Tel:
+49 (0)241 95 163 153
Fax:
+49 (0)241 95 163 155
E-Mail:
orders@anticorps-enligne.fr

Alpha-amylase 1 anticorps (AA 20-50)

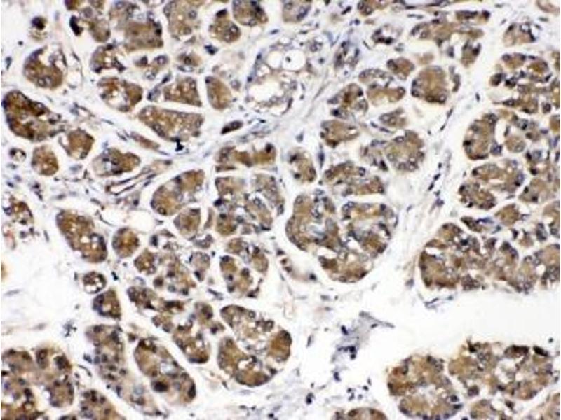
L’anticorps anti-Alpha-amylase 1 Polyclonal Lapin est utilisé pour la détection de Alpha-amylase 1 dans des échantillons de Humain, Souris et Rat. Il a été validé pour WB et IHC (p).
N° du produit ABIN5647969
644,88 €
Plus frais de livraison 40,00 € et TVA
100 μg
Destination: France
Envoi sous 6 à 9 jours ouvrables

Aperçu rapide pour Alpha-amylase 1 anticorps (AA 20-50) (ABIN5647969)

Antigène

Voir toutes Alpha-amylase 1 (AMY1) Anticorps
Alpha-amylase 1 (AMY1) (Amylase 1, Salivary (AMY1))

Reactivité

  • 9
  • 6
  • 2
  • 1
Humain, Souris, Rat

Hôte

  • 9
  • 1
  • 1
Lapin

Clonalité

  • 10
  • 1
Polyclonal

Conjugué

  • 7
  • 2
  • 2
Cet anticorp Alpha-amylase 1 est non-conjugé

Application

  • 8
  • 7
  • 5
  • 2
  • 2
  • 2
  • 1
  • 1
  • 1
  • 1
Western Blotting (WB), Immunohistochemistry (Paraffin-embedded Sections) (IHC (p))
  • Épitope

    • 1
    • 1
    • 1
    • 1
    • 1
    AA 20-50

    Purification

    Antigen affinity purified

    Immunogène

    Amino acids 20-50 (NTQQGRTSIVHLFEWRWVDIALECERYLAPK) from the human protein were used as the immunogen for the Alpha Amylase antibody.

    Isotype

    IgG
  • Indications d'application

    Optimal dilution of the Alpha Amylase antibody should be determined by the researcher.\. WB: 0.5-1 μg/mL,IHC (FFPE): 1-2 μg/mL

    Restrictions

    For Research Use only
  • Buffer

    0.5 mg/mL if reconstituted with 0.2 mL sterile DI water

    Stock

    -20 °C

    Stockage commentaire

    After reconstitution, the Alpha Amylase antibody can be stored for up to one month at 4°C. For long-term, aliquot and store at -20°C. Avoid repeated freezing and thawing.
  • Antigène

    Alpha-amylase 1 (AMY1) (Amylase 1, Salivary (AMY1))

    Autre désignation

    Alpha Amylase 1

    Sujet

    Amylase is an enzyme that catalyses the breakdown of starch into sugars. Amylase is present in human saliva, where it begins the chemical process of digestion. By in situ hybridization combined with high resolution cytogenetics, the amylase gene is mapped to 1p21. Amylase enzymes find use in bread making and to break down complex sugars such as starch (found in flour) into simple sugars. Yeast then feeds on these simple sugars and converts it into the waste products of alcohol and CO2.

    UniProt

    P04745
Vous êtes ici:
Chat with us!