Tel:
+49 (0)241 95 163 153
Fax:
+49 (0)241 95 163 155
E-Mail:
orders@anticorps-enligne.fr

ENOX2 anticorps (Internal Region)

Cet anticorps Chèvre Polyclonal détecte spécifiquement ENOX2 dans IHC et ELISA. Il présente une réactivité avec des échantillons de Humain.
N° du produit ABIN334390
488,25 €
Plus frais de livraison 40,00 € et TVA
100 μg
Destination: France
Envoi sous 5 à 8 jours ouvrables

Aperçu rapide pour ENOX2 anticorps (Internal Region) (ABIN334390)

Antigène

Voir toutes ENOX2 Anticorps
ENOX2 (Ecto-NOX Disulfide-Thiol Exchanger 2 (ENOX2))

Reactivité

  • 20
  • 8
  • 4
  • 1
  • 1
  • 1
  • 1
  • 1
  • 1
Humain

Hôte

  • 21
  • 1
Chèvre

Clonalité

  • 22
Polyclonal

Conjugué

  • 17
  • 1
  • 1
  • 1
  • 1
  • 1
Cet anticorp ENOX2 est non-conjugé

Application

  • 21
  • 16
  • 11
  • 9
  • 4
  • 3
  • 3
  • 3
  • 1
Immunohistochemistry (IHC), ELISA

Classe de qualité

Verified
  • Épitope

    • 10
    • 5
    • 2
    • 2
    • 1
    Internal Region

    Fonction

    ENOX2 / APK1

    Séquence

    EKLKDDKLQV EK

    Specificité

    This antibody is expected to recognise both reported isoforms (NP_006366.2, NP_872114.1).

     Réactivité croisée

    Chien, Humain

    Purification

    Purified from goat serum by ammonium sulphate precipitation followed by antigen affinity chromatography using the immunizing peptide.

    Immunogène

    C-EKLKDDKLQVEK

    Isotype

    IgG
  • Indications d'application

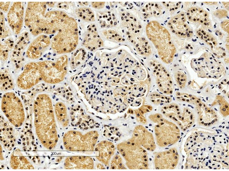
    Immunohistochemistry: In paraffin embedded Human Kidney shows cytoplasm staining preferentially in PC. Recommended concentration, 2-4 μg/mL.

    Peptide ELISA: antibody detection limit dilution 1:64000.

    Restrictions

    For Research Use only
  • Format

    Liquid

    Concentration

    0.5 mg/mL

    Buffer

    Supplied at 0.5 mg/mL in Tris saline, 0.02 % sodium azide, pH 7.3 with 0.5 % bovine serum albumin.

    Agent conservateur

    Sodium azide

    Précaution d'utilisation

    This product contains Sodium azide: a POISONOUS AND HAZARDOUS SUBSTANCE which should be handled by trained staff only.

    Conseil sur la manipulation

    Minimize freezing and thawing.

    Stock

    -20 °C

    Stockage commentaire

    Aliquot and store at -20°C, with minimal freeze/thawing. A working aliquot may be refrigerated at 4°C for a few weeks and still remain viable.
  • Antigène

    ENOX2 (Ecto-NOX Disulfide-Thiol Exchanger 2 (ENOX2))

    Autre désignation

    ENOX2

    Sujet

    Ecto-NOX disulfide-thiol exchanger 2, RP5-875H3.1, APK1, COVA1, tNOX, APK1 antigen, cytosolic ovarian carcinoma antigen 1

    ID gène

    10495

    NCBI Accession

    NP_006366, NP_872114
Vous êtes ici:
Chat with us!