Tel:
+49 (0)241 95 163 153
Fax:
+49 (0)241 95 163 155
E-Mail:
orders@anticorps-enligne.fr

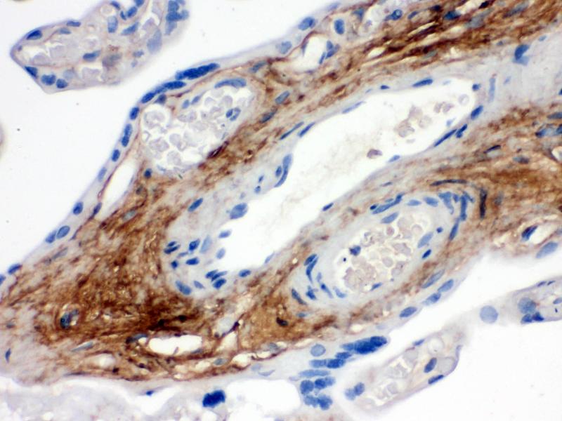
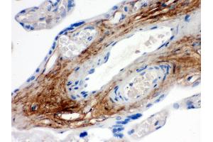
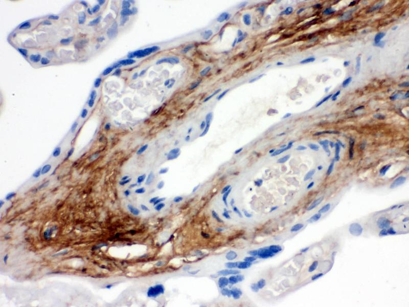
TNXB anticorps (C-Term)

L’anticorps anti-TNXB Polyclonal Lapin est utilisé pour la détection de TNXB dans des échantillons de Humain. Il a été validé pour IHC, WB, ICC, IF et FACS.
N° du produit ABIN3043715
500,50 €
Plus frais de livraison 40,00 € et TVA
100 μg
Destination: France
Envoi sous 8 à 12 jours ouvrables

Aperçu rapide pour TNXB anticorps (C-Term) (ABIN3043715)

Antigène

Voir toutes TNXB Anticorps
TNXB (Tenascin XB (TNXB))

Reactivité

  • 27
  • 5
  • 3
Humain

Hôte

  • 26
  • 4
  • 1
Lapin

Clonalité

  • 28
  • 3
Polyclonal

Conjugué

  • 24
  • 1
  • 1
  • 1
  • 1
  • 1
  • 1
  • 1
Cet anticorp TNXB est non-conjugé

Application

  • 18
  • 12
  • 9
  • 5
  • 4
  • 1
  • 1
  • 1
Immunohistochemistry (IHC), Western Blotting (WB), Immunocytochemistry (ICC), Immunofluorescence (IF), Flow Cytometry (FACS)
  • Épitope

    • 6
    • 3
    • 1
    • 1
    • 1
    • 1
    • 1
    • 1
    • 1
    AA 3309-3337, C-Term

    Fonction

    Anti-TNXB Antibody

    Séquence

    DLRAVAVSGL DPARKYKFLL FGLQNGKRH

    Réactivité croisée (Details)

    No cross-reactivity with other proteins

    Attributs du produit

    Anti-TNXB Antibody (ABIN3043715). Tested in Flow Cytometry, IF, IHC, ICC, WB applications. This antibody reacts with Human. This is a premium antibody that guarantees superior quality, high affinity, and strong signals with minimal background in Western blot applications.

    Purification

    Immunogen affinity purified.

    Immunogène

    A synthetic peptide corresponding to a sequence at the C-terminus of human TNXB.

    Isotype

    IgG
  • Indications d'application

    Western blot, 0.1-0.5 μg/mL, Human
    Immunohistochemistry (Paraffin-embedded Section), 0.5-1 μg/mL, Human
    Immunocytochemistry/Immunofluorescence, 2 μg/mL, Human
    Flow Cytometry (Fixed), 1-3 μg/1x106 cells, Human

    Commentaires

    Antibody can be supported by chemiluminescence kit ABIN921124 in WB, supported by ABIN921231 in IHC(P).

    Restrictions

    For Research Use only
  • Format

    Lyophilized

    Reconstitution

    Add 0.2 mL of distilled water will yield a concentration of 500 μg/mL.

    Concentration

    500 μg/mL

    Buffer

    Each vial contains 5 mg BSA, 0.9 mg NaCl, 0.2 mg Na2HPO4, 0.05 mg Sodium azide.

    Agent conservateur

    Sodium azide

    Précaution d'utilisation

    This product contains Sodium azide: a POISONOUS AND HAZARDOUS SUBSTANCE which should be handled by trained staff only.

    Conseil sur la manipulation

    Avoid repeated freezing and thawing.

    Stock

    4 °C,-20 °C

    Stockage commentaire

    Store at -20°C for one year from date of receipt. After reconstitution, at 4°C for one month.
    It can also be aliquotted and stored frozen at -20°C for six months. Avoid repeated freeze-thaw cycles.
  • Antigène

    TNXB (Tenascin XB (TNXB))

    Autre désignation

    TNXB

    Sujet

    Synonyms: Tenascin-X,TN-X,Hexabrachion-like protein,TNXB,HXBL, TNX, TNXB1, TNXB2, XB,

    Tissue Specificity: Highly expressed in fetal adrenal, in fetal testis, fetal smooth, striated and cardiac muscle. Isoform XB- short is only expressed in the adrenal gland.

    Background: tenascin X (TN-X), also known as hexabrachion-like protein, is a glycoprotein that is expressed in connective tissues including skin, joints and muscles. In humans, tenascin X is encoded by the TNXB gene. This gene encodes a member of the tenascin family of extracellular matrix glycoproteins. The tenascins have anti-adhesive effects, as opposed to fibronectin which is adhesive. This protein is thought to function in matrix maturation during wound healing, and its deficiency has been associated with the connective tissue disorder Ehlers-Danlos syndrome. This gene localizes to the major histocompatibility complex (MHC) class III region on chromosome 6. It is one of four genes in this cluster which have been duplicated. The duplicated copy of this gene is incomplete and is a pseudogene which is transcribed but does not encode a protein. The structure of this gene is unusual in that it overlaps the CREBL1 and CYP21A2 genes at its 5' and 3' ends, respectively. Multiple transcript variants encoding different isoforms have been found for this gene.

    Poids moléculaire

    458 kDa

    ID gène

    7148

    UniProt

    P22105
Vous êtes ici:
Chat with us!