Tel:
+49 (0)241 95 163 153
Fax:
+49 (0)241 95 163 155
E-Mail:
orders@anticorps-enligne.fr

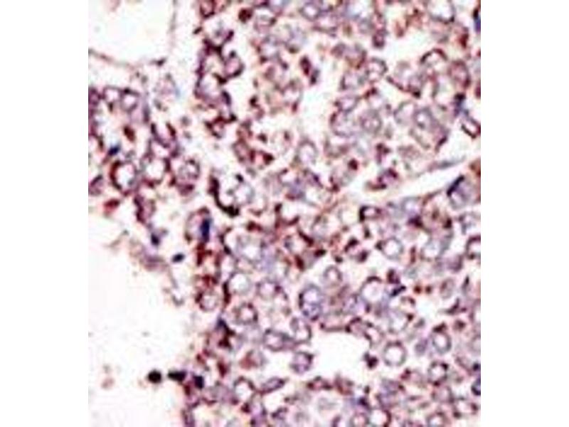
TYRO3 anticorps (C-Term)

Cet anticorps anti-TYRO3 Polyclonal Lapin (ABIN359940) détecte spécifiquement TYRO3 dans WB, IHC (p) et EIA. L’anticorps est réactif avec des échantillons de Humain et Souris.
N° du produit ABIN359940
870,77 €
Plus frais de livraison 40,00 € et TVA
0.4 mL
Destination: France
Envoi sous 17 jours ouvrables

Aperçu rapide pour TYRO3 anticorps (C-Term) (ABIN359940)

Antigène

Voir toutes TYRO3 Anticorps
TYRO3 (TYRO3 Protein Tyrosine Kinase (TYRO3))

Reactivité

  • 61
  • 25
  • 10
  • 4
Humain, Souris

Hôte

  • 40
  • 25
  • 4
  • 1
Lapin

Clonalité

  • 39
  • 27
  • 2
Polyclonal

Conjugué

  • 52
  • 4
  • 3
  • 1
  • 1
  • 1
  • 1
  • 1
  • 1
  • 1
  • 1
  • 1
Cet anticorp TYRO3 est non-conjugé

Application

  • 49
  • 27
  • 26
  • 19
  • 18
  • 12
  • 7
  • 7
  • 1
  • 1
  • 1
  • 1
  • 1
  • 1
  • 1
Western Blotting (WB), Immunohistochemistry (Paraffin-embedded Sections) (IHC (p)), Enzyme Immunoassay (EIA)
  • Épitope

    • 5
    • 5
    • 2
    • 2
    • 2
    • 2
    • 1
    • 1
    • 1
    • 1
    • 1
    • 1
    • 1
    • 1
    • 1
    • 1
    • 1
    • 1
    • 1
    C-Term

    Specificité

    This antibody reacts to TYRO3 (SKY).

    Purification

    Protein G column, eluted with high and low pH buffers and neutralized immediately, followed by dialysis against PBS

    Immunogène

    This antibody is generated from rabbits immunized with a KLH conjugated synthetic peptide selected from the C-terminal region of human SKY.

    Isotype

    Ig Fraction
  • Indications d'application

    ELISA: 1/1,000. Western blotting: 1/100 - 1/500. Immunohistochemistry: 1/50 - 1/100.
    Other applications not tested.
    Optimal dilutions are dependent on conditions and should be determined by the user.

    Restrictions

    For Research Use only
  • Format

    Liquid

    Concentration

    0.25 mg/mL

    Buffer

    PBS with 0.09 % (W/V) sodium azide

    Agent conservateur

    Sodium azide

    Précaution d'utilisation

    This product contains sodium azide: a POISONOUS AND HAZARDOUS SUBSTANCE which should be handled by trained staff only.

    Conseil sur la manipulation

    Avoid repeated freezing and thawing.

    Stock

    4 °C/-20 °C

    Stockage commentaire

    Store the antibody undiluted at 2-8 °C for one month or (in aliquots) at-20 °C for longer.
  • Antigène

    TYRO3 (TYRO3 Protein Tyrosine Kinase (TYRO3))

    Autre désignation

    TYRO3

    Sujet

    Protein kinases are enzymes that transfer a phosphate group from a phosphate donor, generally the g phosphate of ATP, onto an acceptor amino acid in a substrate protein. By this basic mechanism, protein kinases mediate most of the signal transduction in eukaryotic cells, regulating cellular metabolism, transcription, cell cycle progression, cytoskeletal rearrangement and cell movement, apoptosis, and differentiation. With more than 500 gene products, the protein kinase family is one of the largest families of proteins in eukaryotes. The family has been classified in 8 major groups based on sequence comparison of their tyrosine (PTK) or serine/threonine (STK) kinase catalytic domains.Synonyms: BYK, DTK, RSE, SKY, Tyrosine-protein kinase receptor TYRO3

    ID gène

    7301, 9606

    UniProt

    Q06418

    Pathways

    Signalisation RTK
Vous êtes ici:
Chat with us!