Tel:
+49 (0)241 95 163 153
Fax:
+49 (0)241 95 163 155
E-Mail:
orders@anticorps-enligne.fr

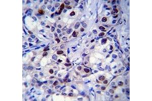
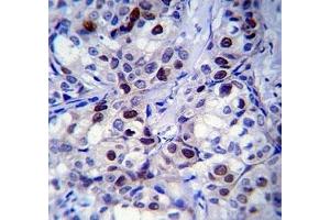
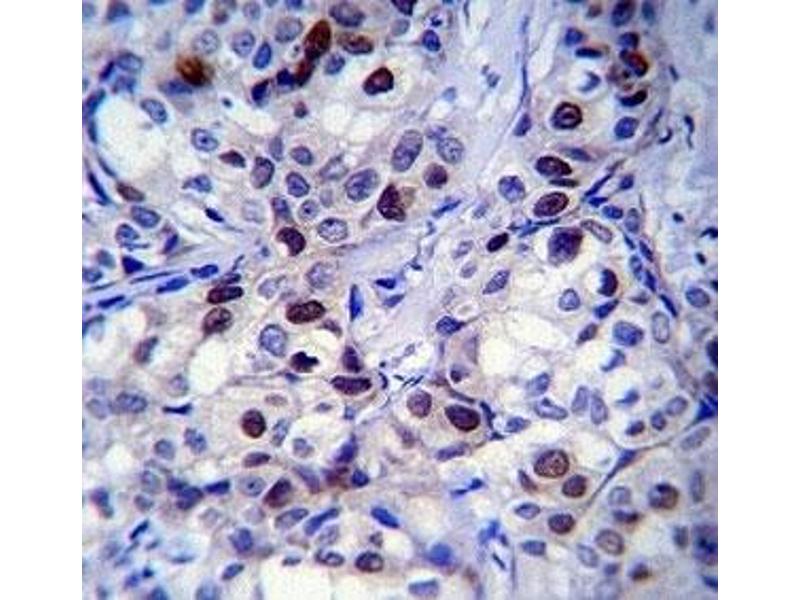
Retinoblastoma Protein (Rb) anticorps (AA 586-615)

L’anticorps anti-Retinoblastoma Protein (Rb) Polyclonal Lapin est utilisé pour la détection de Retinoblastoma Protein (Rb) dans des échantillons de Humain. Il a été validé pour WB, IHC, ELISA et IF.
N° du produit ABIN3032465
631,13 €
Plus frais de livraison 40,00 € et TVA
Destination: France
Envoi sous 6 à 9 jours ouvrables

Aperçu rapide pour Retinoblastoma Protein (Rb) anticorps (AA 586-615) (ABIN3032465)

Antigène

Voir toutes Retinoblastoma Protein (Rb) (Rb Protein) Anticorps
Retinoblastoma Protein (Rb) (Rb Protein) (Retinoblastoma Protein (Rb Protein))

Reactivité

  • 174
  • 70
  • 46
  • 8
  • 8
  • 7
  • 7
  • 5
  • 3
  • 3
  • 3
  • 2
  • 1
  • 1
  • 1
Humain

Hôte

  • 150
  • 25
Lapin

Clonalité

  • 119
  • 56
Polyclonal

Conjugué

  • 86
  • 16
  • 10
  • 9
  • 9
  • 9
  • 5
  • 5
  • 5
  • 5
  • 5
  • 5
  • 3
  • 3
Cet anticorp Retinoblastoma Protein (Rb) est non-conjugé

Application

  • 118
  • 110
  • 89
  • 41
  • 38
  • 29
  • 28
  • 15
  • 11
Western Blotting (WB), Immunohistochemistry (IHC), ELISA, Immunofluorescence (IF)
  • Épitope

    • 23
    • 17
    • 16
    • 10
    • 9
    • 9
    • 8
    • 8
    • 7
    • 7
    • 4
    • 3
    • 3
    • 2
    • 2
    • 2
    • 2
    • 2
    • 2
    • 2
    • 1
    • 1
    • 1
    • 1
    • 1
    • 1
    • 1
    • 1
    • 1
    • 1
    • 1
    • 1
    • 1
    • 1
    • 1
    • 1
    • 1
    • 1
    • 1
    • 1
    • 1
    • 1
    • 1
    • 1
    • 1
    • 1
    • 1
    • 1
    • 1
    • 1
    AA 586-615

    Purification

    Antigen affinity purified

    Immunogène

    A portion of amino acids 586-615 from the human protein was used as the immunogen for this Rb antibody.

    Isotype

    Ig Fraction
  • Indications d'application

    Titration of the Rb antibody may be required due to differences in protocols and secondary/substrate sensitivity.\. Western blot: 1:1000,Immunofluorescence: 1:10-1:50,IHC (Paraffin): 1:10-1:50

    Restrictions

    For Research Use only
  • Format

    Liquid

    Buffer

    In 1X PBS, pH 7.4, with 0.09 % sodium azide

    Agent conservateur

    Sodium azide

    Précaution d'utilisation

    This product contains Sodium azide: a POISONOUS AND HAZARDOUS SUBSTANCE which should be handled by trained staff only.

    Stock

    -20 °C

    Stockage commentaire

    Aliquot the Rb antibody and store frozen at -20°C or colder. Avoid repeated freeze-thaw cycles.
  • Antigène

    Retinoblastoma Protein (Rb) (Rb Protein) (Retinoblastoma Protein (Rb Protein))

    Autre désignation

    Rb (Retinoblastoma)

    Sujet

    The retinoblastoma protein is a tumor suppressor protein that is dysfunctional in many types of cancer. One highly studied function of pRb is to prevent excessive cell growth by inhibiting cell cycle progression until a cell is ready to divide. pRb belongs to the pocket protein family, whose members have a pocket for the functional binding of other proteins. Should an oncogenic protein, such as those produced by cells infected by high-risk types of human papillomaviruses, bind and inactivate pRb, this can lead to cancer. Retinoblastoma (Rb) is an embryonic malignant neoplasm of retinal origin. It almost always presents in early childhood and is often bilateral.

    UniProt

    P06400

    Pathways

    Mitotic G1-G1/S Phases
Vous êtes ici:
Chat with us!