 23
  • 14
  • 10
  • 8
  • 4
  • 3
  • 3
  • 2
  • 2
  • 2
  • 2
  • 1
  • 1
  • 1
  • 1
  • 1
  • 1
  • 1
  • 1
Western Blotting (WB), Immunohistochemistry (IHC), Flow Cytometry (FACS), Immunofluorescence (IF), Immunocytochemistry (ICC), Immunohistochemistry (Frozen Sections) (IHC (fro))
  • Épitope

    • 41
    • 16
    • 7
    • 6
    • 5
    • 5
    • 4
    • 4
    • 2
    • 2
    • 2
    • 2
    • 2
    • 2
    • 1
    • 1
    • 1
    • 1
    • 1
    • 1
    • 1
    • 1
    AA 91-105, C-Term

    Fonction

    Anti-Cytochrome C/CYCS Antibody

    Séquence

    ERADLIAYLK KATNE

    Réactivité croisée (Details)

    No cross-reactivity with other proteins

    Attributs du produit

    Anti-Cytochrome C/CYCS Antibody (ABIN3043697). Tested in Flow Cytometry, IF, IHC, IHC-F, ICC, WB applications. This antibody reacts with Human, Mouse, Rat. This is a premium antibody that guarantees superior quality, high affinity, and strong signals with minimal background in Western blot applications.

    Purification

    Immunogen affinity purified.

    Immunogène

    A synthetic peptide corresponding to a sequence at the C-terminus of human Cytochrome C, identical to the related mouse and rat sequences.

    Isotype

    IgG
  • Indications d'application

    Western blot, 0.1-0.5 μg/mL, Human, Mouse, Rat
    Immunohistochemistry (Paraffin-embedded Section), 0.5-1 μg/mL, Human, Rat, Mouse
    Immunohistochemistry (Frozen Section), 0.5-1 μg/mL, Human, Rat, Mouse
    Immunocytochemistry , 0.5-1 μg/mL, Human, -
    Immunocytochemistry/Immunofluorescence, 5 μg/mL, Human
    Flow Cytometry (Fixed), 1-μg/1x106 cells, Human

    Commentaires

    Antibody can be supported by chemiluminescence kit ABIN921124 in WB, supported by ABIN921231 in IHC(P), IHC(F) and ICC.

    Restrictions

    For Research Use only
  • Format

    Lyophilized

    Reconstitution

    Add 0.2 mL of distilled water will yield a concentration of 500 μg/mL.

    Concentration

    500 μg/mL

    Buffer

    Each vial contains 5 mg BSA, 0.9 mg NaCl, 0.2 mg Na2HPO4, 0.05 mg Thimerosal, 0.05 mg Sodium azide.

    Agent conservateur

    Thimerosal (Merthiolate), Sodium azide

    Précaution d'utilisation

    This product contains Thimerosal (Merthiolate) and Sodium azide: POISONOUS AND HAZARDOUS SUBSTANCES which should be handled by trained staff only.

    Conseil sur la manipulation

    Avoid repeated freezing and thawing.

    Stock

    4 °C,-20 °C

    Stockage commentaire

    Store at -20°C for one year from date of receipt. After reconstitution, at 4°C for one month.
    It can also be aliquotted and stored frozen at -20°C for six months. Avoid repeated freeze-thaw cycles.
  • Bai, Yang, Luo: "Effects of 5-hydroxy-4'-nitro-7-propionyloxy-genistein on inhibiting proliferation and invasion via activating reactive oxygen species in human ovarian cancer A2780/DDP cells." dans: Oncology letters, Vol. 15, Issue 4, pp. 5227-5235, (2018) (PubMed).

    Jiao, Ma, Wang, Li, Shan, Sun, Chen: "Methacryloxylethyl Cetyl Ammonium Chloride Induces DNA Damage and Apoptosis in Human Dental Pulp Cells via Generation of Oxidative Stress." dans: International journal of biological sciences, Vol. 12, Issue 5, pp. 580-93, (2017) (PubMed).

    Hu, Sun, Zhang, Zhang, Hu: "Catalpol inhibits apoptosis in hydrogen peroxide-induced cardiac myocytes through a mitochondrial-dependent caspase pathway." dans: Bioscience reports, Vol. 36, Issue 3, (2017) (PubMed).

    Gan, Liu, Cao, Zhang, Sun: "FABP4 reversed the regulation of leptin on mitochondrial fatty acid oxidation in mice adipocytes." dans: Scientific reports, Vol. 5, pp. 13588, (2016) (PubMed).

    Han, Liu, Li, Tian, Han, Wang, Fu, Guo, Zhu, Du, Tian: "HOXB1 Is a Tumor Suppressor Gene Regulated by miR-3175 in Glioma." dans: PLoS ONE, Vol. 10, Issue 11, pp. e0142387, (2016) (PubMed).

    Jiao, Ma, Wang, Li, Shan, Liu, Liu, Song, Yu, Yu, Liu, Huang, Chen: "N-Acetyl Cysteine Depletes Reactive Oxygen Species and Prevents Dental Monomer-Induced Intrinsic Mitochondrial Apoptosis In Vitro in Human Dental Pulp Cells." dans: PLoS ONE, Vol. 11, Issue 1, pp. e0147858, (2016) (PubMed).

    Ji, Geng, Zhou, Wei, Chen: "Chinese herbal medicine Yougui Pill reduces exogenous glucocorticoid-induced apoptosis in anterior pituitary cells." dans: Neural regeneration research, Vol. 11, Issue 12, pp. 1962-1968, (2016) (PubMed).

    Xu, Liu, Zhang, Wang, Wang, Yang, Huo, Sun: "Apoptosis-related protein expression in rabbits with blast brain injury following early hyperbaric oxygen therapy." dans: Neural regeneration research, Vol. 7, Issue 17, pp. 1318-24, (2015) (PubMed).

    Ding, Wang, Zhao, Sun, Zhai: "Protective Effects of Baicalin on A?????-Induced Learning and Memory Deficit, Oxidative Stress, and Apoptosis in Rat." dans: Cellular and molecular neurobiology, Vol. 35, Issue 5, pp. 623-32, (2015) (PubMed).

    Li, Wang, Wang: "Radioprotective activity of neutral polysaccharides isolated from the fruiting bodies of Hohenbuehelia serotina." dans: Physica medica : PM : an international journal devoted to the applications of physics to medicine and biology : official journal of the Italian Association of Biomedical Physics (AIFB), Vol. 31, Issue 4, pp. 352-9, (2015) (PubMed).

    Huang, Lin, Su, Ye: "Forsythiaside protects against hydrogen peroxide-induced oxidative stress and apoptosis in PC12 cell." dans: Neurochemical research, Vol. 40, Issue 1, pp. 27-35, (2015) (PubMed).

    Zhang, Liu, Wang, Jin, Du, Peng, Xue: "Benzo(a)pyrene-7,8-diol-9,10-epoxide induced p53-independent necrosis via the mitochondria-associated pathway involving Bax and Bak activation." dans: Human & experimental toxicology, Vol. 34, Issue 2, pp. 179-90, (2015) (PubMed).

    Jiang, Li, Zhou, Wang, Zhang, Wang: "Colistin-induced apoptosis in PC12 cells: involvement of the mitochondrial apoptotic and death receptor pathways." dans: International journal of molecular medicine, Vol. 33, Issue 5, pp. 1298-304, (2014) (PubMed).

    Wei, Tian, Yan, Shao, Xie: "Protective effects of phillyrin on H2O 2-induced oxidative stress and apoptosis in PC12 cells." dans: Cellular and molecular neurobiology, Vol. 34, Issue 8, pp. 1165-73, (2014) (PubMed).

    Ban, Fan, Huang, Li, Chen, Zhang, Xu: "Mono-(2-ethylhexyl) phthalate induces injury in human umbilical vein endothelial cells." dans: PLoS ONE, Vol. 9, Issue 5, pp. e97607, (2014) (PubMed).

    Lin, Tongyi: "Role of Bax/Bcl-2 family members in green tea polyphenol induced necroptosis of p53-deficient Hep3B cells." dans: Tumour biology, Vol. 35, Issue 8, pp. 8065-75, (2014) (PubMed).

    Mo, Chen, Huang, Zhang, Li, Zhou: "Neuroprotective effect of tea polyphenols on oxyhemoglobin induced subarachnoid hemorrhage in mice." dans: Oxidative medicine and cellular longevity, Vol. 2013, pp. 743938, (2014) (PubMed).

    Song, Yue, Li, Li, Zhao, Zhang: "Study of the mechanism of sonodynamic therapy in a rat glioma model." dans: OncoTargets and therapy, Vol. 7, pp. 1801-10, (2014) (PubMed).

    Li, Li, Huang, Kan, Wang, Wu, Yin, Yao: "Dexamethasone and A???-?? accelerate learning and memory impairments due to elevate amyloid precursor protein expression and neuronal apoptosis in 12-month male rats." dans: Behavioural brain research, Vol. 227, Issue 1, pp. 142-9, (2011) (PubMed).

  • Antigène

    Cytochrome C (CYCS) (Cytochrome C, Somatic (CYCS))

    Autre désignation

    CYCS

    Sujet

    Synonyms: Cytochrome c,CYCS,CYC,

    Tissue Specificity: Widely expressed, with highest levels in heart, brain, and skeletal muscle. .

    Background: Cytochrome C is located in the mitochondria of all aerobic cells and is involved in the electron transport system. Human cytochrome c has 104 amino acid residues and a molecular weight of 11,458 and is mapped to 7p15.2. Cytochrome c released from mitochondria has been proposed to be an essential component of an apoptotic pathway responsive to DNA damage and other forms of cell stress. And it has a role in different apoptotic signaling cascades.

    Sequence Similarities: Belongs to the cytochrome c family.

    Poids moléculaire

    14 kDa

    UniProt

    P99999

    Pathways

    Apoptose, Caspase Cascade in Apoptosis, Positive Regulation of Endopeptidase Activity
Vous êtes ici:
Chat with us!