Tel:
+49 (0)241 95 163 153
Fax:
+49 (0)241 95 163 155
E-Mail:
orders@anticorps-enligne.fr

NAE1 anticorps (C-Term)

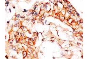
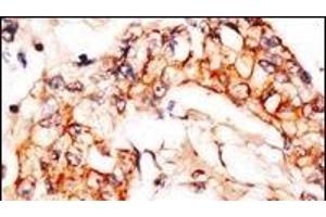
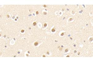
L’anticorps anti-NAE1 Polyclonal Lapin est utilisé pour la détection de NAE1 dans des échantillons de Humain. Il a été validé pour WB et IHC (p).
N° du produit ABIN391418
434,77 €
Plus frais de livraison 40,00 € et TVA
Destination: France
Envoi sous 14 à 17 jours ouvrables

Aperçu rapide pour NAE1 anticorps (C-Term) (ABIN391418)

Antigène

Voir toutes NAE1 Anticorps
NAE1 (NEDD8 Activating Enzyme E1 Subunit 1 (NAE1))

Reactivité

  • 57
  • 25
  • 24
  • 1
  • 1
  • 1
  • 1
  • 1
  • 1
Humain

Hôte

  • 63
  • 9
Lapin

Clonalité

  • 56
  • 16
Polyclonal

Conjugué

  • 32
  • 5
  • 3
  • 3
  • 2
  • 2
  • 2
  • 2
  • 2
  • 2
  • 2
  • 2
  • 1
  • 1
  • 1
  • 1
  • 1
  • 1
  • 1
  • 1
  • 1
  • 1
  • 1
  • 1
  • 1
Cet anticorp NAE1 est non-conjugé

Application

  • 65
  • 26
  • 20
  • 13
  • 13
  • 12
  • 9
  • 3
  • 2
  • 2
Western Blotting (WB), Immunohistochemistry (Paraffin-embedded Sections) (IHC (p))

Clone

RB8977
  • Épitope

    • 15
    • 7
    • 7
    • 4
    • 4
    • 3
    • 2
    • 2
    • 2
    • 2
    • 1
    • 1
    • 1
    • 1
    • 1
    • 1
    • 1
    • 1
    • 1
    AA 430-459, C-Term

    Homologie

    Pr, M, Rat

    Purification

    This antibody is purified through a protein G column, followed by dialysis against PBS.

    Immunogène

    This NAE1 (APPBP1) antibody is generated from rabbits immunized with a KLH conjugated synthetic peptide between 430-459 amino acids from the C-terminal region of human NAE1 (APPBP1).

    Isotype

    Ig Fraction
  • Indications d'application

    WB: 1:1000. WB: 1:1000. IHC-P: 1:50~100

    Restrictions

    For Research Use only
  • Format

    Liquid

    Buffer

    Purified monoclonal antibody supplied in PBS with 0.09 % (W/V) sodium azide.

    Agent conservateur

    Sodium azide

    Précaution d'utilisation

    This product contains Sodium azide: a POISONOUS AND HAZARDOUS SUBSTANCE which should be handled by trained staff only.

    Stock

    4 °C,-20 °C

    Stockage commentaire

    Maintain refrigerated at 2-8 °C for up to 6 months. For long term storage store at -20 °C in small aliquots to prevent freeze-thaw cycles.

    Date de péremption

    6 months
  • Antigène

    NAE1 (NEDD8 Activating Enzyme E1 Subunit 1 (NAE1))

    Autre désignation

    NAE1 (APPBP1)

    Sujet

    APPBP1 binds to the beta-amyloid precursor protein, a cell surface protein with signal-transducing properties thought to play a role in the pathogenesis of Alzheimer's disease. In addition, this protein can form a heterodimer with UBE1C and bind and activate NEDD8, a ubiquitin-like protein. APPB1 is required for cell cycle progression through the S/M checkpoint.

    Poids moléculaire

    60246

    ID gène

    8883

    NCBI Accession

    NP_001018169, NP_001018170, NP_003896

    UniProt

    Q13564
Vous êtes ici:
Chat with us!