Tel:
+49 (0)241 95 163 153
Fax:
+49 (0)241 95 163 155
E-Mail:
orders@anticorps-enligne.fr

BRD2 anticorps (Middle Region)

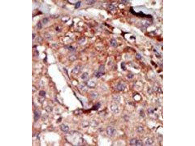
L’anticorps anti-BRD2 Polyclonal Lapin est utilisé pour la détection de BRD2 dans des échantillons de Humain. Il a été validé pour WB, IHC (p) et EIA.
N° du produit ABIN360494
870,77 €
Plus frais de livraison 40,00 € et TVA
0.4 mL
Destination: France
Envoi sous 17 jours ouvrables

Aperçu rapide pour BRD2 anticorps (Middle Region) (ABIN360494)

Antigène

Voir toutes BRD2 Anticorps
BRD2 (Bromodomain Containing 2 (BRD2))

Reactivité

  • 75
  • 10
  • 9
  • 5
  • 5
  • 4
  • 3
  • 3
  • 2
  • 1
  • 1
Humain

Hôte

  • 64
  • 10
  • 2
Lapin

Clonalité

  • 45
  • 31
Polyclonal

Conjugué

  • 41
  • 4
  • 2
  • 2
  • 2
  • 2
  • 2
  • 2
  • 2
  • 2
  • 1
  • 1
  • 1
  • 1
  • 1
  • 1
  • 1
  • 1
  • 1
  • 1
  • 1
  • 1
  • 1
  • 1
  • 1
Cet anticorp BRD2 est non-conjugé

Application

  • 47
  • 23
  • 19
  • 18
  • 17
  • 14
  • 14
  • 14
  • 9
  • 7
  • 3
  • 3
  • 1
  • 1
  • 1
  • 1
Western Blotting (WB), Immunohistochemistry (Paraffin-embedded Sections) (IHC (p)), Enzyme Immunoassay (EIA)
  • Épitope

    • 15
    • 7
    • 6
    • 3
    • 2
    • 2
    • 2
    • 1
    • 1
    • 1
    • 1
    • 1
    • 1
    • 1
    • 1
    • 1
    • 1
    • 1
    • 1
    Middle Region

    Specificité

    This antibody reacts to BRD2.

    Purification

    Protein G column, eluted with high and low pH buffers and neutralized immediately, followed by dialysis against PBS

    Immunogène

    This antibody is generated from rabbits immunized with a KLH conjugated synthetic peptide selected from the center region of human BRD2.

    Isotype

    Ig Fraction
  • Indications d'application

    ELISA: 1/1,000. Western blotting: 1/100 - 1/500. Immunohistochemistry: 1/50 - 1/100.
    Other applications not tested.
    Optimal dilutions are dependent on conditions and should be determined by the user.

    Restrictions

    For Research Use only
  • Format

    Liquid

    Concentration

    0.25 mg/mL

    Buffer

    PBS with 0.09 % (W/V) sodium azide

    Agent conservateur

    Sodium azide

    Précaution d'utilisation

    This product contains sodium azide: a POISONOUS AND HAZARDOUS SUBSTANCE which should be handled by trained staff only.

    Conseil sur la manipulation

    Avoid repeated freezing and thawing.

    Stock

    4 °C/-20 °C

    Stockage commentaire

    Store the antibody undiluted at 2-8 °C for one month or (in aliquots) at-20 °C for longer.
  • Antigène

    BRD2 (Bromodomain Containing 2 (BRD2))

    Autre désignation

    BRD2

    Sujet

    BRD2 is a mitogen-activated kinase which localizes to the nucleus. The gene maps to the major histocompatability complex (MHC) class II region on chromosome 6p21.3 but sequence comparison suggests that the protein is not involved in the immune response. Homology to the Drosophila gene female sterile homeotic suggests that this human protein may be part of a signal transduction pathway involved in growth control.Synonyms: Bromodomain-containing protein 2, KIAA9001, O27.1.1, RING3

    ID gène

    6046, 9606

    UniProt

    P25440

    Pathways

    Chromatin Binding, SARS-CoV-2 Protein Interactome, Phosphorylation & l'infection par le SRAS-CoV-2
Vous êtes ici:
Chat with us!