Tel:
+49 (0)241 95 163 153
Fax:
+49 (0)241 95 163 155
E-Mail:
orders@anticorps-enligne.fr

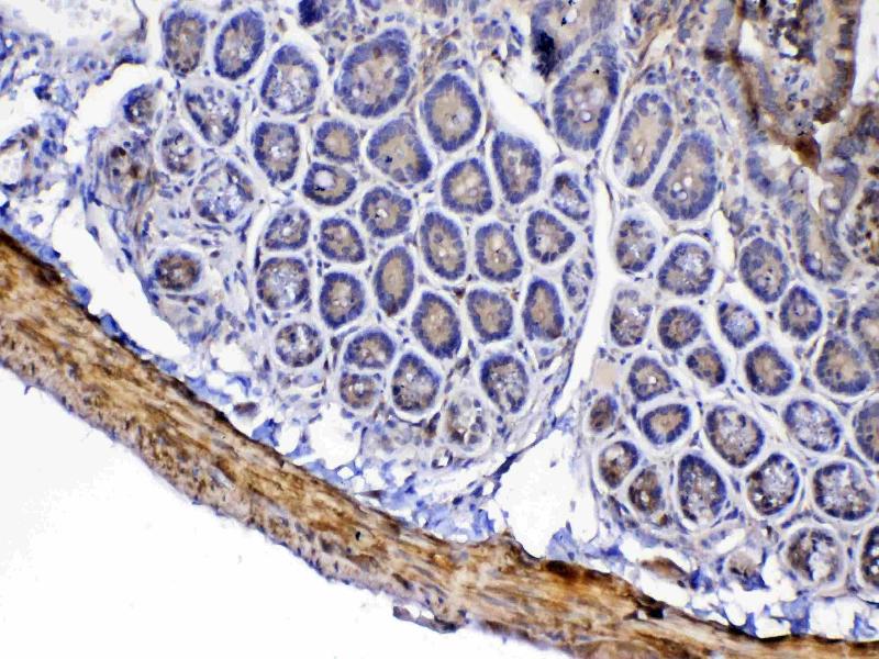
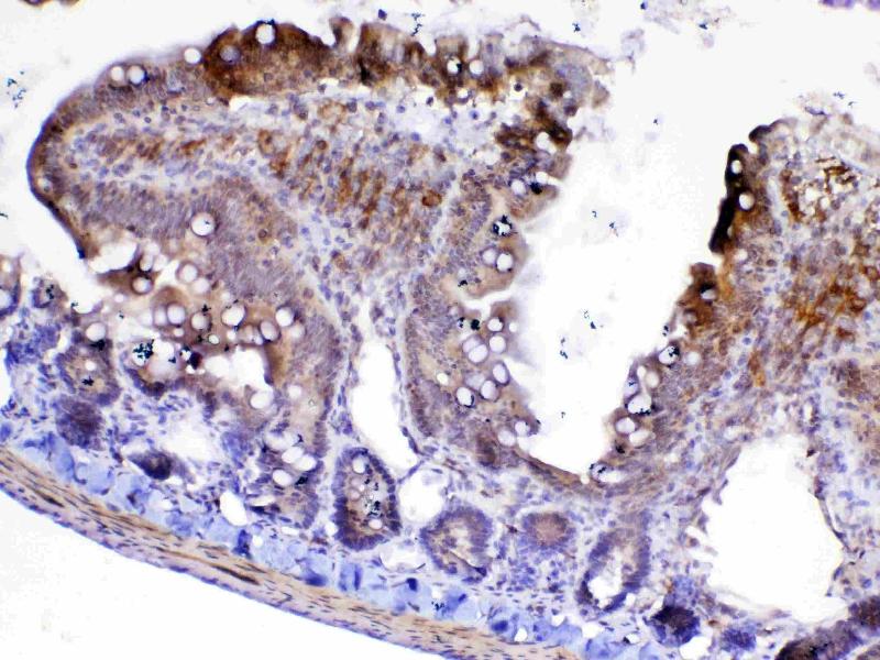
Adipsin anticorps (AA 26-253)

L’anticorps anti-Adipsin Polyclonal Lapin est utilisé pour la détection de Adipsin dans des échantillons de Humain, Souris et Rat. Il a été validé pour WB, IHC et ELISA.
N° du produit ABIN5692792
500,50 €
Plus frais de livraison 40,00 € et TVA
100 μg
Destination: France
Envoi sous 8 à 12 jours ouvrables

Aperçu rapide pour Adipsin anticorps (AA 26-253) (ABIN5692792)

Antigène

Voir toutes Adipsin (CFD) Anticorps
Adipsin (CFD) (Complement Factor D (CFD))

Reactivité

  • 65
  • 32
  • 7
  • 3
  • 2
  • 1
  • 1
  • 1
Humain, Souris, Rat

Hôte

  • 67
  • 10
  • 5
  • 2
  • 1
Lapin

Clonalité

  • 73
  • 12
Polyclonal

Conjugué

  • 45
  • 8
  • 7
  • 4
  • 4
  • 3
  • 2
  • 1
  • 1
  • 1
  • 1
  • 1
  • 1
  • 1
  • 1
  • 1
  • 1
  • 1
  • 1
Cet anticorp Adipsin est non-conjugé

Application

  • 66
  • 31
  • 26
  • 17
  • 13
  • 13
  • 13
  • 11
  • 10
  • 7
  • 6
  • 6
  • 3
  • 2
  • 1
  • 1
  • 1
  • 1
  • 1
Western Blotting (WB), Immunohistochemistry (IHC), ELISA
  • Épitope

    • 15
    • 10
    • 8
    • 7
    • 6
    • 3
    • 3
    • 3
    • 2
    • 2
    • 1
    • 1
    • 1
    • 1
    • 1
    • 1
    • 1
    • 1
    AA 26-253

    Fonction

    Anti-Factor D/CFD Antibody

    Réactivité croisée (Details)

    No cross-reactivity with other proteins.

    Attributs du produit

    Anti-Factor D/CFD Antibody (ABIN5692792). Tested in ELISA, IHC, WB applications. This antibody reacts with Human, Mouse, Rat. This is a premium antibody that guarantees superior quality, high affinity, and strong signals with minimal background in Western blot applications.

    Immunogène

    E. coli-derived human Factor D recombinant protein (Position: I26-A253).

    Isotype

    IgG
  • Indications d'application

    Western blot, 0.1-0.5 μg/mL
    Immunohistochemistry (Paraffin-embedded Section), 2-5 μg/mL
    ELISA, 0.1-0.5 μg/mL

    Restrictions

    For Research Use only
  • Format

    Lyophilized

    Reconstitution

    Add 0.2 mL of distilled water will yield a concentration of 500 μg/mL.

    Concentration

    500 μg/mL

    Buffer

    Each vial contains 4 mg Trehalose, 0.9 mg NaCl and 0.2 mg Na2HPO4.

    Stock

    4 °C,-20 °C

    Stockage commentaire

    Store at -20°C for one year from date of receipt. After reconstitution, at 4°C for one month.
    It can also be aliquotted and stored frozen at -20°C for six months. Avoid repeated freeze-thaw cycles.
  • Antigène

    Adipsin (CFD) (Complement Factor D (CFD))

    Autre désignation

    CFD

    Sujet

    Synonyms: Complement factor D, Adipsin, C3 convertase activator, Properdin factor D, CFD, DF, PFD

    Background: Factor D is a protein which in humans is encoded by the CFD gene. The protein encoded by this gene is a member of the trypsin family of peptidases. The encoded protein is a component of the alternative complement pathway best known for its role in humoral suppression of infectious agents. It is also a serine protease that is secreted by adipocytes into the bloodstream. And it stimulates glucose transport for triglyceride accumulation in fats cells and inhibits lipolysis. Finally, the encoded protein has a high level of expression in fat, suggesting a role for adipose tissue in immune system biology.

    Poids moléculaire

    45 kDa

    ID gène

    1675

    UniProt

    P00746

    Pathways

    Système du Complément
Vous êtes ici:
Chat with us!