Tel:
+49 (0)241 95 163 153
Fax:
+49 (0)241 95 163 155
E-Mail:
orders@anticorps-enligne.fr

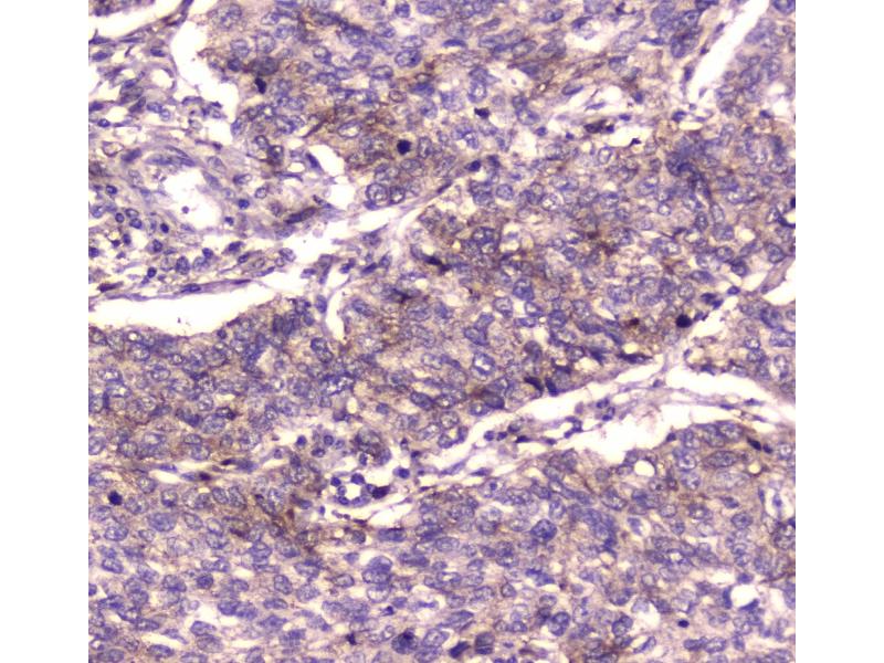
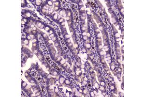
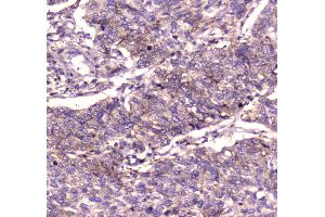
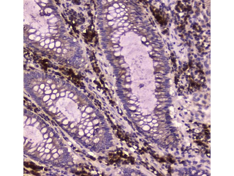
IGF2R anticorps (AA 424-529)

Cet anticorps Lapin Polyclonal détecte spécifiquement IGF2R dans WB, IHC, ELISA, FACS, IF et ICC. Il présente une réactivité avec des échantillons de Humain, Souris et Rat.Il a été cité dans 1 publication.
N° du produit ABIN5693085
500,50 €
Plus frais de livraison 40,00 € et TVA
100 μg
Destination: France
Envoi sous 8 à 12 jours ouvrables

Aperçu rapide pour IGF2R anticorps (AA 424-529) (ABIN5693085)

Antigène

Voir toutes IGF2R Anticorps
IGF2R (Insulin-Like Growth Factor 2 Receptor (IGF2R))

Reactivité

  • 90
  • 34
  • 12
  • 8
  • 5
  • 3
  • 2
  • 1
  • 1
Humain, Souris, Rat

Hôte

  • 64
  • 36
Lapin

Clonalité

  • 59
  • 41
Polyclonal

Conjugué

  • 55
  • 7
  • 7
  • 5
  • 5
  • 2
  • 2
  • 1
  • 1
  • 1
  • 1
  • 1
  • 1
  • 1
  • 1
  • 1
  • 1
  • 1
  • 1
  • 1
  • 1
  • 1
  • 1
  • 1
Cet anticorp IGF2R est non-conjugé

Application

  • 43
  • 38
  • 26
  • 26
  • 14
  • 13
  • 13
  • 12
  • 11
  • 10
  • 3
  • 2
  • 1
  • 1
Western Blotting (WB), Immunohistochemistry (IHC), ELISA, Flow Cytometry (FACS), Immunofluorescence (IF), Immunocytochemistry (ICC)
  • Épitope

    • 16
    • 13
    • 7
    • 4
    • 2
    • 2
    • 2
    • 2
    • 1
    • 1
    • 1
    • 1
    • 1
    • 1
    • 1
    • 1
    • 1
    • 1
    • 1
    • 1
    • 1
    • 1
    • 1
    AA 424-529

    Fonction

    Anti-Mannose 6 Phosphate Receptor (Cation independent)/IGF2R Antibody

    Réactivité croisée (Details)

    No cross-reactivity with other proteins.

    Attributs du produit

    Anti-Mannose 6 Phosphate Receptor (Cation independent)/IGF2R Antibody (ABIN5693085). Tested in ELISA, Flow Cytometry, IF, IHC, ICC, WB applications. This antibody reacts with Human, Mouse, Rat. This is a premium antibody that guarantees superior quality, high affinity, and strong signals with minimal background in Western blot applications.

    Purification

    Immunogen affinity purified.

    Immunogène

    E. coli-derived human IGF2R recombinant protein (Position: F424-R529).

    Isotype

    IgG
  • Indications d'application

    Western blot, 0.1-0.5 μg/mL
    Immunohistochemistry (Paraffin-embedded Section), 2-5 μg/mL
    Immunocytochemistry/Immunofluorescence, 5 μg/mL
    Flow Cytometry(Fixed), 1-3 μg/1x106 cells
    ELISA, 0.1-0.5 μg/mL

    Restrictions

    For Research Use only
  • Format

    Lyophilized

    Reconstitution

    Add 0.2 mL of distilled water will yield a concentration of 500 μg/mL.

    Concentration

    500 μg/mL

    Buffer

    Each vial contains 4 mg Trehalose, 0.9 mg NaCl and 0.2 mg Na2HPO4.

    Stock

    4 °C,-20 °C

    Stockage commentaire

    Store at -20°C for one year from date of receipt. After reconstitution, at 4°C for one month.
    It can also be aliquotted and stored frozen at -20°C for six months. Avoid repeated freeze-thaw cycles.
  • Liang, Hao, Zhang, Wu, Wang: "Insulin-like growth factors in endometrioid adenocarcinoma: correlation with clinico-pathological features and estrogen receptor expression." dans: BMC cancer, Vol. 12, pp. 262, (2013) (PubMed).

  • Antigène

    IGF2R (Insulin-Like Growth Factor 2 Receptor (IGF2R))

    Autre désignation

    IGF2R

    Sujet

    Synonyms: Cation-independent mannose-6-phosphate receptor, CI Man-6-P receptor, CI-MPR, M6PR, 300 kDa mannose 6-phosphate receptor, MPR 300, Insulin-like growth factor 2 receptor, Insulin-like growth factor II receptor, IGF-II receptor, M6P/IGF2 receptor, M6P/IGF2R, CD222, IGF2R, MPRI

    Tissue Specificity: Liver.

    Background: Insulin-like growth factor 2 receptor, also called IGF2R or I-MPR is a protein that in humans is encoded by the IGF2R gene. This gene is mapped to 6q25.3. This gene encodes a receptor for both insulin-like growth factor 2 and mannose 6-phosphate, although the binding sites for either are located on different segments of the receptor. This receptor functions in the intracellular trafficking of lysosomal enzymes, the activation of transforming growth factor beta, and the degradation of insulin-like growth factor 2. While the related mouse gene shows exclusive expression from the maternal allele, imprinting of the human gene appears to be polymorphic, with only a minority of individuals showing expression from the maternal allele.

    Poids moléculaire

    274 kDa

    ID gène

    3482

    UniProt

    P11717
Vous êtes ici:
Chat with us!