Tel:
+49 (0)241 95 163 153
Fax:
+49 (0)241 95 163 155
E-Mail:
orders@anticorps-enligne.fr

PPID anticorps (AA 336-370)

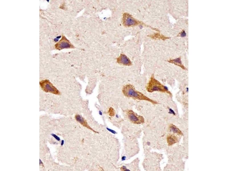
Cet anticorps anti-PPID Polyclonal Lapin (Clone RB55961) (ABIN6243007) détecte spécifiquement PPID dans WB, IF, FACS et IHC (p). L’anticorps est réactif avec des échantillons de Humain.
N° du produit ABIN6243007
434,77 €
Plus frais de livraison 40,00 € et TVA
Destination: France
Envoi sous 14 à 17 jours ouvrables

Aperçu rapide pour PPID anticorps (AA 336-370) (ABIN6243007)

Antigène

Voir toutes PPID Anticorps
PPID (Peptidylprolyl Isomerase D (PPID))

Reactivité

  • 61
  • 34
  • 30
  • 5
  • 4
  • 4
  • 4
  • 4
  • 4
  • 3
  • 3
  • 2
  • 1
  • 1
  • 1
Humain

Hôte

  • 54
  • 8
  • 1
Lapin

Clonalité

  • 44
  • 19
Polyclonal

Conjugué

  • 50
  • 1
  • 1
  • 1
  • 1
  • 1
  • 1
  • 1
  • 1
  • 1
  • 1
  • 1
  • 1
  • 1
Cet anticorp PPID est non-conjugé

Application

  • 53
  • 31
  • 24
  • 23
  • 20
  • 16
  • 10
  • 5
  • 2
  • 1
  • 1
Western Blotting (WB), Immunofluorescence (IF), Flow Cytometry (FACS), Immunohistochemistry (Paraffin-embedded Sections) (IHC (p))

Clone

RB55961
  • Épitope

    • 13
    • 4
    • 4
    • 3
    • 2
    • 2
    • 2
    • 2
    • 1
    • 1
    • 1
    • 1
    • 1
    • 1
    • 1
    • 1
    • 1
    • 1
    AA 336-370

    Homologie

    M, Rat

    Purification

    This antibody is purified through a protein A column, followed by peptide affinity purification.

    Immunogène

    This Cyclophilin D antibody is generated from a rabbit immunized with a KLH conjugated synthetic peptide between 336-370 amino acids from the human region of human Cyclophilin D.

    Isotype

    Ig Fraction
  • Indications d'application

    IF: 1:25. WB: 1:2000. IHC-P: 1:25. FC: 1:25. FC: 1:25

    Restrictions

    For Research Use only
  • Format

    Liquid

    Buffer

    Purified polyclonal antibody supplied in PBS with 0.09 % (W/V) sodium azide.

    Agent conservateur

    Sodium azide

    Précaution d'utilisation

    This product contains Sodium azide: a POISONOUS AND HAZARDOUS SUBSTANCE which should be handled by trained staff only.

    Stock

    4 °C,-20 °C

    Date de péremption

    6 months
  • Antigène

    PPID (Peptidylprolyl Isomerase D (PPID))

    Autre désignation

    Cyclophilin D

    Sujet

    PPIases accelerate the folding of proteins. It catalyzes the cis-trans isomerization of proline imidic peptide bonds in oligopeptides. Proposed to act as a co-chaperone in HSP90 complexes such as in unligated steroid receptors heterocomplexes. Different co-chaperones seem to compete for association with HSP90 thus establishing distinct HSP90-co-chaperone-receptor complexes with the potential to exert tissue-specific receptor activity control. May have a preference for estrogen receptor complexes and is not found in glucocorticoid receptor complexes. May be involved in cytoplasmic dynein-dependent movement of the receptor from the cytoplasm to the nucleus. May regulate MYB by inhibiting its DNA- binding activity. Involved in regulation of AHR signaling by promoting the formation of the AHR:ARNT dimer, the function is independent of HSP90 but requires the chaperone activity. Involved in regulation of UV radiation-induced apoptosis. Promotes cell viability in anaplastic lymphoma kinase-positive anaplastic large- cell lymphoma (ALK+ ALCL) cell lines. May be involved in hepatitis C virus (HCV) replication and release.

    Poids moléculaire

    40764

    UniProt

    Q08752

    Pathways

    Nuclear Hormone Receptor Binding
Vous êtes ici:
Chat with us!