HMOX1 anticorps
Aperçu rapide pour HMOX1 anticorps (ABIN462095)
Antigène
Voir toutes HMOX1 AnticorpsReactivité
Hôte
Clonalité
Conjugué
Application
Clone
-
-
Purification
- Protein G purified
-
Immunogène
-
Synthetic peptide derived from sequence near the amino-terminus of human HO-1 (Hsp32).
Type of Immunogen: Synthetic peptide -
Isotype
- IgG1
-
-
-
-
Indications d'application
-
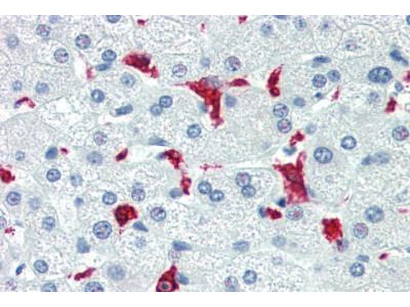
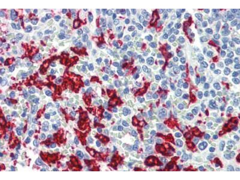
Approved: Flo, IHC, IHC-P (10 μg/mL), WB (1:250)
Usage: Immunohistochemistry: This antibody was validated for use in immunohistochemistry on a panel of 21 formalin-fixed, paraffin-embedded (FFPE) human tissues after heat induced antigen retrieval in pH 6.0 citrate buffer. After incubation with the primary antibody, slides were incubated with biotinylated secondary antibody, followed by alkaline phosphatase-streptavidin and chromogen. The stained slides were evaluated by a pathologist to confirm staining specificity. The optimal working concentration for this antibody was determined to be 10 μg/mL. -
Commentaires
-
Target Species of Antibody: Human
-
Restrictions
- For Research Use only
-
-
-
Format
- Liquid
-
Concentration
- Lot specific
-
Buffer
- PBS, 0.09 % azide, 50 % glycerol
-
Agent conservateur
- Sodium azide
-
Précaution d'utilisation
- This product contains Sodium azide: a POISONOUS AND HAZARDOUS SUBSTANCE which should be handled by trained staff only.
-
Conseil sur la manipulation
- Aliquot to Avoid freeze/thaw cycles.
-
Stock
- -20 °C
-
Stockage commentaire
- Store at -20°C. Aliquot to avoid freeze/thaw cycles.
-
-
- HMOX1 (Heme Oxygenase (Decycling) 1 (HMOX1))
-
Autre désignation
- HMOX1 / HO-1
-
Sujet
-
Name/Gene ID: HMOX1
Synonyms: HMOX1, BK286B10, HO-1, HSP32, Heat shock protein, 32-kD, Heme oxygenase (decycling) 1, Heme oxygenase 1, HO1 -
ID gène
- 3162
-
UniProt
- P09601
-
Pathways
- Transition Metal Ion Homeostasis, Regulation of Leukocyte Mediated Immunity, Positive Regulation of Immune Effector Process, Production of Molecular Mediator of Immune Response, SARS-CoV-2 Protein Interactome
Antigène
-