Tel:
+49 (0)241 95 163 153
Fax:
+49 (0)241 95 163 155
E-Mail:
orders@anticorps-enligne.fr

MAPT anticorps (C-Term)

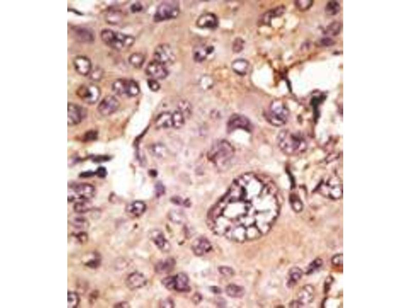
Cet anticorps anti-MAPT Polyclonal Lapin (ABIN357423) détecte spécifiquement MAPT dans WB, IHC (p) et EIA. L’anticorps est réactif avec des échantillons de Humain et Souris.
N° du produit ABIN357423
870,77 €
Plus frais de livraison 40,00 € et TVA
0.4 mL
Destination: France
Envoi sous 17 jours ouvrables

Aperçu rapide pour MAPT anticorps (C-Term) (ABIN357423)

Antigène

Voir toutes MAPT Anticorps
MAPT (Microtubule-Associated Protein tau (MAPT))

Reactivité

  • 269
  • 123
  • 118
  • 20
  • 8
  • 8
  • 7
  • 6
  • 4
  • 3
  • 2
  • 2
  • 2
  • 2
  • 1
  • 1
Humain, Souris

Hôte

  • 226
  • 25
  • 19
  • 7
  • 2
  • 1
Lapin

Clonalité

  • 196
  • 84
Polyclonal

Conjugué

  • 225
  • 17
  • 8
  • 5
  • 4
  • 4
  • 2
  • 2
  • 2
  • 2
  • 2
  • 2
  • 2
  • 1
  • 1
  • 1
Cet anticorp MAPT est non-conjugé

Application

  • 212
  • 140
  • 88
  • 37
  • 30
  • 21
  • 17
  • 9
  • 3
  • 2
  • 2
  • 2
  • 1
  • 1
  • 1
  • 1
Western Blotting (WB), Immunohistochemistry (Paraffin-embedded Sections) (IHC (p)), Enzyme Immunoassay (EIA)
  • Épitope

    • 10
    • 9
    • 9
    • 8
    • 8
    • 7
    • 7
    • 7
    • 7
    • 6
    • 6
    • 6
    • 6
    • 6
    • 6
    • 5
    • 5
    • 4
    • 4
    • 4
    • 3
    • 3
    • 3
    • 3
    • 3
    • 3
    • 3
    • 3
    • 3
    • 3
    • 2
    • 2
    • 2
    • 2
    • 2
    • 2
    • 2
    • 2
    • 2
    • 2
    • 2
    • 2
    • 2
    • 2
    • 1
    • 1
    • 1
    • 1
    • 1
    • 1
    C-Term

    Specificité

    This antibody detects TAU at C-term.

    Purification

    Protein G column, eluted with high and low pH buffers and neutralized immediately, followed by dialysis against PBS

    Immunogène

    This antibody is generated from rabbits immunized with a KLH conjugated synthetic peptide selected from the C-terminal region of human TAU.

    Isotype

    Ig Fraction
  • Indications d'application

    ELISA 1: 1,000. Western blot 1: 50 - 1: 100. Immunohistochemistry on paraffin sections 1: 50 - 1: 100.
    Other applications not tested.
    Optimal dilutions are dependent on conditions and should be determined by the user.

    Restrictions

    For Research Use only
  • Format

    Liquid

    Concentration

    0.25 mg/mL

    Buffer

    PBS with 0.09 % (W/V) sodium azide

    Agent conservateur

    Sodium azide

    Précaution d'utilisation

    This product contains sodium azide: a POISONOUS AND HAZARDOUS SUBSTANCE which should be handled by trained staff only.

    Conseil sur la manipulation

    Avoid repeated freezing and thawing.

    Stock

    4 °C/-20 °C

    Stockage commentaire

    Store the antibody at 2 - 8 °C up to one month or (in aliquots) at -20 °C for longer.
  • Antigène

    MAPT (Microtubule-Associated Protein tau (MAPT))

    Autre désignation

    MAPT / tau

    Sujet

    The microtubule-associated protein tau (MAPT) gene transcript undergoes complex, regulated alternative splicing, giving rise to several mRNA species. MAPT transcripts are differentially expressed in the nervous system, depending on stage of neuronal maturation and neuron type. MAPT gene mutations result in several neurodegenerative disorders such as Alzheimer's disease, Pick's disease, frontotemporal dementia, cortico-basal degeneration and progressive supranuclear palsy.Synonyms: MAPTL, MTBT1, Microtubule-associated protein tau, Neurofibrillary tangle protein, PHF-tau, Paired helical filament-tau

    Poids moléculaire

    78746 Da

    ID gène

    4137, 9606

    UniProt

    P10636

    Pathways

    Signalisation MAPK, Dynamique des Microtubules, M Phase, Regulation of Cell Size
Vous êtes ici:
Chat with us!