Tel:
+49 (0)241 95 163 153
Fax:
+49 (0)241 95 163 155
E-Mail:
orders@anticorps-enligne.fr

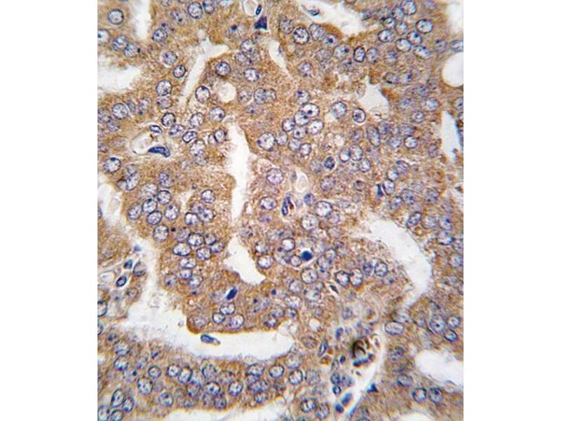
PAK4 anticorps (N-Term)

Cet anticorps Lapin Polyclonal détecte spécifiquement PAK4 dans WB et IHC (p). Il présente une réactivité avec des échantillons de Humain et Souris.
N° du produit ABIN392437
467,50 €
Plus frais de livraison 40,00 € et TVA
Destination: France
Envoi sous 14 à 17 jours ouvrables

Aperçu rapide pour PAK4 anticorps (N-Term) (ABIN392437)

Antigène

Voir toutes PAK4 Anticorps
PAK4 (P21-Activated Kinase 4 (PAK4))

Reactivité

  • 78
  • 44
  • 26
  • 6
  • 5
  • 4
  • 4
  • 2
  • 2
  • 2
  • 2
  • 2
  • 2
  • 1
Humain, Souris

Hôte

  • 72
  • 5
  • 1
Lapin

Clonalité

  • 69
  • 9
Polyclonal

Conjugué

  • 50
  • 6
  • 5
  • 4
  • 3
  • 3
  • 1
  • 1
  • 1
  • 1
  • 1
  • 1
  • 1
Cet anticorp PAK4 est non-conjugé

Application

  • 61
  • 36
  • 24
  • 16
  • 13
  • 7
  • 5
  • 5
  • 2
  • 1
  • 1
Western Blotting (WB), Immunohistochemistry (Paraffin-embedded Sections) (IHC (p))

Clone

RB01233
  • Épitope

    • 17
    • 9
    • 7
    • 5
    • 4
    • 4
    • 3
    • 3
    • 3
    • 3
    • 2
    • 2
    • 2
    • 2
    • 2
    • 2
    • 2
    • 1
    • 1
    • 1
    • 1
    • 1
    • 1
    • 1
    • 1
    AA 156-187, N-Term

    Purification

    This antibody is prepared by Saturated Ammonium Sulfate (SAS) precipitation followed by dialysis against PBS.

    Immunogène

    This PAK4 antibody is generated from rabbits immunized with a KLH conjugated synthetic peptide between 156-187 amino acids from the N-terminal region of human PAK4.

    Isotype

    Ig Fraction
  • Indications d'application

    WB: 1:1000. IHC-P: 1:10~50

    Restrictions

    For Research Use only
  • Format

    Liquid

    Buffer

    Purified polyclonal antibody supplied in PBS with 0.09 % (W/V) sodium azide.

    Agent conservateur

    Sodium azide

    Précaution d'utilisation

    This product contains Sodium azide: a POISONOUS AND HAZARDOUS SUBSTANCE which should be handled by trained staff only.

    Stock

    4 °C,-20 °C

    Stockage commentaire

    Maintain refrigerated at 2-8 °C for up to 6 months. For long term storage store at -20 °C in small aliquots to prevent freeze-thaw cycles.

    Date de péremption

    6 months
  • Antigène

    PAK4 (P21-Activated Kinase 4 (PAK4))

    Autre désignation

    PAK4

    Sujet

    PAK proteins are critical effectors that link Rho GTPases to cytoskeleton reorganization and nuclear signaling. PAK proteins, a family of serine/threonine p21-activating kinases, include PAK1, PAK2, PAK3, PAK4, PAK5, and PAK6. PAK proteins serve as targets for the small GTP binding proteins Cdc42 and Rac and have been implicated in a wide range of biological activities. PAK4 interacts specifically with the GTP-bound form of Cdc42Hs and weakly activates the JNK family of MAP kinases. PAK4 is a mediator of filopodia formation and may play a role in the reorganization of the actin cytoskeleton.

    Poids moléculaire

    64072

    ID gène

    10298

    NCBI Accession

    NP_001014831, NP_001014832, NP_001014834, NP_001014835, NP_005875

    UniProt

    O96013

    Pathways

    Signalisation RTK
Vous êtes ici:
Chat with us!