Tel:
+49 (0)241 95 163 153
Fax:
+49 (0)241 95 163 155
E-Mail:
orders@anticorps-enligne.fr

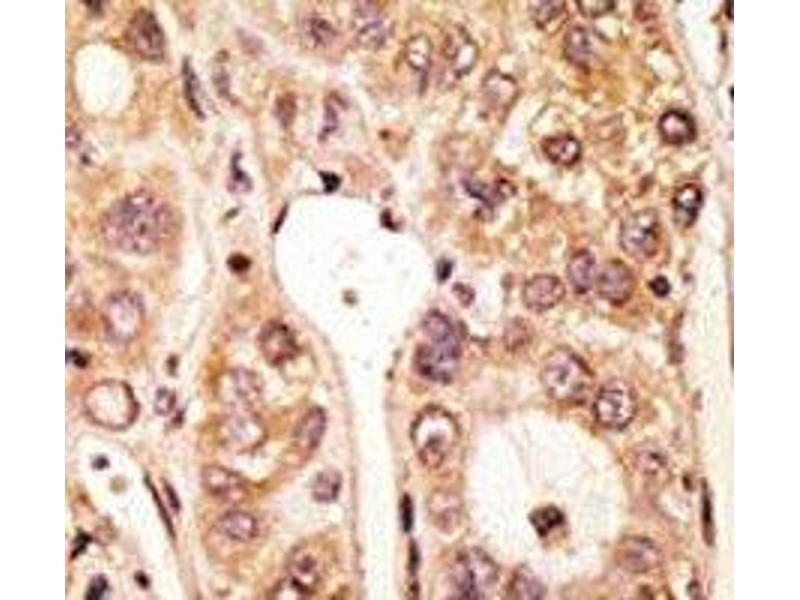
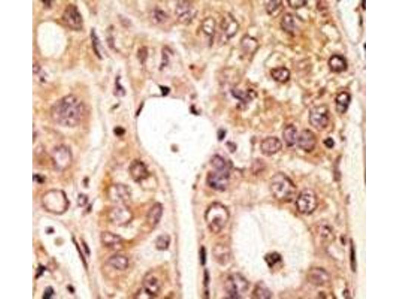
TLR5 anticorps (AA 825-856)

Cet anticorps Lapin Polyclonal détecte spécifiquement TLR5 dans WB, IHC et ELISA. Il présente une réactivité avec des échantillons de Humain et Souris.
N° du produit ABIN3029173
631,13 €
Plus frais de livraison 40,00 € et TVA
Destination: France
Envoi sous 6 à 9 jours ouvrables

Aperçu rapide pour TLR5 anticorps (AA 825-856) (ABIN3029173)

Antigène

Voir toutes TLR5 Anticorps
TLR5 (Toll-Like Receptor 5 (TLR5))

Reactivité

  • 101
  • 58
  • 29
  • 3
  • 2
  • 2
  • 2
  • 1
  • 1
Humain, Souris

Hôte

  • 91
  • 17
  • 3
Lapin

Clonalité

  • 85
  • 26
Polyclonal

Conjugué

  • 54
  • 11
  • 11
  • 5
  • 4
  • 3
  • 2
  • 2
  • 2
  • 2
  • 2
  • 2
  • 1
  • 1
  • 1
  • 1
  • 1
  • 1
  • 1
  • 1
  • 1
  • 1
  • 1
Cet anticorp TLR5 est non-conjugé

Application

  • 86
  • 42
  • 35
  • 13
  • 13
  • 10
  • 7
  • 5
  • 4
  • 2
  • 2
  • 1
Western Blotting (WB), Immunohistochemistry (IHC), ELISA
  • Épitope

    • 13
    • 8
    • 7
    • 7
    • 6
    • 6
    • 5
    • 4
    • 3
    • 3
    • 3
    • 2
    • 2
    • 2
    • 2
    • 2
    • 2
    • 1
    • 1
    • 1
    • 1
    • 1
    • 1
    • 1
    • 1
    • 1
    AA 825-856

    Purification

    Purified

    Immunogène

    A portion of amino acids 825-856 from the mouse protein was used as the immunogen for this TLR5 antibody.

    Isotype

    Ig Fraction
  • Indications d'application

    Titration of the TLR5 antibody may be required due to differences in protocols and secondary/substrate sensitivity.\. Western blot: 1:1000,IHC (Paraffin): 1:50-1:100

    Restrictions

    For Research Use only
  • Format

    Liquid

    Buffer

    In 1X PBS pH 7.4 with 0.09 % sodium azide

    Agent conservateur

    Sodium azide

    Précaution d'utilisation

    This product contains Sodium azide: a POISONOUS AND HAZARDOUS SUBSTANCE which should be handled by trained staff only.

    Stock

    -20 °C

    Stockage commentaire

    Aliquot the TLR5 antibody and store frozen at -20°C or colder. Avoid repeated freeze-thaw cycles.
  • Antigène

    TLR5 (Toll-Like Receptor 5 (TLR5))

    Autre désignation

    TLR5

    Sujet

    TLR5, a Type I membrane protein belonging to the Toll-like receptor family, participates in the innate immune response to microbial agents. It also plays a role in mediating detection of bacterial flagellins. TLR5 acts via MyD88 and TRAF6, leading to NF-kappa-B activation, cytokine secretion and the inflammatory response. This protein binds to TIRAP and MyD88 via their respective TIR domains TLR5 is highly expressed in liver, and is detected in lung and at very low levels in most other tissues. The TLR5 gene lies in a locus that is associated with susceptibility to Salmonella. Inbred strains of mice can be classified into 3 categories according to their resistance to infection with S.typhimurium: susceptible (BALB/c, C57BL/6, C3H/He), intermediate (DBA/2, C75L) and resistant (A, CBA). The strain MOLF/Ei is highly susceptible to the infection, has an unique TLR5 haplotype and a lower expression of TRL5.

    UniProt

    Q9JLF7

    Pathways

    Signalisation TLR, Activation of Innate immune Response, Cellular Response to Molecule of Bacterial Origin, Toll-Like Receptors Cascades
Vous êtes ici:
Chat with us!