POR anticorps
Aperçu rapide pour POR anticorps (ABIN4952222)
Antigène
Voir toutes POR AnticorpsReactivité
Hôte
Clonalité
Conjugué
Application
-
-
Purification
- Antigen affinity
-
Immunogène
- Amino acids RNMARDVQNTFYDIVAELGAMEHAQAVDYIKKLMTK of human Cytochrome P450 Oxidoreductase were used as the immunogen for the POR antibody.
-
Isotype
- IgG
-
-
-
-
Indications d'application
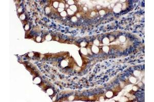
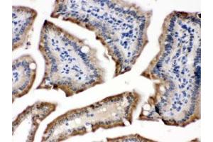
- Optimal dilution of the POR antibody should be determined by the researcher.\. Western blot: 0.1-0.5 μg/mL,IHC (Paraffin): 0.5-1 μg/mL,FACS: 1-3 μg/10^6 cells
-
Restrictions
- For Research Use only
-
-
-
Buffer
- 0.5 mg/mL if reconstituted with 0.2 mL sterile DI water
-
Stock
- -20 °C
-
Stockage commentaire
- After reconstitution, the POR antibody can be stored for up to one month at 4°C. For long-term, aliquot and store at -20°C. Avoid repeated freezing and thawing.
-
-
- POR (P450 (Cytochrome) Oxidoreductase (POR))
-
Autre désignation
- POR / CYPOR / Cytochrome P450 Oxidoreductase
-
Sujet
- POR is a membrane-bound enzyme required for electron transfer from NADPH to Cytochrome p450 in the endoplasmic reticulum of theeukaryotic cell. The gene encodes an endoplasmic reticulum membrane oxidoreductase with an FAD-binding domain and a flavodoxin-like domain. The protein binds two cofactors, FAD and FMN, which allow it to donate electrons directly from NADPH to all microsomal p450 enzymes. Mutations in this gene have been associated with various diseases, including apparent combined p450C17 and p450C21 deficiency, amenorrhea and disordered steroidogenesis, congenital adrenal hyperplasia and Antley-Bixler syndrome.
-
UniProt
- P16435
-
Pathways
- Regulation of Hormone Metabolic Process, Regulation of Hormone Biosynthetic Process, SARS-CoV-2 Protein Interactome
Antigène
-