Tel:
+49 (0)241 95 163 153
Fax:
+49 (0)241 95 163 155
E-Mail:
orders@anticorps-enligne.fr

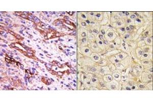
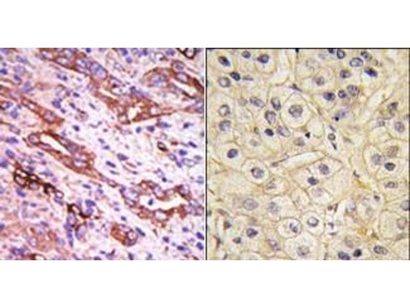
GRK1 anticorps (C-Term)

L’anticorps anti-GRK1 Polyclonal Lapin est utilisé pour la détection de GRK1 dans des échantillons de Humain et Souris. Il a été validé pour WB, IHC (p) et EIA.
N° du produit ABIN359042
870,77 €
Plus frais de livraison 40,00 € et TVA
0.4 mL
Destination: France
Envoi sous 17 jours ouvrables

Aperçu rapide pour GRK1 anticorps (C-Term) (ABIN359042)

Antigène

Voir toutes GRK1 Anticorps
GRK1 (G Protein-Coupled Receptor Kinase 1 (GRK1))

Reactivité

  • 45
  • 35
  • 27
  • 14
  • 13
  • 2
  • 2
  • 1
  • 1
  • 1
Humain, Souris

Hôte

  • 44
  • 2
  • 1
Lapin

Clonalité

  • 45
  • 2
Polyclonal

Conjugué

  • 24
  • 2
  • 2
  • 2
  • 1
  • 1
  • 1
  • 1
  • 1
  • 1
  • 1
  • 1
  • 1
  • 1
  • 1
  • 1
  • 1
  • 1
  • 1
  • 1
  • 1
Cet anticorp GRK1 est non-conjugé

Application

  • 40
  • 22
  • 19
  • 4
  • 2
Western Blotting (WB), Immunohistochemistry (Paraffin-embedded Sections) (IHC (p)), Enzyme Immunoassay (EIA)
  • Épitope

    • 7
    • 4
    • 2
    • 2
    • 2
    • 1
    • 1
    • 1
    • 1
    • 1
    • 1
    • 1
    • 1
    • 1
    • 1
    C-Term

    Specificité

    This antibody reacts to GRK1.

    Purification

    Protein G column, eluted with high and low pH buffers and neutralized immediately, followed by dialysis against PBS

    Immunogène

    This antibody is generated from rabbits immunized with a KLH conjugated synthetic peptide selected from the C-terminal region of human GRK1.

    Isotype

    Ig Fraction
  • Indications d'application

    ELISA: 1/1,000. Western blotting: 1/100 - 1/500.

    Restrictions

    For Research Use only
  • Format

    Liquid

    Concentration

    0.25 mg/mL

    Buffer

    PBS with 0.09 % (W/V) sodium azide

    Agent conservateur

    Sodium azide

    Précaution d'utilisation

    This product contains sodium azide: a POISONOUS AND HAZARDOUS SUBSTANCE which should be handled by trained staff only.

    Conseil sur la manipulation

    Avoid repeated freezing and thawing.

    Stock

    4 °C/-20 °C

    Stockage commentaire

    Store the antibody undiluted at 2-8 °C for one month or (in aliquots) at-20 °C for longer.
  • Antigène

    GRK1 (G Protein-Coupled Receptor Kinase 1 (GRK1))

    Autre désignation

    Rhodopsin Kinase

    Sujet

    Protein kinases are enzymes that transfer a phosphate group from a phosphate donor, generally the g phosphate of ATP, onto an acceptor amino acid in a substrate protein. By this basic mechanism, protein kinases mediate most of the signal transduction in eukaryotic cells, regulating cellular metabolism, transcription, cell cycle progression, cytoskeletal rearrangement and cell movement, apoptosis, and differentiation. With more than 500 gene products, the protein kinase family is one of the largest families of proteins in eukaryotes. The family has been classified in 8 major groups based on sequence comparison of their tyrosine (PTK) or serine/threonine (STK) kinase catalytic domains. The AGC kinase group consists of 63 kinases including the cyclic nucleotide-regulated protein kinase (PKA & PKG) family, the diacylglycerol-activated/phospholipid-dependent protein kinase C (PKC) family, the related to PKA and PKC (RAC/Akt) protein kinase family, the kinases that phosphorylate G protein-coupled receptors family (ARK), and the kinases that phosphorylate ribosomal protein S6 family (RSK). The AGC kinase group consists of 63 kinases including the cyclic nucleotide-regulated protein kinase (PKA & PKG) family, the diacylglycerol-activated/phospholipid-dependent protein kinase C (PKC) family, the related to PKA and PKC (RAC/Akt) protein kinase family, the kinases that phosphorylate G protein-coupled receptors family (ARK), and the kinases that phosphorylate ribosomal protein S6 family (RSK).Synonyms: G protein-coupled receptor kinase 1, GRK1, RHOK

    ID gène

    6011, 9606

    UniProt

    Q15835

    Pathways

    Regulation of G-Protein Coupled Receptor Protein Signaling, Phototransduction
Vous êtes ici:
Chat with us!