HSPD1 anticorps
Aperçu rapide pour HSPD1 anticorps (ABIN334251)
Antigène
Voir toutes HSPD1 AnticorpsReactivité
Hôte
Clonalité
Conjugué
Application
-
-
Specificité
- Cross-reactivity with HSP60 from mouse, rat, canine, feline, goat, rabbit, duck, porcine, human and bovine.
-
Purification
- Protein A purified
-
Immunogène
-
Recombinant human HSP60.
Type of Immunogen: Recombinant protein -
Isotype
- IgG2b
-
-
-
-
Indications d'application
-
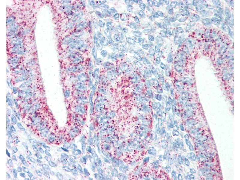
Approved: ELISA, IF, IHC, IHC-P (5 μg/mL), WB
Usage: Immunohistochemistry: This antibody was validated for use in immunohistochemistry on a panel of 21 formalin-fixed, paraffin-embedded (FFPE) human tissues after heat induced antigen retrieval in pH 6.0 citrate buffer. After incubation with the primary antibody, slides were incubated with biotinylated secondary antibody, followed by alkaline phosphatase-streptavidin and chromogen. The stained slides were evaluated by a pathologist to confirm staining specificity. The optimal working concentration for this antibody was determined to be 5 μg/mL. -
Commentaires
-
Target Species of Antibody: Human
-
Restrictions
- For Research Use only
-
-
-
Format
- Liquid
-
Concentration
- Lot specific
-
Buffer
- PBS, pH 7.4, 0.1 % sodium azide, before the addition of glycerol to 40 %
-
Agent conservateur
- Sodium azide
-
Précaution d'utilisation
- This product contains Sodium azide: a POISONOUS AND HAZARDOUS SUBSTANCE which should be handled by trained staff only.
-
Conseil sur la manipulation
- Avoid repeated freezing and thawing.
-
Stock
- 4 °C,-20 °C
-
Stockage commentaire
- 4°C or -20°C, Avoid freeze-thaw cycles.
-
-
- HSPD1 (Heat Shock 60kDa Protein 1 (Chaperonin) (HSPD1))
-
Autre désignation
- HSPD1 / HSP60
-
Sujet
-
Name/Gene ID: HSPD1
Synonyms: HSPD1, 60 kDa chaperonin, CPN60, Heat shock protein 65, Heat shock protein 60, HSP-60, HSP60, HuCHA60, HLD4, HSP65, p60 lymphocyte protein, SPG13, Chaperonin 60, GROEL -
ID gène
- 3329
-
UniProt
- P10809
-
Pathways
- Activation of Innate immune Response, Regulation of Leukocyte Mediated Immunity, Positive Regulation of Immune Effector Process, Production of Molecular Mediator of Immune Response, Positive Regulation of Endopeptidase Activity
Antigène
-