Tel:
+49 (0)241 95 163 153
Fax:
+49 (0)241 95 163 155
E-Mail:
orders@anticorps-enligne.fr

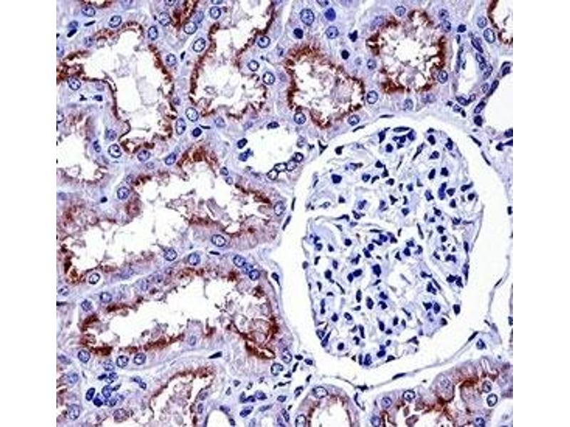
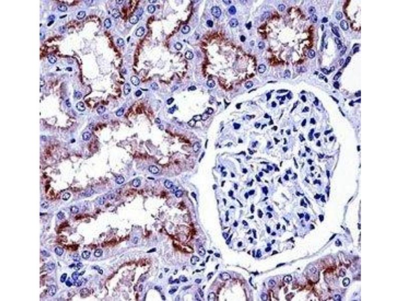
NADPH Oxidase 4 anticorps (AA 124-153)

L’anticorps anti-NADPH Oxidase 4 Polyclonal Lapin est utilisé pour la détection de NADPH Oxidase 4 dans des échantillons de Humain. Il a été validé pour WB, ELISA et IHC.
N° du produit ABIN3031934
631,13 €
Plus frais de livraison 40,00 € et TVA
Destination: France
Envoi sous 6 à 9 jours ouvrables

Aperçu rapide pour NADPH Oxidase 4 anticorps (AA 124-153) (ABIN3031934)

Antigène

Voir toutes NADPH Oxidase 4 (NOX4) Anticorps
NADPH Oxidase 4 (NOX4)

Reactivité

  • 106
  • 57
  • 53
  • 4
  • 3
  • 2
  • 2
  • 2
  • 2
  • 2
  • 1
  • 1
Humain

Hôte

  • 98
  • 15
Lapin

Clonalité

  • 78
  • 36
Polyclonal

Conjugué

  • 37
  • 11
  • 7
  • 5
  • 4
  • 3
  • 3
  • 3
  • 3
  • 3
  • 3
  • 2
  • 2
  • 2
  • 2
  • 2
  • 2
  • 2
  • 2
  • 2
  • 2
  • 2
  • 1
  • 1
  • 1
  • 1
  • 1
  • 1
  • 1
  • 1
  • 1
  • 1
Cet anticorp NADPH Oxidase 4 est non-conjugé

Application

  • 88
  • 41
  • 41
  • 33
  • 28
  • 19
  • 18
  • 14
  • 13
  • 10
  • 8
  • 4
  • 2
Western Blotting (WB), ELISA, Immunohistochemistry (IHC)
  • Épitope

    • 16
    • 16
    • 11
    • 6
    • 4
    • 3
    • 2
    • 2
    • 2
    • 2
    • 2
    • 1
    • 1
    • 1
    • 1
    • 1
    • 1
    AA 124-153

    Purification

    Antigen affinity purified

    Immunogène

    A portion of amino acids 124-153 from the human protein was used as the immunogen for this NOX4 antibody.

    Isotype

    Ig Fraction
  • Indications d'application

    Titration of the NOX4 antibody may be required due to differences in protocols and secondary/substrate sensitivity.\. Western blot: 1:1000,IHC (Paraffin): 1:10-1:50

    Restrictions

    For Research Use only
  • Format

    Liquid

    Buffer

    In 1X PBS, pH 7.4, with 0.09 % sodium azide

    Agent conservateur

    Sodium azide

    Précaution d'utilisation

    This product contains Sodium azide: a POISONOUS AND HAZARDOUS SUBSTANCE which should be handled by trained staff only.

    Stock

    -20 °C

    Stockage commentaire

    Aliquot the NOX4 antibody and store frozen at -20°C or colder. Avoid repeated freeze-thaw cycles.
  • Antigène

    NADPH Oxidase 4 (NOX4)

    Autre désignation

    NOX4

    Sujet

    This gene encodes a member of the NOX-family of enzymes that functions as the catalytic subunit the NADPH oxidase complex. The encoded protein is localized to non-phagocytic cells where it acts as an oxygen sensor and catalyzes the reduction of molecular oxygen to various reactive oxygen species (ROS). The ROS generated by this protein have been implicated in numerous biological functions including signal transduction, cell differentiation and tumor cell growth. A pseudogene has been identified on the other arm of chromosome 11. Alternative splicing results in multiple transcript variants.

    UniProt

    Q9NPH5

    Pathways

    Carbohydrate Homeostasis, Smooth Muscle Cell Migration
Vous êtes ici:
Chat with us!