Tel:
+49 (0)241 95 163 153
Fax:
+49 (0)241 95 163 155
E-Mail:
orders@anticorps-enligne.fr

DTNBP1 anticorps (C-Term)

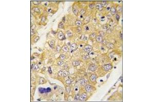
Cet anticorps anti-DTNBP1 Polyclonal Lapin (ABIN357846) détecte spécifiquement DTNBP1 dans WB, IHC (p) et EIA. L’anticorps est réactif avec des échantillons de Humain et Souris.
N° du produit ABIN357846
870,77 €
Plus frais de livraison 40,00 € et TVA
0.4 mL
Destination: France
Envoi sous 17 jours ouvrables

Aperçu rapide pour DTNBP1 anticorps (C-Term) (ABIN357846)

Antigène

Voir toutes DTNBP1 Anticorps
DTNBP1 (Dystrobrevin Binding Protein 1 (DTNBP1))

Reactivité

  • 48
  • 28
  • 27
  • 15
  • 1
  • 1
Humain, Souris

Hôte

  • 78
  • 3
Lapin

Clonalité

  • 78
  • 3
Polyclonal

Conjugué

  • 27
  • 7
  • 7
  • 6
  • 3
  • 3
  • 2
  • 2
  • 2
  • 2
  • 2
  • 2
  • 2
  • 2
  • 2
  • 2
  • 2
  • 1
  • 1
  • 1
  • 1
  • 1
  • 1
Cet anticorp DTNBP1 est non-conjugé

Application

  • 37
  • 34
  • 26
  • 26
  • 19
  • 10
  • 6
  • 6
  • 4
  • 2
  • 1
  • 1
Western Blotting (WB), Immunohistochemistry (Paraffin-embedded Sections) (IHC (p)), Enzyme Immunoassay (EIA)
  • Épitope

    • 15
    • 7
    • 7
    • 7
    • 5
    • 3
    • 3
    • 2
    • 1
    • 1
    • 1
    • 1
    • 1
    • 1
    • 1
    C-Term

    Specificité

    This antibody detects DTNBP1 (C-term).

    Purification

    Protein G Chromatography, eluted with high and low pH buffers and neutralized immediately, followed by dialysis against PBS.

    Immunogène

    This antibody is generated from rabbits immunized with a KLH conjugated synthetic peptide selected from the C-terminal region of mouse Dtnbp1.

    Isotype

    Ig Fraction
  • Indications d'application

    ELISA: 1/1,000. Western blot: 1/50-1/100. Immunohistochemistry: 1/10-1/50.
    Other applications not tested.
    Optimal dilutions are dependent on conditions and should be determined by the user.

    Restrictions

    For Research Use only
  • Format

    Liquid

    Concentration

    0.25 mg/mL

    Buffer

    PBS with 0.09 % (W/V) Sodium Azide as preservative.

    Agent conservateur

    Sodium azide

    Précaution d'utilisation

    This product contains sodium azide: a POISONOUS AND HAZARDOUS SUBSTANCE which should be handled by trained staff only.

    Conseil sur la manipulation

    Avoid repeated freezing and thawing.

    Stock

    4 °C/-20 °C

    Stockage commentaire

    Store the antibody undiluted at 2-8 °C for one month or (in aliquots) at-20 °C for longer.
  • Antigène

    DTNBP1 (Dystrobrevin Binding Protein 1 (DTNBP1))

    Autre désignation

    Dysbindin

    Sujet

    Dtnp1 may play a role in organelle biogenesis associated with melanosomes, platelet dense granules, and lysosomes. A similar protein in mouse is a component of a protein complex termed biogenesis of lysosome-related organelles complex 1 (BLOC-1), and binds to alpha- and beta-dystrobrevins, which are components of the dystrophin-associated protein complex (DPC). Mutations in this protein are associated with Hermansky-Pudlak syndrome type 7. This protein may also be associated with schizophrenia.Synonyms: DTNBP1, Dystrobrevin-binding protein 1, Hermansky-Pudlak syndrome 7 protein homolog, Hps7-like protein, My031

    Poids moléculaire

    39651 Da

    ID gène

    94245, 10090

    UniProt

    Q91WZ8

    Pathways

    Synaptic Membrane, Regulation of G-Protein Coupled Receptor Protein Signaling
Vous êtes ici:
Chat with us!