Tel:
+49 (0)241 95 163 153
Fax:
+49 (0)241 95 163 155
E-Mail:
orders@anticorps-enligne.fr

ARL1 anticorps (N-Term)

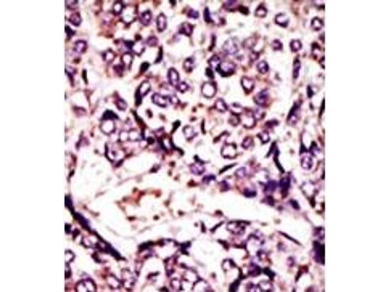
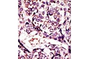
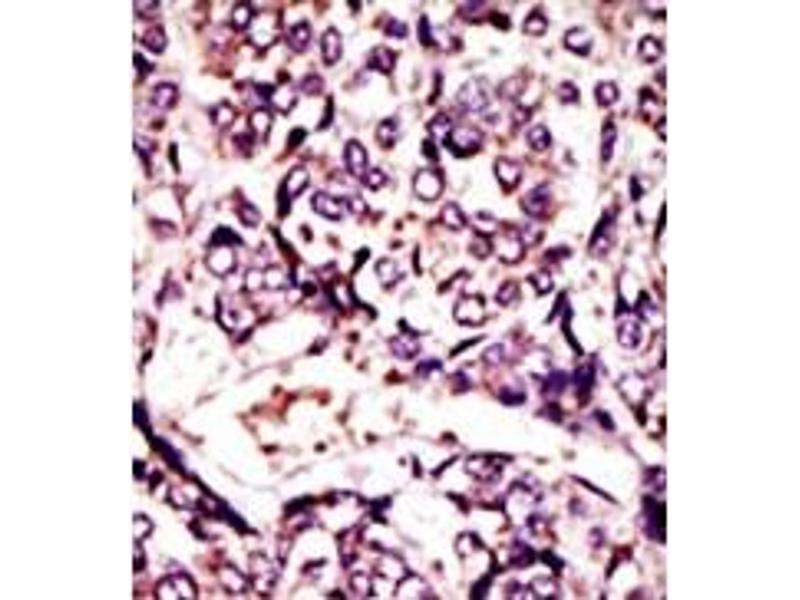
Cet anticorps Lapin Polyclonal détecte spécifiquement ARL1 dans IHC (p) et EIA. Il présente une réactivité avec des échantillons de Humain.
N° du produit ABIN357646
870,77 €
Plus frais de livraison 40,00 € et TVA
0.4 mL
Destination: France
Envoi sous 17 jours ouvrables

Aperçu rapide pour ARL1 anticorps (N-Term) (ABIN357646)

Antigène

Voir toutes ARL1 Anticorps
ARL1 (ADP Ribosylation Factor Like GTPase 1 (ARL1))

Reactivité

  • 59
  • 8
  • 8
  • 4
  • 4
  • 4
  • 4
  • 4
  • 4
  • 3
  • 3
  • 2
  • 1
  • 1
  • 1
Humain

Hôte

  • 58
  • 1
Lapin

Clonalité

  • 58
Polyclonal

Conjugué

  • 26
  • 6
  • 5
  • 4
  • 3
  • 3
  • 1
  • 1
  • 1
  • 1
  • 1
  • 1
  • 1
  • 1
  • 1
  • 1
  • 1
  • 1
Cet anticorp ARL1 est non-conjugé

Application

  • 46
  • 25
  • 17
  • 13
  • 13
  • 9
  • 5
  • 5
  • 5
  • 3
  • 3
  • 2
Immunohistochemistry (Paraffin-embedded Sections) (IHC (p)), Enzyme Immunoassay (EIA)
  • Épitope

    • 15
    • 7
    • 7
    • 6
    • 5
    • 5
    • 4
    • 2
    • 1
    • 1
    • 1
    • 1
    • 1
    • 1
    • 1
    • 1
    N-Term

    Specificité

    This antibody is specific to ARL1 (N-term).

    Purification

    Protein G Chromatography, eluted with high and low pH buffers and neutralized immediately, followed by dialysis against PBS.

    Immunogène

    This antibody is generated from rabbits immunized with a KLH conjugated synthetic peptide selected from the N-terminal region of human ARL1.

    Isotype

    Ig Fraction
  • Indications d'application

    ELISA: 1/1,000. Immunohistochemistry: 1/50-1/100.
    Other applications not tested.
    Optimal dilutions are dependent on conditions and should be determined by the user.

    Restrictions

    For Research Use only
  • Format

    Liquid

    Concentration

    0.25 mg/mL

    Buffer

    PBS with 0.09 % (W/V) Sodium Azide as preservative.

    Agent conservateur

    Sodium azide

    Précaution d'utilisation

    This product contains sodium azide: a POISONOUS AND HAZARDOUS SUBSTANCE which should be handled by trained staff only.

    Conseil sur la manipulation

    Avoid repeated freezing and thawing.

    Stock

    4 °C/-20 °C

    Stockage commentaire

    Store the antibody undiluted at 2-8 °C for one month or (in aliquots) at-20 °C for longer.
  • Antigène

    ARL1 (ADP Ribosylation Factor Like GTPase 1 (ARL1))

    Autre désignation

    ARL1

    Sujet

    ARL1 belongs to the ARL (ADP-ribosylation factor-like) family of proteins, which are structurally related to ADP-ribosylation factors (ARFs). ARFs, described as activators of cholera toxin (CT) ADP-ribosyltransferase activity, regulate intracellular vesicular membrane trafficking, and stimulate a phospholipase D (PLD) isoform. Although, ARL proteins were initially thought not to activate CT or PLD, later work showed that they are weak stimulators of PLD and CT in a phospholipid dependent manner.Synonyms: ADP-ribosylation factor-like protein 1

    Poids moléculaire

    20417 Da

    ID gène

    400, 9606

    UniProt

    P40616
Vous êtes ici:
Chat with us!