Tel:
+49 (0)241 95 163 153
Fax:
+49 (0)241 95 163 155
E-Mail:
orders@anticorps-enligne.fr

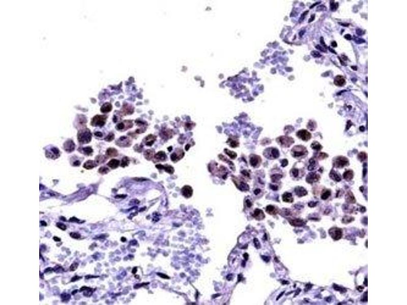
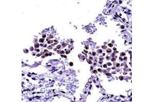
TLR8 anticorps (AA 434-463)

L’anticorps anti-TLR8 Polyclonal Lapin est utilisé pour la détection de TLR8 dans des échantillons de Humain. Il a été validé pour WB, IHC et ELISA.
N° du produit ABIN3029180
631,13 €
Plus frais de livraison 40,00 € et TVA
Destination: France
Envoi sous 6 à 9 jours ouvrables

Aperçu rapide pour TLR8 anticorps (AA 434-463) (ABIN3029180)

Antigène

Voir toutes TLR8 Anticorps
TLR8 (Toll-Like Receptor 8 (TLR8))

Reactivité

  • 80
  • 46
  • 35
  • 6
  • 5
  • 2
  • 2
  • 2
  • 2
  • 2
  • 1
  • 1
  • 1
Humain

Hôte

  • 78
  • 13
  • 2
Lapin

Clonalité

  • 80
  • 13
Polyclonal

Conjugué

  • 38
  • 9
  • 8
  • 8
  • 5
  • 5
  • 1
  • 1
  • 1
  • 1
  • 1
  • 1
  • 1
  • 1
  • 1
  • 1
  • 1
  • 1
  • 1
  • 1
  • 1
  • 1
  • 1
  • 1
  • 1
  • 1
Cet anticorp TLR8 est non-conjugé

Application

  • 67
  • 39
  • 25
  • 13
  • 13
  • 11
  • 11
  • 10
  • 8
  • 4
  • 3
  • 3
  • 1
  • 1
Western Blotting (WB), Immunohistochemistry (IHC), ELISA
  • Épitope

    • 20
    • 15
    • 9
    • 7
    • 5
    • 5
    • 3
    • 2
    • 1
    • 1
    • 1
    • 1
    • 1
    • 1
    • 1
    • 1
    • 1
    • 1
    AA 434-463

    Purification

    Antigen affinity purified

    Immunogène

    A portion of amino acids 434-463 from the human protein was used as the immunogen for this anti-TLR8 antibody.

    Isotype

    Ig Fraction
  • Indications d'application

    Titration of the anti-TLR8 antibody may be required due to differences in protocols and secondary/substrate sensitivity.\. Western blot: 1:1000,IHC (Paraffin): 1:10-1:50

    Restrictions

    For Research Use only
  • Format

    Liquid

    Buffer

    In 1X PBS pH 7.4 with 0.09 % sodium azide

    Agent conservateur

    Sodium azide

    Précaution d'utilisation

    This product contains Sodium azide: a POISONOUS AND HAZARDOUS SUBSTANCE which should be handled by trained staff only.

    Stock

    -20 °C

    Stockage commentaire

    Aliquot the anti-TLR8 antibody and store frozen at -20°C or colder. Avoid repeated freeze-thaw cycles.
  • Antigène

    TLR8 (Toll-Like Receptor 8 (TLR8))

    Autre désignation

    TLR8

    Sujet

    The protein encoded by this gene is a member of the Toll-like receptor (TLR) family which plays a fundamental role in pathogen recognition and activation of innate immunity. TLRs are highly conserved from Drosophila to humans and share structural and functional similarities. They recognize pathogen-associated molecular patterns (PAMPs) that are expressed on infectious agents, and mediate the production of cytokines necessary for the development of effective immunity. The various TLRs exhibit different patterns of expression. This gene is predominantly expressed in lung and peripheral blood leukocytes, and lies in close proximity to another family member, TLR7, on chromosome X.

    UniProt

    Q9NR97

    Pathways

    Signalisation TLR, Activation of Innate immune Response, Toll-Like Receptors Cascades
Vous êtes ici:
Chat with us!