Tel:
+49 (0)241 95 163 153
Fax:
+49 (0)241 95 163 155
E-Mail:
orders@anticorps-enligne.fr

TXK anticorps (C-Term)

Cet anticorps anti-TXK Polyclonal Chèvre (ABIN570663) détecte spécifiquement TXK dans ELISA, WB et IHC. L’anticorps est réactif avec des échantillons de Humain.
N° du produit ABIN570663
488,25 €
Plus frais de livraison 40,00 € et TVA
100 μg
Destination: France
Envoi sous 5 à 8 jours ouvrables

Aperçu rapide pour TXK anticorps (C-Term) (ABIN570663)

Antigène

Voir toutes TXK Anticorps
TXK (TXK tyrosine Kinase (TXK))

Reactivité

  • 20
  • 3
  • 2
Humain

Hôte

  • 18
  • 3
Chèvre

Clonalité

  • 18
  • 3
Polyclonal

Conjugué

  • 12
  • 3
  • 2
  • 2
  • 1
  • 1
Cet anticorp TXK est non-conjugé

Application

  • 15
  • 15
  • 11
  • 3
  • 3
  • 2
  • 1
  • 1
  • 1
ELISA, Western Blotting (WB), Immunohistochemistry (IHC)

Classe de qualité

Verified
  • Épitope

    • 7
    • 6
    • 3
    • 2
    • 1
    • 1
    • 1
    C-Term

    Fonction

    TXK

    Séquence

    ELLRAVTEIA ETW

     Réactivité croisée

    Boeuf (Vache), Chien, Humain, Souris, Porc

    Purification

    Purified from goat serum by ammonium sulphate precipitation followed by antigen affinity chromatography using the immunizing peptide.

    Immunogène

    Peptide with sequence C-ELLRAVTEIAETW, from the C Terminus of the protein sequence according to NP_003319.2.

    Isotype

    IgG
  • Indications d'application

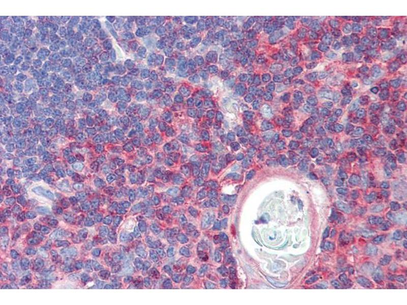
    Immunohistochemistry: Paraffin embedded Human Thymus and Placenta. Recommended concentration: 5 μg/mL.

    Western Blot: Approx 60 kDa band observed in Human Tonsil and Thymus and Spleen lysates (calculated MW of 61.3 kDa according to NP_003319.2). Recommended concentration: 0.3-1 μg/mL.

    Peptide ELISA: antibody detection limit dilution 1:64000.

    Restrictions

    For Research Use only
  • Format

    Liquid

    Concentration

    0.5 mg/mL

    Buffer

    Supplied at 0.5 mg/mL in Tris saline, 0.02 % sodium azide, pH 7.3 with 0.5 % bovine serum albumin.

    Agent conservateur

    Sodium azide

    Précaution d'utilisation

    This product contains Sodium azide: a POISONOUS AND HAZARDOUS SUBSTANCE which should be handled by trained staff only.

    Conseil sur la manipulation

    Minimize freezing and thawing.

    Stock

    -20 °C

    Stockage commentaire

    Aliquot and store at -20°C, with minimal freeze/thawing. A working aliquot may be refrigerated at 4°C for a few weeks and still remain viable.
  • Antigène

    TXK (TXK tyrosine Kinase (TXK))

    Autre désignation

    TXK

    Sujet

    TXK, TXK tyrosine kinase, RLK, TKL, BTKL, PSCTK5, PTK4, PTK4 protein tyrosine kinase 4, tyrosine kinase, MGC22473

    ID gène

    7294

    NCBI Accession

    NP_003319

    Pathways

    Regulation of Leukocyte Mediated Immunity, Hepatitis C
Vous êtes ici:
Chat with us!