Tel:
+49 (0)241 95 163 153
Fax:
+49 (0)241 95 163 155
E-Mail:
orders@anticorps-enligne.fr

CSF1R anticorps (AA 895-923)

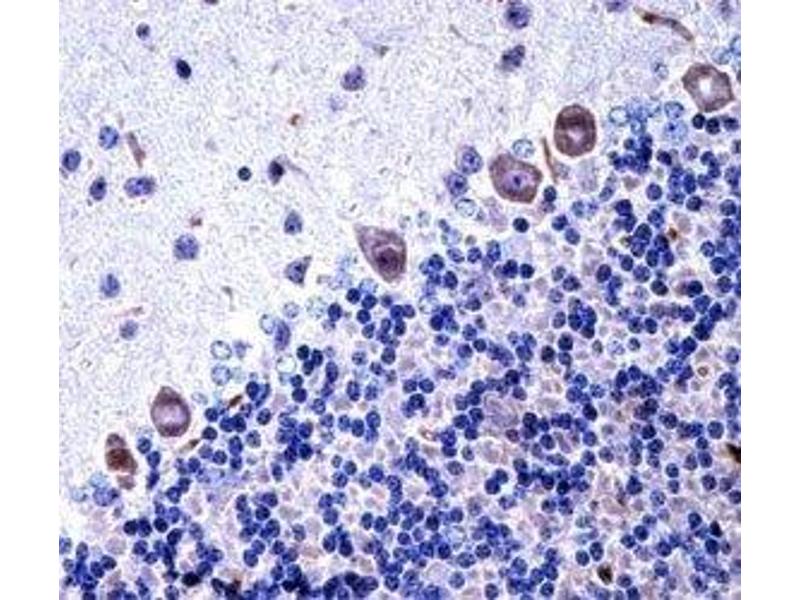
Cet anticorps anti-CSF1R Polyclonal Lapin (ABIN3028575) détecte spécifiquement CSF1R dans WB, ELISA et IHC. L’anticorps est réactif avec des échantillons de Souris et Rat.
N° du produit ABIN3028575
631,13 €
Plus frais de livraison 40,00 € et TVA
Destination: France
Envoi sous 6 à 9 jours ouvrables

Aperçu rapide pour CSF1R anticorps (AA 895-923) (ABIN3028575)

Antigène

Voir toutes CSF1R Anticorps
CSF1R (Colony Stimulating Factor 1 Receptor (CSF1R))

Reactivité

  • 219
  • 129
  • 78
  • 17
  • 8
  • 4
  • 4
  • 3
  • 3
  • 3
  • 2
  • 1
  • 1
Souris, Rat

Hôte

  • 215
  • 41
  • 24
  • 14
  • 3
  • 2
Lapin

Clonalité

  • 210
  • 84
  • 3
Polyclonal

Conjugué

  • 128
  • 28
  • 16
  • 15
  • 14
  • 11
  • 6
  • 6
  • 5
  • 5
  • 5
  • 5
  • 4
  • 4
  • 4
  • 4
  • 4
  • 4
  • 4
  • 4
  • 4
  • 4
  • 4
  • 3
  • 2
  • 1
  • 1
  • 1
  • 1
Cet anticorp CSF1R est non-conjugé

Application

  • 162
  • 108
  • 97
  • 72
  • 39
  • 26
  • 25
  • 21
  • 18
  • 9
  • 7
  • 5
  • 5
  • 3
  • 3
  • 2
  • 2
  • 1
  • 1
  • 1
  • 1
  • 1
  • 1
  • 1
  • 1
  • 1
Western Blotting (WB), ELISA, Immunohistochemistry (IHC)
Vous êtes ici:
Chat with us!