RSAD2 anticorps (Internal Region)
Aperçu rapide pour RSAD2 anticorps (Internal Region) (ABIN3178550)
Antigène
Voir toutes RSAD2 AnticorpsReactivité
Hôte
Clonalité
Conjugué
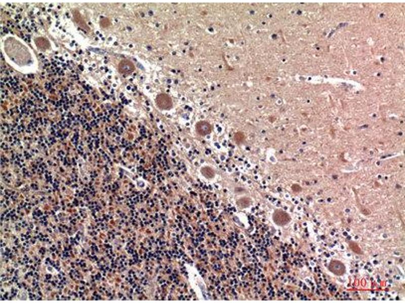
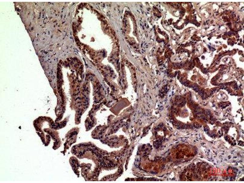
Application
-
-
Épitope
- Internal Region
-
Specificité
- RSAD2 Polyclonal Antibody detects endogenous levels of RSAD2 protein.
-
Attributs du produit
- Rabbit Polyclonal to RSAD2.
-
Purification
- The antibody was affinity-purified from rabbit antiserum by affinity-chromatography using epitope-specific immunogen.
-
Immunogène
- Synthesized peptide derived from the Internal region of RSAD2 Polyclonal Antibody
-
Isotype
- IgG
-
-
-
-
Indications d'application
- WB 1:500-1:2000, IHC-P 1:100-1:300, ELISA 1:20000,
-
Restrictions
- For Research Use only
-
-
-
Format
- Liquid
-
Concentration
- 1 mg/mL
-
Buffer
- Liquid in PBS containing 50 % glycerol, 0.5 % BSA and 0.02 % sodium azide.
-
Agent conservateur
- Sodium azide
-
Précaution d'utilisation
- This product contains Sodium azide: a POISONOUS AND HAZARDOUS SUBSTANCE which should be handled by trained staff only.
-
Conseil sur la manipulation
- Avoid repeated freeze/thaw cycles.
-
Stock
- -20 °C
-
Stockage commentaire
- Store at -20°C.
-
-
- RSAD2 (Radical S-Adenosyl Methionine Domain Containing 2 (RSAD2))
-
Autre désignation
- RSAD2
-
ID gène
- 91543
-
UniProt
- Q8WXG1
-
Pathways
- Regulation of Leukocyte Mediated Immunity, Positive Regulation of Immune Effector Process, Production of Molecular Mediator of Immune Response
Antigène
-