×
Pour une meilleure utilisation, nous vous conseillons d’activer Javascript dans votre navigateur.
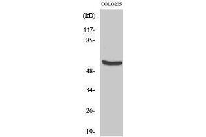
HSPD1 anticorps (C-Term)
Cet anticorps anti-HSPD1 Polyclonal Lapin (ABIN3185110) détecte spécifiquement HSPD1 dans WB, IHC, IF et ELISA.
L’anticorps est réactif avec des échantillons de Humain, Souris et Rat.
N° du produit ABIN3185110
377,51 €
Plus frais de livraison 40,00 € et TVA
50 μL ABIN6286430
100 μL ABIN3185110
200 μL ABIN3180117
50 μL ABIN6286430
100 μL ABIN3185110
200 μL ABIN3180117
Envoi sous 8 à 10 jours ouvrables
Aperçu rapide pour HSPD1 anticorps (C-Term) (ABIN3185110)
Antigène
Voir toutes HSPD1 Anticorps
HSPD1
(Heat Shock 60kDa Protein 1 (Chaperonin) (HSPD1))
Reactivité
Toutes les réactivités sur HSPD1 Anticorps
Humain, Souris, Rat
Hôte
Toutes les hôtes sur HSPD1 Anticorps
Lapin
Clonalité
Toutes les clonalités sur HSPD1 Anticorps
Polyclonal
Conjugué
Tous les conjugués à travers HSPD1 Anticorps
Cet anticorp HSPD1 est non-conjugé
Application
Tous les applications à travers HSPD1 Anticorps.
Western Blotting (WB), Immunohistochemistry (IHC), Immunofluorescence (IF), ELISA
Détail du produit anti-HSPD1 anticorps
(cache)
Épitope
Tous les épitopes à travers HSPD1 Anticorps.
C-Term
Specificité
HSP60 Polyclonal Antibody detects endogenous levels of HSP60 protein.
Attributs du produit
Rabbit Polyclonal to HSP60.
Purification
The antibody was affinity-purified from rabbit antiserum by affinity-chromatography using epitope-specific immunogen.
Immunogène
Synthesized peptide derived from the C-terminal region of human HSP60.
Isotype
IgG
Alternatives
(show)
Information d'application
(cache)
Indications d'application
WB 1:500-1:2000, IHC 1:100-1:300, IF 1:200-1:1000, ELISA 1:10000,
Restrictions
For Research Use only
Stockage
(cache)
Format
Liquid
Concentration
1 mg/mL
Buffer
Liquid in PBS containing 50 % glycerol, 0.5 % BSA and 0.02 % sodium azide.
Agent conservateur
Sodium azide
Précaution d'utilisation
This product contains Sodium azide: a POISONOUS AND HAZARDOUS SUBSTANCE which should be handled by trained staff only.
Conseil sur la manipulation
Avoid repeated freeze/thaw cycles.
Stock
-20 °C
Stockage commentaire
Store at -20°C.
Détails sur HSPD1
(cache)
Antigène
HSPD1
(Heat Shock 60kDa Protein 1 (Chaperonin) (HSPD1))
Autre désignation
HSP60
Poids moléculaire
68 kDa
ID gène
3329
UniProt
P10809
Pathways
Activation of Innate immune Response , Regulation of Leukocyte Mediated Immunity , Positive Regulation of Immune Effector Process , Production of Molecular Mediator of Immune Response , Positive Regulation of Endopeptidase Activity
Vus récemment
(cache)
Chat with us , powered by LiveChat