Tel:
+49 (0)241 95 163 153
Fax:
+49 (0)241 95 163 155
E-Mail:
orders@anticorps-enligne.fr

SPHK2 anticorps (C-Term)

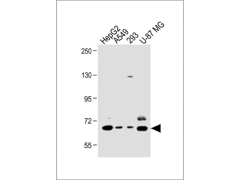
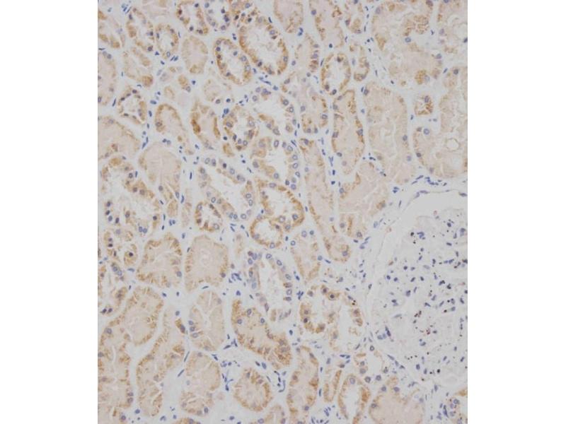
Il existe 2+ publications pour ce produit. L’anticorps anti-SPHK2 Polyclonal Lapin est utilisé pour la détection de SPHK2 dans des échantillons de Humain. Il a été validé pour WB et IHC (p).
N° du produit ABIN391349
434,77 €
Plus frais de livraison 40,00 € et TVA
Destination: France
Envoi sous 14 à 17 jours ouvrables

Aperçu rapide pour SPHK2 anticorps (C-Term) (ABIN391349)

Antigène

Voir toutes SPHK2 Anticorps
SPHK2 (Sphingosine Kinase 2 (SPHK2))

Reactivité

  • 53
  • 25
  • 12
Humain

Hôte

  • 55
  • 2
Lapin

Clonalité

  • 57
Polyclonal

Conjugué

  • 40
  • 3
  • 2
  • 2
  • 2
  • 2
  • 1
  • 1
  • 1
  • 1
  • 1
  • 1
Cet anticorp SPHK2 est non-conjugé

Application

  • 44
  • 33
  • 31
  • 5
  • 5
  • 4
  • 3
  • 2
  • 1
  • 1
  • 1
Western Blotting (WB), Immunohistochemistry (Paraffin-embedded Sections) (IHC (p))

Clone

RB03625
  • Épitope

    • 10
    • 8
    • 5
    • 5
    • 4
    • 2
    • 2
    • 1
    • 1
    • 1
    • 1
    • 1
    • 1
    • 1
    • 1
    • 1
    • 1
    AA 590-620, C-Term

    Purification

    This antibody is purified through a protein A column, followed by peptide affinity purification.

    Immunogène

    This SPHK2 antibody is generated from rabbits immunized with a KLH conjugated synthetic peptide between 590-620 amino acids from the C-terminal region of human SPHK2.

    Isotype

    IgG
  • Indications d'application

    WB: 1:1000. WB: 1:1000. IHC-P-Leica: 1:250. IHC-P-Leica: 1:250

    Restrictions

    For Research Use only
  • Format

    Liquid

    Buffer

    Purified polyclonal antibody supplied in PBS with 0.09 % (W/V) sodium azide.

    Agent conservateur

    Sodium azide

    Précaution d'utilisation

    This product contains Sodium azide: a POISONOUS AND HAZARDOUS SUBSTANCE which should be handled by trained staff only.

    Conseil sur la manipulation

    Avoid freeze-thaw cycles.

    Stock

    4 °C,-20 °C

    Stockage commentaire

    Maintain refrigerated at 2-8 °C for up to 6 months. For long term storage store at -20 °C in small aliquots.

    Date de péremption

    6 months
  • Sun, Zhang, Wang, Wang, Ma, Lei, Zhou, Sun, Lu, Liu, Han: "Down-regulation of Sphk2 suppresses bladder cancer progression." dans: Tumour biology, (2015) (PubMed).

    Coste, Brenneis, Linke, Pierre, Maeurer, Becker, Schmidt, Gao, Geisslinger, Scholich: "Sphingosine 1-phosphate modulates spinal nociceptive processing." dans: The Journal of biological chemistry, Vol. 283, Issue 47, pp. 32442-51, (2008) (PubMed).

  • Antigène

    SPHK2 (Sphingosine Kinase 2 (SPHK2))

    Autre désignation

    SPHK2

    Sujet

    Sphingosine Kinase (SphK) catalyzes the phosphorylation of the lipid sphingosine, creating the bioactive lipid sphingosine-1-phosphate (S1P). S1P subsequently signals through cell surface G protein-coupled receptors, as well as intracellularly, to modulate cell proliferation, survival, motility and differentiation. SphK is an important signaling enzyme which is activated by diverse agents, including growth factors that signal through receptor tyrosine kinases, agents activating G protein-coupled receptors, and immunoglobulin receptors. Two SphK isotypes, SphK-1 and SphK-2, have been cloned, and both isotypes are ubiquitously expressed. SphK-1 has been shown to mediate cell growth, prevention of apoptosis, and cellular transformation, and is upregulated in a variety of human tumors. In contrast, SphK-2 increases apoptosis, and may be responsible for phosphorylating and activating the immunosuppressive drug FTY720.

    Poids moléculaire

    69217

    NCBI Accession

    NP_001191087, NP_001191088, NP_001191089, NP_064511

    UniProt

    Q9NRA0

    Pathways

    VEGF Signaling
Vous êtes ici:
Chat with us!