MEF2C anticorps (Ser396)
Aperçu rapide pour MEF2C anticorps (Ser396) (ABIN462315)
Antigène
Voir toutes MEF2C AnticorpsReactivité
Hôte
Clonalité
Conjugué
Application
-
-
Épitope
- Ser396
-
Specificité
- This MEF2C antibody is generated from rabbits immunized with a KLH conjugated synthetic peptide between 374-403 amino acids from human MEF2C.
-
Purification
- Protein A purified
-
-
-
-
Indications d'application
-
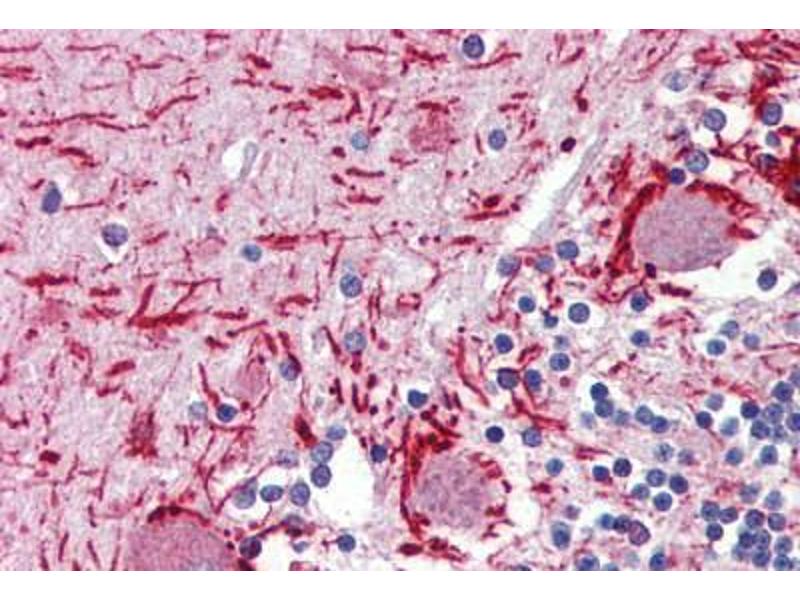
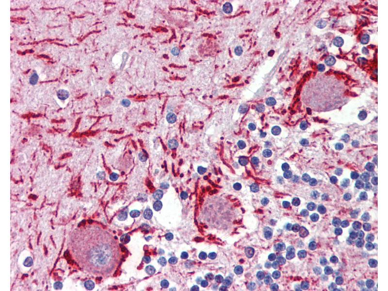
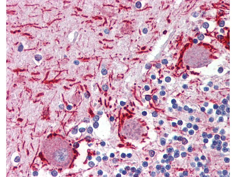
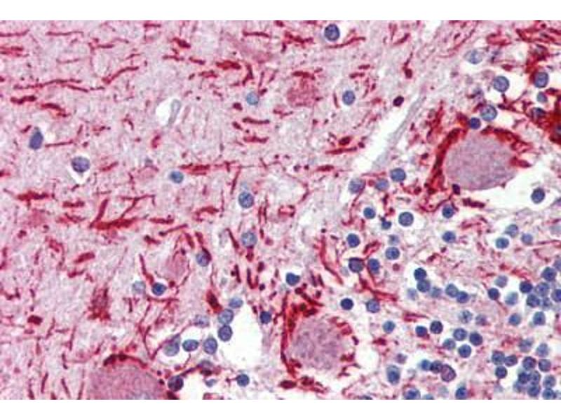
Approved: IHC, IHC-P (10 μg/mL), WB (1:50 - 1:100)
Usage: Immunohistochemistry: This antibody was validated for use in immunohistochemistry on a panel of 21 formalin-fixed, paraffin-embedded (FFPE) human tissues after heat induced antigen retrieval in pH 6.0 citrate buffer. After incubation with the primary antibody, slides were incubated with biotinylated secondary antibody, followed by alkaline phosphatase-streptavidin and chromogen. The stained slides were evaluated by a pathologist to confirm staining specificity. The optimal working concentration for this antibody was determined to be 10 μg/mL. -
Commentaires
-
Target Species of Antibody: Human
-
Restrictions
- For Research Use only
-
-
-
Format
- Liquid
-
Concentration
- Lot specific
-
Buffer
- PBS, 0.09 % sodium azide
-
Agent conservateur
- Sodium azide
-
Précaution d'utilisation
- This product contains Sodium azide: a POISONOUS AND HAZARDOUS SUBSTANCE which should be handled by trained staff only.
-
Stock
- 4 °C,-20 °C
-
Stockage commentaire
- Maintain refrigerated at 2-8°C for up to 6 months. For long term storage store at -20°C.
-
Date de péremption
- 6 months
-
-
- MEF2C (Myocyte Enhancer Factor 2C (MEF2C))
-
Autre désignation
- MEF2C
-
Sujet
-
Name/Gene ID: MEF2C
Synonyms: MEF2C, C5DELq14.3, DEL5q14.3, Myocyte enhancer factor 2C -
ID gène
- 4208
-
UniProt
- Q06413
-
Pathways
- Neurotrophin Signaling Pathway, Activation of Innate immune Response, Cellular Response to Molecule of Bacterial Origin, Carbohydrate Homeostasis, Chromatin Binding, Regulation of Muscle Cell Differentiation, Skeletal Muscle Fiber Development, Toll-Like Receptors Cascades, BCR Signaling
Antigène
-