Tel:
+49 (0)241 95 163 153
Fax:
+49 (0)241 95 163 155
E-Mail:
orders@anticorps-enligne.fr

HSPD1 anticorps (AA 80-109)

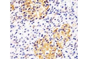
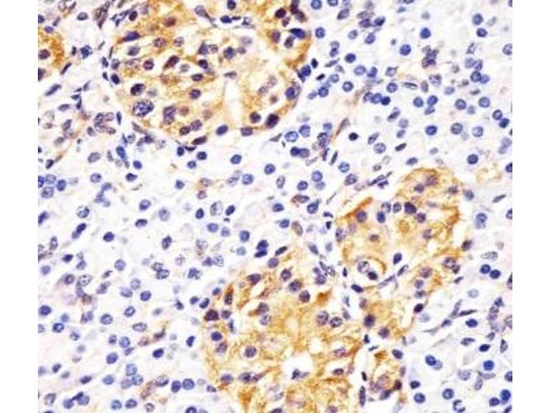
L’anticorps anti-HSPD1 Polyclonal Lapin est utilisé pour la détection de HSPD1 dans des échantillons de Humain et Souris. Il a été validé pour WB, IHC et ELISA.
N° du produit ABIN3031151
631,13 €
Plus frais de livraison 40,00 € et TVA
Destination: France
Envoi sous 6 à 9 jours ouvrables

Aperçu rapide pour HSPD1 anticorps (AA 80-109) (ABIN3031151)

Antigène

Voir toutes HSPD1 Anticorps
HSPD1 (Heat Shock 60kDa Protein 1 (Chaperonin) (HSPD1))

Reactivité

  • 267
  • 166
  • 161
  • 96
  • 94
  • 91
  • 86
  • 83
  • 83
  • 82
  • 61
  • 47
  • 46
  • 36
  • 26
  • 24
  • 22
  • 17
  • 16
  • 13
  • 12
  • 10
  • 10
  • 10
  • 10
  • 9
  • 4
  • 4
  • 4
  • 4
  • 4
  • 4
  • 3
  • 3
  • 2
  • 2
  • 2
  • 1
  • 1
  • 1
  • 1
  • 1
  • 1
  • 1
Humain, Souris

Hôte

  • 150
  • 145
  • 2
Lapin

Clonalité

  • 186
  • 109
Polyclonal

Conjugué

  • 134
  • 23
  • 10
  • 7
  • 7
  • 7
  • 7
  • 7
  • 7
  • 7
  • 7
  • 7
  • 7
  • 7
  • 6
  • 6
  • 6
  • 4
  • 4
  • 4
  • 4
  • 4
  • 4
  • 4
  • 3
  • 2
  • 2
Cet anticorp HSPD1 est non-conjugé

Application

  • 252
  • 171
  • 115
  • 107
  • 68
  • 65
  • 44
  • 36
  • 24
  • 24
  • 20
  • 11
  • 4
  • 4
  • 3
  • 3
  • 2
  • 2
  • 1
  • 1
  • 1
  • 1
  • 1
Western Blotting (WB), Immunohistochemistry (IHC), ELISA
  • Épitope

    • 15
    • 13
    • 9
    • 4
    • 4
    • 3
    • 3
    • 2
    • 2
    • 2
    • 2
    • 1
    • 1
    • 1
    • 1
    • 1
    • 1
    • 1
    • 1
    • 1
    • 1
    • 1
    • 1
    • 1
    • 1
    • 1
    • 1
    • 1
    • 1
    • 1
    • 1
    • 1
    • 1
    • 1
    • 1
    • 1
    • 1
    AA 80-109

    Purification

    Purified

    Immunogène

    A portion of amino acids 80-109 from the human protein was used as the immunogen for this HSP60 antibody.

    Isotype

    Ig Fraction
  • Indications d'application

    Titration of the HSP60 antibody may be required due to differences in protocols and secondary/substrate sensitivity.\. Western blot: 1:1000,IHC (Paraffin): 1:50-1:100

    Restrictions

    For Research Use only
  • Format

    Liquid

    Buffer

    In 1X PBS, pH 7.4, with 0.09 % sodium azide

    Agent conservateur

    Sodium azide

    Précaution d'utilisation

    This product contains Sodium azide: a POISONOUS AND HAZARDOUS SUBSTANCE which should be handled by trained staff only.

    Stock

    -20 °C

    Stockage commentaire

    Aliquot the HSP60 antibody and store frozen at -20°C or colder. Avoid repeated freeze-thaw cycles.
  • Antigène

    HSPD1 (Heat Shock 60kDa Protein 1 (Chaperonin) (HSPD1))

    Autre désignation

    HSP60

    Sujet

    Hsp60 is a member of a highly conserved family which includes molecular chaperones from several species such as plant Hsp60 (known as Rubisco binding protein), GroEL, the E.coli Hsp60 and 65 kDa major antigen of mycobacteria. In eukaryotes, Hsp60 is localized in the mitochondrial matrix and in plants Hsp60 is localized in the chloroplast. Mitochondria, chloroplasts and bacteria have a common ancestry (>1 billion years) and this fact together with the high degree of homology between the divegent Hsp60s would indicate that these proteins carry out a primitive but important function which is similar to all of these different species.The common characteristics of the Hsp60s from the divergent species are i) high abundance, ii) induction with environmental stress such as heat shock, iii) homo oligomeric structures of either 7 or 14 subunits which reversibly dissociate in the presence of magnesium ions and ATP, iv) ATPase activity and v) a role in folding and assembly of oligomeric protein structures. These similarities are supported by recent studies where the single ring human mitochondrial homolog, Hsp60 with its co chaperonin, Hsp10 were expressed in a E. coli strain, engineered so that the groE operon is under strict regulatory control. This study has demonstrated that expression of Hsp60-Hsp10 was able to carry out all essential in vivo functions of GroEL and its co chaperonin, GroES. Consistent with their functions as chaperones, Hsp60 and Hsp10 have been suggested to act as docking molecules with a passive role in the maturation of caspase processing. Data demonstrates that recombinant Hsp60 and Hsp10 have been shown to accelerate the activation of procaspase 3 by cytochrome c and dATP in an ATP dependent manner. Hsps are intracellular proteins which are thought to serve protective functions against infection and cellular stress, however several recent studies indicate that members of the Hsp60 family are linked to a number of autoimmune diseases, artherosclerosis and chlamydial disease.

    UniProt

    Q0VDF9

    Pathways

    Activation of Innate immune Response, Regulation of Leukocyte Mediated Immunity, Positive Regulation of Immune Effector Process, Production of Molecular Mediator of Immune Response, Positive Regulation of Endopeptidase Activity
Vous êtes ici:
Chat with us!