Tel:
+49 (0)241 95 163 153
Fax:
+49 (0)241 95 163 155
E-Mail:
orders@anticorps-enligne.fr

MMP1 anticorps (C-Term)

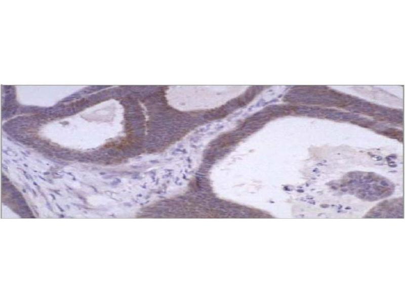
Cet anticorps anti-MMP1 Monoclonal Souris (Clone 3B6) (ABIN307116) détecte spécifiquement MMP1 dans WB et IHC. L’anticorps est réactif avec des échantillons de Humain.
N° du produit ABIN307116
461,03 €
Plus frais de livraison 40,00 € et TVA
200 μg
Destination: France
Envoi sous 8 à 12 jours ouvrables

Aperçu rapide pour MMP1 anticorps (C-Term) (ABIN307116)

Antigène

Voir toutes MMP1 Anticorps
MMP1 (Matrix Metallopeptidase 1 (Interstitial Collagenase) (MMP1))

Reactivité

  • 106
  • 23
  • 22
  • 20
  • 5
  • 4
  • 4
  • 2
  • 1
  • 1
  • 1
Humain

Hôte

  • 94
  • 19
  • 3
Souris

Clonalité

  • 80
  • 36
Monoclonal

Conjugué

  • 66
  • 7
  • 4
  • 3
  • 3
  • 3
  • 3
  • 3
  • 3
  • 3
  • 2
  • 2
  • 2
  • 1
  • 1
  • 1
  • 1
  • 1
  • 1
  • 1
  • 1
  • 1
  • 1
  • 1
  • 1
Cet anticorp MMP1 est non-conjugé

Application

  • 100
  • 45
  • 36
  • 28
  • 27
  • 21
  • 19
  • 14
  • 13
  • 13
  • 6
  • 3
  • 2
  • 2
  • 2
  • 2
  • 1
  • 1
Western Blotting (WB), Immunohistochemistry (IHC)

Clone

3B6
  • Épitope

    • 15
    • 7
    • 5
    • 5
    • 5
    • 4
    • 2
    • 2
    • 2
    • 2
    • 2
    • 2
    • 1
    • 1
    • 1
    • 1
    • 1
    • 1
    • 1
    • 1
    • 1
    • 1
    • 1
    • 1
    • 1
    • 1
    • 1
    • 1
    • 1
    • 1
    C-Term

     Réactivité croisée

    Humain

    Attributs du produit

    MMP1, MMP-1, CLG, CLGN, Matrix metallopeptidase 1, Interstitial collagenase,The matrix metalloproteinases (MMP) are a family of peptidase enzymes responsible for the degradation of extracellular matrix components, including collagen, gelatin, fibronectin, laminin and proteoglycan. Transcription of MMP genes is differentially activated by phorbol ester, lipopolysaccharide (LPS) or staphylococcal enterotoxin B (SEB). MMP catalysis requires both calcium and zinc. MMP-9 (also designated 92 kDa type IV collagenase or gelatinase B) has been shown to degrade bone collagens in concert with MMP-1 (also designated interstitial collagenase, fibroblast collagenase or collagenase-1), and cysteine proteases and may play a role in bone osteoclastic resorption. MMP-1 is downregulated by p53, and abnormality of p53 expression may contribute to joint degradation in rheumatoid arthritis by regulating MMP-1 expression.

    Purification

    Protein A/G Chromatography

    Immunogène

    Hybridoma produced by the fusion of splenocytes from BALB/c mice immunized with a synthetic peptide derived from the C-terminus of the human MMP1 protein and mouse myeloma Ag8563 cells.

    Isotype

    IgG1
  • Indications d'application

    Antibody can be used for Western blotting (1-2 μg/mL) and immunohistochemistry on formalin-fixed paraffin-embedded tissues (1-5 μg/mL). Optimal concentration should be evaluated by serial dilutions.

    Restrictions

    For Research Use only
  • Buffer

    Provided as solution in phosphate buffered saline with 0.08 % sodium azide

    Agent conservateur

    Sodium azide

    Précaution d'utilisation

    This product contains Sodium azide: a POISONOUS AND HAZARDOUS SUBSTANCE which should be handled by trained staff only.

    Stock

    -20 °C

    Stockage commentaire

    Product should be stored at -20°C. Aliquot to avoid freeze/thaw cycles
  • Antigène

    MMP1 (Matrix Metallopeptidase 1 (Interstitial Collagenase) (MMP1))

    Autre désignation

    Matrix Metalloproteinase 1 (MMP1)
Vous êtes ici:
Chat with us!