Tel:
+49 (0)241 95 163 153
Fax:
+49 (0)241 95 163 155
E-Mail:
orders@anticorps-enligne.fr

STAP2 anticorps (AA 391-403)

L’anticorps anti-STAP2 Polyclonal Chèvre est utilisé pour la détection de STAP2 dans des échantillons de Humain. Il a été validé pour WB, ELISA et IHC.
N° du produit ABIN570902
488,25 €
Plus frais de livraison 40,00 € et TVA
100 μg
Destination: France
Envoi sous 5 à 8 jours ouvrables

Aperçu rapide pour STAP2 anticorps (AA 391-403) (ABIN570902)

Antigène

Voir toutes STAP2 Anticorps
STAP2 (Signal Transducing Adaptor Family Member 2 (STAP2))

Reactivité

  • 34
  • 3
  • 1
Humain

Hôte

  • 32
  • 2
  • 1
Chèvre

Clonalité

  • 34
  • 1
Polyclonal

Conjugué

  • 16
  • 2
  • 2
  • 2
  • 1
  • 1
  • 1
  • 1
  • 1
  • 1
  • 1
  • 1
  • 1
  • 1
  • 1
  • 1
  • 1
Cet anticorp STAP2 est non-conjugé

Application

  • 35
  • 16
  • 13
  • 13
  • 10
  • 6
  • 3
  • 3
  • 2
  • 1
  • 1
Western Blotting (WB), ELISA, Immunohistochemistry (IHC)

Classe de qualité

Verified
  • Épitope

    • 15
    • 7
    • 4
    • 2
    • 2
    • 1
    • 1
    • 1
    • 1
    • 1
    • 1
    • 1
    AA 391-403

    Fonction

    STAP2 / BKS (aa391-403)

    Séquence

    LQKKLEKRRA LEH

    Specificité

    This antibody is expected to recognize isoform 1 (NP_060190.2) and isoform 2 (NP_001013863.1).

     Réactivité croisée

    Humain

    Purification

    Purified from goat serum by ammonium sulphate precipitation followed by antigen affinity chromatography using the immunizing peptide.

    Immunogène

    Peptide with sequence C-LQKKLEKRRALEH, from the C Terminus of the protein sequence according to NP_060190.2, NP_001013863.1.

    Isotype

    IgG
  • Indications d'application

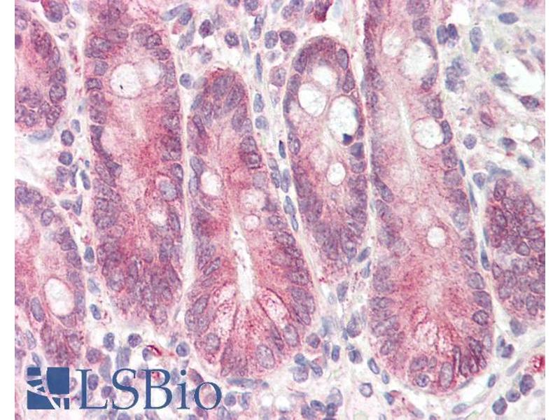
    Immunohistochemistry: Paraffin embedded Human Small Intestine. Recommended concentration: 3.75 μg/mL.

    Western Blot: Approx 49 kDa band observed in Human Breast lysates (calculated MW of 49.6 kDa according to NP_060190.2). Recommended concentration: 0.3-1 μg/mL.

    Peptide ELISA: antibody detection limit dilution 1:128000.

    Restrictions

    For Research Use only
  • Format

    Liquid

    Concentration

    0.5 mg/mL

    Buffer

    Supplied at 0.5 mg/mL in Tris saline, 0.02 % sodium azide, pH 7.3 with 0.5 % bovine serum albumin.

    Agent conservateur

    Sodium azide

    Précaution d'utilisation

    This product contains Sodium azide: a POISONOUS AND HAZARDOUS SUBSTANCE which should be handled by trained staff only.

    Conseil sur la manipulation

    Minimize freezing and thawing.

    Stock

    -20 °C

    Stockage commentaire

    Aliquot and store at -20°C, with minimal freeze/thawing. A working aliquot may be refrigerated at 4°C for a few weeks and still remain viable.
  • Antigène

    STAP2 (Signal Transducing Adaptor Family Member 2 (STAP2))

    Autre désignation

    STAP2

    Sujet

    STAP2, signal transducing adaptor family member 2, BKS, FLJ20234, BRK substrate, breast tumor kinase substrate, brk kinase substrate, signal-transducing adaptor protein 2, signal-transducing adaptor protein-2,

    ID gène

    55620

    NCBI Accession

    NP_060190, NP_001013863
Vous êtes ici:
Chat with us!