SOD2 anticorps
Aperçu rapide pour SOD2 anticorps (ABIN396955)
Antigène
Voir toutes SOD2 AnticorpsReactivité
Hôte
Clonalité
Conjugué
Application
-
-
Purification
- Purified
-
Immunogène
-
Recombinant human SOD2 purified from E. coli.
Type of Immunogen: Recombinant protein -
Isotype
- IgG1 kappa
-
-
-
-
Indications d'application
-
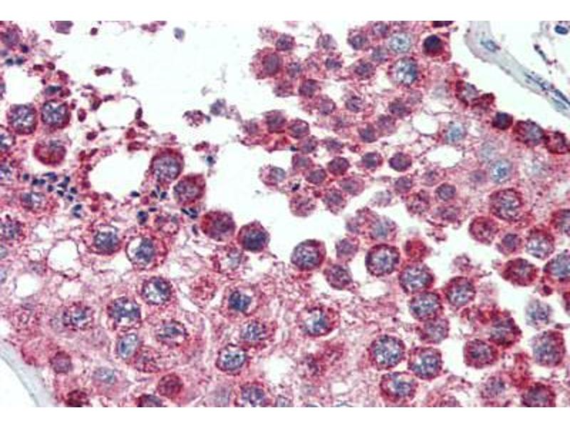
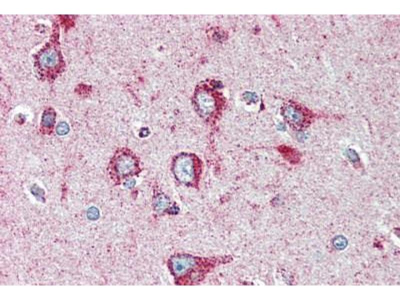
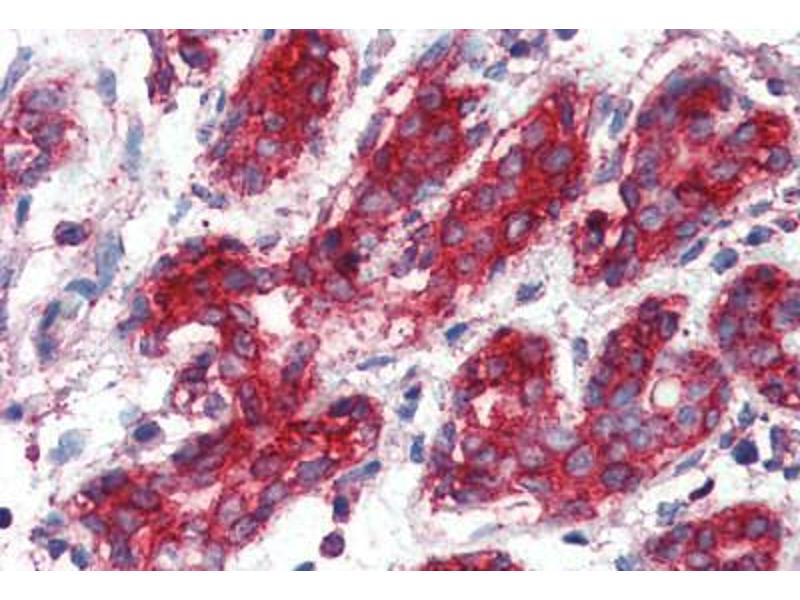
Approved: ELISA, IHC, IHC-P (1:50), WB (1:2000)
Usage: Immunohistochemistry: This antibody was validated for use in immunohistochemistry on a panel of 21 formalin-fixed, paraffin-embedded (FFPE) human tissues after heat induced antigen retrieval in pH 6.0 citrate buffer. After incubation with the primary antibody, slides were incubated with biotinylated secondary antibody, followed by alkaline phosphatase-streptavidin and chromogen. The stained slides were evaluated by a pathologist to confirm staining specificity. The optimal working concentration for this antibody was determined to be 1:50. -
Commentaires
-
Target Species of Antibody: Human
-
Restrictions
- For Research Use only
-
-
-
Format
- Liquid
-
Concentration
- Lot specific
-
Buffer
- HEPES with 0.15M NaCl, 0.01 % BSA, 0.03 % sodium azide, and 50 % glycerol
-
Agent conservateur
- Sodium azide
-
Précaution d'utilisation
- This product contains Sodium azide: a POISONOUS AND HAZARDOUS SUBSTANCE which should be handled by trained staff only.
-
Stock
- -20 °C
-
Stockage commentaire
- Store at -20°C.
-
-
- SOD2 (Superoxide Dismutase 2, Mitochondrial (SOD2))
-
Autre désignation
- MNSOD / SOD2
-
Sujet
-
Name/Gene ID: SOD2
Synonyms: SOD2, IPOB, MVCD6, Indophenoloxidase B, Mn superoxide dismutase, MNSOD, Mangano-superoxide dismutase -
ID gène
- 6648
-
UniProt
- P04179
-
Pathways
- Sensory Perception of Sound, Transition Metal Ion Homeostasis, Negative Regulation of intrinsic apoptotic Signaling
Antigène
-