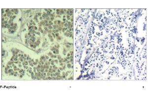
Cet anticorps anti-EIF2S1 Polyclonal Lapin (ABIN319275) détecte spécifiquement EIF2S1 dans WB, IF et IHC (p).
L’anticorps est réactif avec des échantillons de Humain, Souris et Rat.
Immunofluorescence: 1/100-1/200. Immunohistochemistry on Paraffin-Embedded Sections: 1/50-1/100. Other applications not tested. Optimal dilutions are dependent on conditions and should be determined by the user.
Restrictions
For Research Use only
Concentration
1.0 mg/mL
Buffer
PBS (without Mg2+ and Ca2+), pH 7.4, 150 mM NaCl, 0.02 % Sodium Azide and 50 % Glycerol.
Agent conservateur
Sodium azide
Précaution d'utilisation
This product contains sodium azide: a POISONOUS AND HAZARDOUS SUBSTANCE which should be handled by trained staff only.
The translation initiation factor eIF2 catalyzes the first regulated step of protein synthesis initiation, promoting the binding of the initiator tRNA to 40S ribosomal subunits. Binding occurs as a ternary complex of methionyl-tRNA, eIF2, and GTP. eIF2 is composed of 3 nonidentical subunits, alpha (36 kD), beta (38 kD), and gamma (52 kD). The rate of formation of the ternary complex is modulated by the phosphorylation state of eIF2-alpha.Synonyms: EIF2-A, Eukaryotic translation initiation factor 2 subunit 1, Eukaryotic translation initiation factor 2 subunit alpha, eIF-2-alpha, eIF-2A, eIF-2alpha, eIF2 alpha