UCHL3 anticorps (AA 195-225)
Aperçu rapide pour UCHL3 anticorps (AA 195-225) (ABIN3029426)
Antigène
Voir toutes UCHL3 (Uchl3) AnticorpsReactivité
Hôte
Clonalité
Conjugué
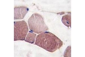
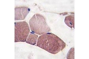
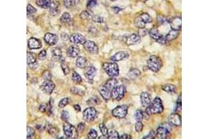
Application
-
-
Épitope
- AA 195-225
-
Réactivité croisée (Details)
- Expected species reactivity: Mouse, Rat, Bovine, Pig
-
Purification
- Purified
-
Immunogène
- A portion of amino acids 195-225 from the human protein was used as the immunogen for this UCHL3 antibody.
-
Isotype
- Ig Fraction
-
-
-
-
Indications d'application
- Titration of the UCHL3 antibody may be required due to differences in protocols and secondary/substrate sensitivity.\. Western blot: 1:1000,IHC (Paraffin): 1:10-1:50
-
Restrictions
- For Research Use only
-
-
-
Format
- Liquid
-
Buffer
- In 1X PBS, pH 7.4, with 0.09 % sodium azide
-
Agent conservateur
- Sodium azide
-
Précaution d'utilisation
- This product contains Sodium azide: a POISONOUS AND HAZARDOUS SUBSTANCE which should be handled by trained staff only.
-
Stock
- -20 °C
-
Stockage commentaire
- Aliquot the UCHL3 antibody and store frozen at -20°C or colder. Avoid repeated freeze-thaw cycles.
-
-
- UCHL3 (Uchl3) (Ubiquitin Carboxyl-terminal Esterase L3 (Ubiquitin Thiolesterase) (Uchl3))
-
Autre désignation
- UCHL3
-
Sujet
- Covalent attachment of the C-terminus of ubiquitin to cellular proteins plays a role in a variety of cellular processes. Ubiquitin C-terminal hydrolysis is catalyzed by deubiquitinating (DUB) enzymes and is necessary for several functions, including liberation of monomeric ubiquitin from the precursors encoded by ubiquitin genes and recycling of ubiquitin monomers. There are 2 distinct families of DUBs, ubiquitin-specific proteases (UBPs) and ubiquitin C-terminal hydrolases (UCHs). Mayer and Wilkinson (1989) identified 4 distinct UCH activities from bovine thymus. All 4 were thiol proteases and had high-affinity binding sites for ubiquitin. Wilkinson et al. (1989) purified the predominant isozyme, UCHL3, and raised antibodies against it. By screening a human B-cell expression library with the antibodies, the authors isolated cDNAs encoding human UCHL3. Sequence comparisons revealed that the sequence of the predicted 230-amino acid human UCHL3 protein is 54 % identical to that of UCHL1.
-
UniProt
- P15374
-
Pathways
- Feeding Behaviour, Positive Regulation of fat Cell Differentiation
Antigène
-