Tel:
+49 (0)241 95 163 153
Fax:
+49 (0)241 95 163 155
E-Mail:
orders@anticorps-enligne.fr

PPID anticorps (AA 306-370)

Cet anticorps Lapin Polyclonal détecte spécifiquement PPID dans WB, IHC, ELISA, IF, FACS et ICC. Il présente une réactivité avec des échantillons de Humain, Souris et Rat.
N° du produit ABIN5693052
500,50 €
Plus frais de livraison 40,00 € et TVA
100 μg
Destination: France
Envoi sous 8 à 12 jours ouvrables

Aperçu rapide pour PPID anticorps (AA 306-370) (ABIN5693052)

Antigène

Voir toutes PPID Anticorps
PPID (Peptidylprolyl Isomerase D (PPID))

Reactivité

  • 61
  • 33
  • 29
  • 5
  • 4
  • 4
  • 4
  • 4
  • 4
  • 3
  • 3
  • 2
  • 1
  • 1
  • 1
Humain, Souris, Rat

Hôte

  • 54
  • 8
  • 1
Lapin

Clonalité

  • 44
  • 19
Polyclonal

Conjugué

  • 50
  • 1
  • 1
  • 1
  • 1
  • 1
  • 1
  • 1
  • 1
  • 1
  • 1
  • 1
  • 1
  • 1
Cet anticorp PPID est non-conjugé

Application

  • 53
  • 31
  • 25
  • 23
  • 19
  • 15
  • 10
  • 5
  • 2
  • 1
  • 1
Western Blotting (WB), Immunohistochemistry (IHC), ELISA, Immunofluorescence (IF), Flow Cytometry (FACS), Immunocytochemistry (ICC)
  • Épitope

    • 13
    • 4
    • 4
    • 3
    • 2
    • 2
    • 2
    • 1
    • 1
    • 1
    • 1
    • 1
    • 1
    • 1
    • 1
    • 1
    • 1
    • 1
    • 1
    AA 306-370

    Fonction

    Anti-PPID Antibody

    Réactivité croisée (Details)

    No cross-reactivity with other proteins.

    Attributs du produit

    Anti-PPID Antibody (ABIN5693052). Tested in ELISA, Flow Cytometry, IF, IHC, ICC, WB applications. This antibody reacts with Human, Mouse, Rat. This is a premium antibody that guarantees superior quality, high affinity, and strong signals with minimal background in Western blot applications.

    Purification

    Immunogen affinity purified.

    Immunogène

    E. coli-derived human PPID recombinant protein (Position: N306-A370).

    Isotype

    IgG
  • Indications d'application

    Western blot, 0.1-0.5 μg/mL
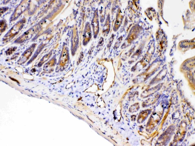
    Immunohistochemistry (Paraffin-embedded Section), 0.5-1 μg/mL
    Immunocytochemistry/Immunofluorescence, 5 μg/mL
    Flow Cytometry (Fixed), 1-3 μg/1x106 cells
    ELISA, 0.1-0.5 μg/mL

    Restrictions

    For Research Use only
  • Format

    Lyophilized

    Reconstitution

    Add 0.2 mL of distilled water will yield a concentration of 500 μg/mL.

    Concentration

    500 μg/mL

    Buffer

    Each vial contains 4 mg Trehalose, 0.9 mg NaCl, 0.2 mg Na2HPO4, 0.05 mg NaN3.

    Agent conservateur

    Sodium azide

    Précaution d'utilisation

    This product contains Sodium azide: a POISONOUS AND HAZARDOUS SUBSTANCE which should be handled by trained staff only.

    Stock

    4 °C,-20 °C

    Stockage commentaire

    Store at -20°C for one year from date of receipt. After reconstitution, at 4°C for one month.
    It can also be aliquotted and stored frozen at -20°C for six months. Avoid repeated freeze-thaw cycles.
  • Antigène

    PPID (Peptidylprolyl Isomerase D (PPID))

    Autre désignation

    PPID

    Sujet

    Synonyms: Peptidyl-prolyl cis-trans isomerase D, PPIase D

    Tissue Specificity: Widely expressed.

    Background: Cyclophilin D, Peptidylprolyl isomerase D, also known as PPID, is an enzyme which in humans is encoded by the PPID gene. The protein encoded by this gene is a member of the peptidyl-prolyl cis-trans isomerase (PPIase) family. The Cyclophilin D (PPID) gene contains 10 exons and spans 14.2 kb of genomic DNA. By fluorescence in situ hybridization, the PPID gene is mapped to chromosome 4q31.3. PPIases catalyze the cis-trans isomerization of proline imidic peptide bonds in oligopeptides and accelerate the folding of proteins. This protein has been shown to possess PPIase activity and, similar to other family members, can bind to the immunosuppressant ciclosporin.

    Poids moléculaire

    38 kDa

    ID gène

    5481

    UniProt

    Q08752

    Pathways

    Nuclear Hormone Receptor Binding
Vous êtes ici:
Chat with us!