Tel:
+49 (0)241 95 163 153
Fax:
+49 (0)241 95 163 155
E-Mail:
orders@anticorps-enligne.fr

ENOX2 anticorps (AA 411-610)

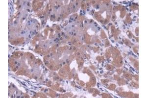
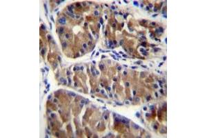
Cet anticorps anti-ENOX2 Polyclonal Lapin (ABIN6140176) détecte spécifiquement ENOX2 dans WB et IF. L’anticorps est réactif avec des échantillons de Humain.
N° du produit ABIN6140176
320,00 €
Plus frais de livraison 40,00 € et TVA
Destination: France
Envoi sous 8 à 10 jours ouvrables

Aperçu rapide pour ENOX2 anticorps (AA 411-610) (ABIN6140176)

Antigène

Voir toutes ENOX2 Anticorps
ENOX2 (Ecto-NOX Disulfide-Thiol Exchanger 2 (ENOX2))

Reactivité

  • 20
  • 8
  • 4
  • 1
  • 1
  • 1
  • 1
  • 1
  • 1
Humain

Hôte

  • 20
  • 1
  • 1
Lapin

Clonalité

  • 22
Polyclonal

Conjugué

  • 17
  • 1
  • 1
  • 1
  • 1
  • 1
Cet anticorp ENOX2 est non-conjugé

Application

  • 20
  • 17
  • 12
  • 9
  • 4
  • 3
  • 3
  • 2
  • 1
Western Blotting (WB), Immunofluorescence (IF)
  • Épitope

    • 10
    • 5
    • 2
    • 1
    • 1
    • 1
    AA 411-610

    Séquence

    AEALKEENDS LRWQLDAYRN EVELLKQEQG KVHREDDPNK EQQLKLLQQA LQGMQQHLLK VQEEYKKKEA ELEKLKDDKL QVEKMLENLK EKESCASRLC ASNQDSEYPL EKTMNSSPIK SEREALLVGI ISTFLHVHPF GASIEYICSY LHRLDNKICT SDVECLMGRL QHTFKQEMTG VGASLEKRWK FCGFEGLKLT

     Réactivité croisée

    Humain, Souris, Rat

    Attributs du produit

    Polyclonal Antibodies

    Purification

    Affinity purification

    Immunogène

    Recombinant fusion protein containing a sequence corresponding to amino acids 411-610 of human ENOX2 (NP_872114.1).

    Isotype

    IgG
  • Indications d'application

    WB,1:500 - 1:2000,IF,1:50 - 1:200

    Commentaires

    HIGH QUALITY

    Restrictions

    For Research Use only
  • Format

    Liquid

    Buffer

    PBS with 0.02 % sodium azide,50 % glycerol, pH 7.3.

    Agent conservateur

    Sodium azide

    Précaution d'utilisation

    This product contains Sodium azide: a POISONOUS AND HAZARDOUS SUBSTANCE which should be handled by trained staff only.

    Stock

    -20 °C

    Stockage commentaire

    Store at -20°C. Avoid freeze / thaw cycles.
  • Antigène

    ENOX2 (Ecto-NOX Disulfide-Thiol Exchanger 2 (ENOX2))

    Autre désignation

    ENOX2

    Sujet

    This gene is a tumor-specific member of the ECTO-NOX family of genes that encode cell surface NADH oxidases. The encoded protein has two enzymatic activities: catalysis of hydroquinone or NADH oxidation, and protein disulfide interchange. The protein also displays prion-like properties. Alternative splicing results in multiple transcript variants.,ENOX2,APK1,COVA1,tNOX,ENOX2

    Poids moléculaire

    66 kDa/70 kDa

    ID gène

    10495

    UniProt

    Q16206
Vous êtes ici:
Chat with us!