ERCC4 anticorps
Aperçu rapide pour ERCC4 anticorps (ABIN364262)
Antigène
Voir toutes ERCC4 AnticorpsReactivité
Hôte
Clonalité
Conjugué
Application
-
-
Specificité
- Recognizes XPF. Species cross-reactivity: human.
-
Purification
- Protein G purified
-
Immunogène
-
Recombinant human XPF protein.
Type of Immunogen: Recombinant protein -
Isotype
- IgG2 kappa
-
-
-
-
Indications d'application
-
Approved: IHC, IHC-P (10 μg/mL), WB (1 - 2 μg/mL)
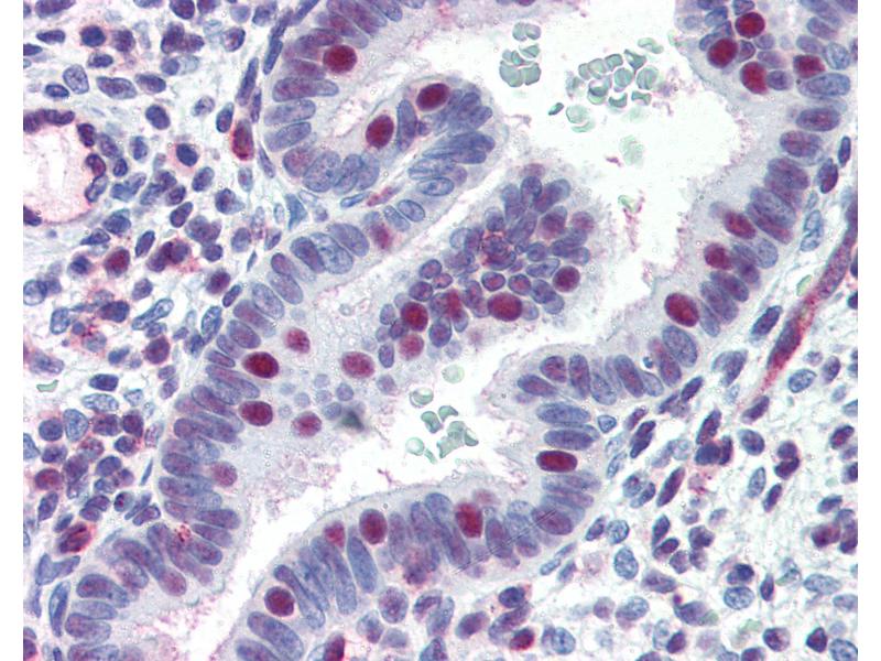
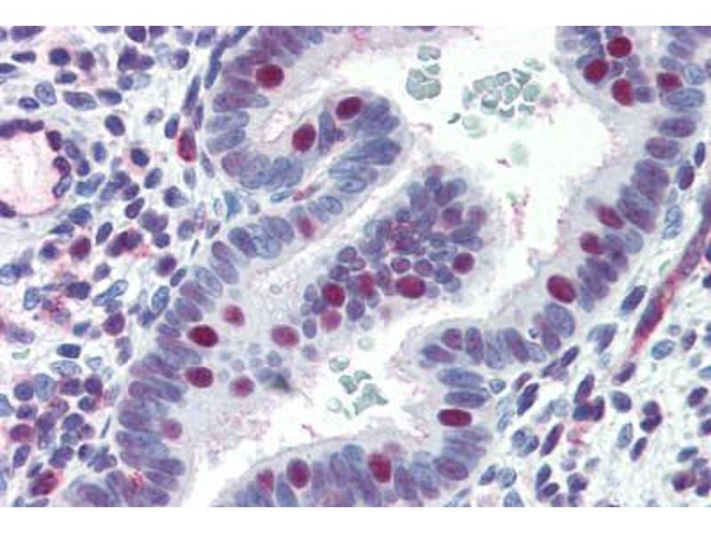
Usage: Immunohistochemistry: This antibody was validated for use in immunohistochemistry on a panel of 21 formalin-fixed, paraffin-embedded (FFPE) human tissues after heat induced antigen retrieval in pH 6.0 citrate buffer. After incubation with the primary antibody, slides were incubated with biotinylated secondary antibody, followed by alkaline phosphatase-streptavidin and chromogen. The stained slides were evaluated by a pathologist to confirm staining specificity. The optimal working concentration for this antibody was determined to be 10 μg/mL. Western Blot: 1-2 μg/mL for 2hrs at RT. Positive control: MCF-7 cells or human tonsil. -
Commentaires
-
Target Species of Antibody: Human
-
Restrictions
- For Research Use only
-
-
-
Format
- Liquid
-
Concentration
- Lot specific
-
Buffer
- PBS, pH 7.4, 0.2 % BSA, 0.09 % sodium azide.
-
Agent conservateur
- Sodium azide
-
Précaution d'utilisation
- This product contains Sodium azide: a POISONOUS AND HAZARDOUS SUBSTANCE which should be handled by trained staff only.
-
Stock
- 4 °C,-20 °C
-
Stockage commentaire
- Short term: 4°C. Long term: Store at -20°C. Avoid freeze-thaw cycles.
-
-
- ERCC4 (Excision Repair Cross-Complementing Rodent Repair Deficiency, Complementation Group 4 (ERCC4))
-
Autre désignation
- ERCC4 / XPF
-
Sujet
-
Name/Gene ID: ERCC4
Synonyms: ERCC4, ERCC11, DNA repair endonuclease XPF, XPF -
ID gène
- 2072
-
UniProt
- Q92889
-
Pathways
- Réparation de l'ADN
Antigène
-