Tel:
+49 (0)241 95 163 153
Fax:
+49 (0)241 95 163 155
E-Mail:
orders@anticorps-enligne.fr

FDPS anticorps (AA 389-419)

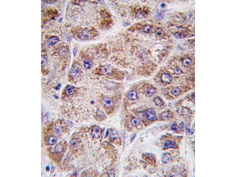
Il existe 6+ publications pour ce produit. L’anticorps anti-FDPS Polyclonal Lapin est utilisé pour la détection de FDPS dans des échantillons de Humain. Il a été validé pour WB et IHC (p).
N° du produit ABIN389054
434,77 €
Plus frais de livraison 40,00 € et TVA
Destination: France
Envoi sous 14 à 17 jours ouvrables

Aperçu rapide pour FDPS anticorps (AA 389-419) (ABIN389054)

Antigène

Voir toutes FDPS Anticorps
FDPS (Farnesyl Diphosphate Synthase (FDPS))

Reactivité

  • 69
  • 19
  • 14
  • 2
  • 2
  • 2
  • 2
  • 1
  • 1
  • 1
  • 1
Humain

Hôte

  • 66
  • 10
Lapin

Clonalité

  • 45
  • 31
Polyclonal

Conjugué

  • 37
  • 6
  • 4
  • 3
  • 3
  • 3
  • 3
  • 3
  • 3
  • 3
  • 2
  • 2
  • 2
  • 2
Cet anticorp FDPS est non-conjugé

Application

  • 60
  • 37
  • 26
  • 10
  • 6
  • 6
  • 3
  • 3
  • 2
  • 1
  • 1
  • 1
  • 1
Western Blotting (WB), Immunohistochemistry (Paraffin-embedded Sections) (IHC (p))

Clone

RB04786
  • Épitope

    • 9
    • 7
    • 6
    • 3
    • 2
    • 2
    • 1
    • 1
    • 1
    • 1
    • 1
    • 1
    • 1
    • 1
    • 1
    AA 389-419

    Purification

    This antibody is prepared by Saturated Ammonium Sulfate (SAS) precipitation followed by dialysis against PBS.

    Immunogène

    This FDPS antibody is generated from rabbits immunized with a KLH conjugated synthetic peptide between 389-419 amino acids from the center region of human FDPS.

    Isotype

    Ig Fraction
  • Indications d'application

    WB: 1:1000. IHC-P: 1:10~50

    Restrictions

    For Research Use only
  • Format

    Liquid

    Buffer

    Purified polyclonal antibody supplied in PBS with 0.09 % (W/V) sodium azide.

    Agent conservateur

    Sodium azide

    Précaution d'utilisation

    This product contains Sodium azide: a POISONOUS AND HAZARDOUS SUBSTANCE which should be handled by trained staff only.

    Stock

    4 °C,-20 °C

    Stockage commentaire

    Maintain refrigerated at 2-8 °C for up to 6 months. For long term storage store at -20 °C in small aliquots to prevent freeze-thaw cycles.

    Date de péremption

    6 months
  • Sousa, Auriola, Mönkkönen, Määttä: "Liposome encapsulated zoledronate favours M1-like behaviour in murine macrophages cultured with soluble factors from breast cancer cells." dans: BMC cancer, Vol. 15, pp. 4, (2015) (PubMed).

    Todenhöfer, Hennenlotter, Kühs, Gerber, Gakis, Vogel, Aufderklamm, Merseburger, Knapp, Stenzl, Schwentner: "Altered expression of farnesyl pyrophosphate synthase in prostate cancer: evidence for a role of the mevalonate pathway in disease progression?" dans: World journal of urology, Vol. 31, Issue 2, pp. 345-50, (2013) (PubMed).

    Zhang, Dai, Wang: "5-Aza-2'-deoxycytidine induced growth inhibition of leukemia cells through modulating endogenous cholesterol biosynthesis." dans: Molecular & cellular proteomics : MCP, Vol. 11, Issue 7, pp. M111.016915, (2012) (PubMed).

    Ishimoto, Tachibana, Hanano, Yamasaki, Nakamura, Kawai, Urano, Tanaka, Hamakubo, Sakai, Kodama, Doi: "Sterol-regulatory-element-binding protein 2 and nuclear factor Y control human farnesyl diphosphate synthase expression and affect cell proliferation in hepatoblastoma cells." dans: The Biochemical journal, Vol. 429, Issue 2, pp. 347-57, (2010) (PubMed).

    Räikkönen, Mönkkönen, Auriola, Mönkkönen: "Mevalonate pathway intermediates downregulate zoledronic acid-induced isopentenyl pyrophosphate and ATP analog formation in human breast cancer cells." dans: Biochemical pharmacology, Vol. 79, Issue 5, pp. 777-83, (2010) (PubMed).

    Li, Herold, Kimmel, Müller, Rincon-Orozco, Kunzmann, Herrmann: "Reduced expression of the mevalonate pathway enzyme farnesyl pyrophosphate synthase unveils recognition of tumor cells by Vgamma9Vdelta2 T cells." dans: Journal of immunology (Baltimore, Md. : 1950), Vol. 182, Issue 12, pp. 8118-24, (2009) (PubMed).

  • Antigène

    FDPS (Farnesyl Diphosphate Synthase (FDPS))

    Autre désignation

    FDPS

    Sujet

    The isoprene biosynthetic pathway supply the cell with cholesterol, ubiquinone, and various nonsterol metabolites. The farnesylpyrophosphate synthetase enzyme catalyzes the formation of geranyl and farnesylpyrophosphate from isopentenylpyrophosphate and dimethylallyl pyrophosphate. Analysis of FDPS activity and protein in rat liver, accompanied by immunofluorescence and immunoelectron microscopy studies, demonstrated that FDPS is predominantly localized in peroxisomes.1 Liver tissue from patients with the peroxisomal deficiency diseases Zellweger syndrome and neonatal adrenoleukodystrophy exhibit diminished activities of FDPS and subsequent isoprenoid synthesis.

    Poids moléculaire

    48275

    ID gène

    2224

    NCBI Accession

    NP_001129293, NP_001129294, NP_001229753, NP_001229754, NP_001995

    UniProt

    P14324

    Pathways

    Regulation of Muscle Cell Differentiation
Vous êtes ici:
Chat with us!