Tel:
+49 (0)241 95 163 153
Fax:
+49 (0)241 95 163 155
E-Mail:
orders@anticorps-enligne.fr

UBA1 anticorps (C-Term)

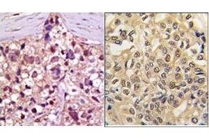
Cet anticorps anti-UBA1 Polyclonal Lapin (ABIN357486) détecte spécifiquement UBA1 dans WB, IHC (p) et EIA. L’anticorps est réactif avec des échantillons de Humain.
N° du produit ABIN357486
870,77 €
Plus frais de livraison 40,00 € et TVA
0.4 mL
Destination: France
Envoi sous 17 jours ouvrables

Aperçu rapide pour UBA1 anticorps (C-Term) (ABIN357486)

Antigène

Voir toutes UBA1 Anticorps
UBA1 (Ubiquitin-Like Modifier Activating Enzyme 1 (UBA1))

Reactivité

  • 93
  • 52
  • 47
  • 3
  • 3
  • 3
  • 2
  • 2
  • 1
  • 1
  • 1
  • 1
  • 1
  • 1
Humain

Hôte

  • 92
  • 1
Lapin

Clonalité

  • 62
  • 31
Polyclonal

Conjugué

  • 34
  • 7
  • 5
  • 4
  • 4
  • 4
  • 4
  • 4
  • 4
  • 4
  • 2
  • 2
  • 2
  • 2
  • 1
  • 1
  • 1
  • 1
  • 1
  • 1
  • 1
  • 1
  • 1
  • 1
  • 1
Cet anticorp UBA1 est non-conjugé

Application

  • 58
  • 44
  • 30
  • 29
  • 23
  • 22
  • 14
  • 13
  • 9
  • 6
  • 3
  • 1
Western Blotting (WB), Immunohistochemistry (Paraffin-embedded Sections) (IHC (p)), Enzyme Immunoassay (EIA)
  • Épitope

    • 15
    • 9
    • 8
    • 6
    • 5
    • 2
    • 1
    • 1
    • 1
    • 1
    • 1
    • 1
    • 1
    • 1
    • 1
    C-Term

    Specificité

    This antibody is specific to UBE1/UBA1 (C-term). Predicted to cross react with Mouse and Rat (100 % Antigen Homology).

    Purification

    Protein G Chromatography, eluted with high and low pH buffers and neutralized immediately, followed by dialysis against PBS.

    Immunogène

    This antibody is generated from rabbits immunized with a KLH conjugated synthetic peptide selected from the C-terminal region of human UBE1.

    Isotype

    Ig Fraction
  • Indications d'application

    ELISA: 1/1,000. Western Blot: 1/100-1/500. Immunohistochemistry: 1/50-1/100.
    Other applications not tested.
    Optimal dilutions are dependent on conditions and should be determined by the user.

    Restrictions

    For Research Use only
  • Format

    Liquid

    Concentration

    0.25 mg/mL

    Buffer

    PBS with 0.09 % (W/V) Sodium Azide as preservative.

    Agent conservateur

    Sodium azide

    Précaution d'utilisation

    This product contains sodium azide: a POISONOUS AND HAZARDOUS SUBSTANCE which should be handled by trained staff only.

    Conseil sur la manipulation

    Avoid repeated freezing and thawing.

    Stock

    4 °C/-20 °C

    Stockage commentaire

    Store the antibody undiluted at 2-8 °C for one month or (in aliquots) at-20 °C for longer.
  • Antigène

    UBA1 (Ubiquitin-Like Modifier Activating Enzyme 1 (UBA1))

    Autre désignation

    UBE1 / UBA1

    Sujet

    UBE1 catalyzes the first step in ubiquitin conjugation to mark cellular proteins for degradation. This gene complements an X-linked mouse temperature-sensitive defect in DNA synthesis, and thus may function in DNA repair. It is part of a gene cluster on chromosome Xp11.23. Alternative splicing results in 2 transcript variants encoding the same protein, but with different 5' UTR.Synonyms: A1S9T, Protein A1S9, Ubiquitin-activating enzyme E1, Ubiquitin-like modifier-activating enzyme 1

    Poids moléculaire

    117848 Da

    ID gène

    7317, 5874

    UniProt

    P22314
Vous êtes ici:
Chat with us!