Tel:
+49 (0)241 95 163 153
Fax:
+49 (0)241 95 163 155
E-Mail:
orders@anticorps-enligne.fr

USP12 anticorps (N-Term)

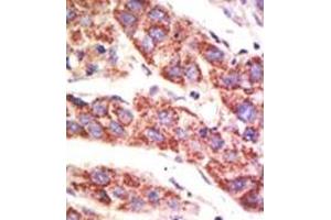
L’anticorps anti-USP12 Polyclonal Lapin est utilisé pour la détection de USP12 dans des échantillons de Humain et Souris. Il a été validé pour WB, IHC (p) et EIA.
N° du produit ABIN357542
870,77 €
Plus frais de livraison 40,00 € et TVA
0.4 mL
Destination: France
Envoi sous 17 jours ouvrables

Aperçu rapide pour USP12 anticorps (N-Term) (ABIN357542)

Antigène

Voir toutes USP12 Anticorps
USP12 (Ubiquitin Specific Peptidase 12 (USP12))

Reactivité

  • 43
  • 32
  • 5
  • 4
  • 4
  • 4
  • 4
  • 3
  • 3
  • 2
  • 1
  • 1
  • 1
  • 1
Humain, Souris

Hôte

  • 46
  • 4
Lapin

Clonalité

  • 49
  • 1
Polyclonal

Conjugué

  • 24
  • 5
  • 5
  • 4
  • 3
  • 3
  • 1
  • 1
  • 1
  • 1
  • 1
  • 1
Cet anticorp USP12 est non-conjugé

Application

  • 38
  • 29
  • 9
  • 2
  • 1
Western Blotting (WB), Immunohistochemistry (Paraffin-embedded Sections) (IHC (p)), Enzyme Immunoassay (EIA)
  • Épitope

    • 8
    • 8
    • 7
    • 6
    • 3
    • 3
    • 2
    • 2
    • 1
    • 1
    • 1
    • 1
    • 1
    • 1
    • 1
    N-Term

    Specificité

    This antibody is specific to USP12 (N-term).

    Purification

    Protein G Chromatography, eluted with high and low pH buffers and neutralized immediately, followed by dialysis against PBS.

    Immunogène

    This antibody is generated from rabbits immunized with a KLH conjugated synthetic peptide selected from the N-terminal region of human USP12.

    Isotype

    Ig Fraction
  • Indications d'application

    ELISA: 1/1,000. Western Blot: 1/100-1/500. Immunohistochemistry: 1/50-1/100.
    Other applications not tested.
    Optimal dilutions are dependent on conditions and should be determined by the user.

    Restrictions

    For Research Use only
  • Format

    Liquid

    Concentration

    0.25 mg/mL

    Buffer

    PBS with 0.09 % (W/V) Sodium Azide as preservative.

    Agent conservateur

    Sodium azide

    Précaution d'utilisation

    This product contains sodium azide: a POISONOUS AND HAZARDOUS SUBSTANCE which should be handled by trained staff only.

    Conseil sur la manipulation

    Avoid repeated freezing and thawing.

    Stock

    4 °C/-20 °C

    Stockage commentaire

    Store the antibody undiluted at 2-8 °C for one month or (in aliquots) at-20 °C for longer.
  • Antigène

    USP12 (Ubiquitin Specific Peptidase 12 (USP12))

    Autre désignation

    USP12

    Sujet

    Modification of target proteins by ubiquitin participates in a wide array of biological functions. Proteins destined for degradation or processing via the 26 S proteasome are coupled to multiple copies of ubiquitin. However, attachment of ubiquitin or ubiquitin-related molecules may also result in changes in subcellular distribution or modification of protein activity. An additional level of ubiquitin regulation, deubiquitination, is catalyzed by proteases called deubiquitinating enzymes, which fall into four distinct families. Ubiquitin C-terminal hydrolases, ubiquitin-specific processing proteases (USPs),1 OTU-domain ubiquitin-aldehyde-binding proteins, and Jab1/Pad1/MPN-domain-containing metallo-enzymes. Among these four families, USPs represent the most widespread and represented deubiquitinating enzymes across evolution. USPs tend to release ubiquitin from a conjugated protein. They display similar catalytic domains containing conserved Cys and His boxes but divergent N-terminal and occasionally C-terminal extensions, which are thought to function in substrate recognition, subcellular localization, and protein-protein interactions.Synonyms: Deubiquitinating enzyme 12, UBH1, USP12L1, Ubiquitin carboxyl-terminal hydrolase 12, Ubiquitin thioesterase 12, Ubiquitin-hydrolyzing enzyme 1, Ubiquitin-specific-processing protease 12

    Poids moléculaire

    41201 Da

    ID gène

    219333, 5874

    UniProt

    O75317
Vous êtes ici:
Chat with us!