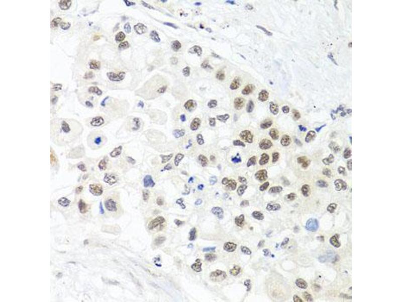
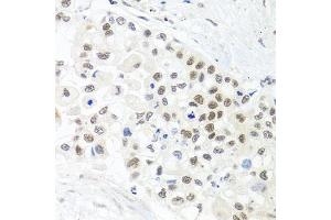
TRMT1 anticorps
Aperçu rapide pour TRMT1 anticorps (ABIN3047685)
Antigène
Voir toutes TRMT1 AnticorpsReactivité
Hôte
Clonalité
Conjugué
Application
-
-
Purification
- Affinity purified
-
Isotype
- IgG
-
-
-
-
Indications d'application
- Optimal working dilution should be determined by the investigator.
-
Restrictions
- For Research Use only
-
-
-
Format
- Liquid
-
Concentration
- > 1 mg/mL
-
Buffer
- PBS, pH 7.3, 0.02 % sodium azide, 50 % glycerol.
-
Agent conservateur
- Sodium azide
-
Précaution d'utilisation
- This product contains Sodium azide: a POISONOUS AND HAZARDOUS SUBSTANCE which should be handled by trained staff only.
-
Stock
- -20 °C
-
Stockage commentaire
- Aliquot and store at -20 °C. Avoid repeated freeze/thaw cycles.
-
-
- TRMT1 (tRNA Methyltransferase 1 (TRMT1))
-
Autre désignation
- TRMT1
-
Poids moléculaire
-
Calculated MW: 69 kDa/72 kDa
Observed MW: 90 kDa -
ID gène
- 55621
-
UniProt
- Q9NXH9
-
Pathways
- SARS-CoV-2 Protein Interactome
Antigène
-