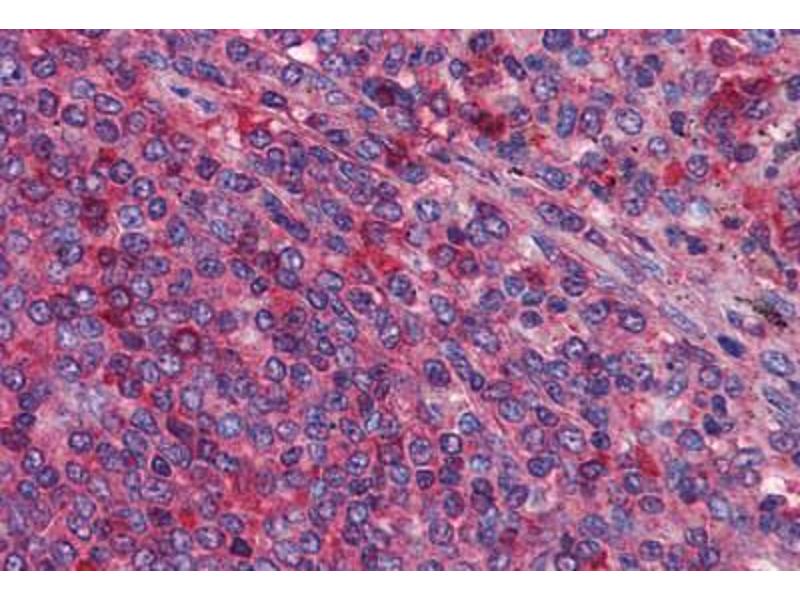
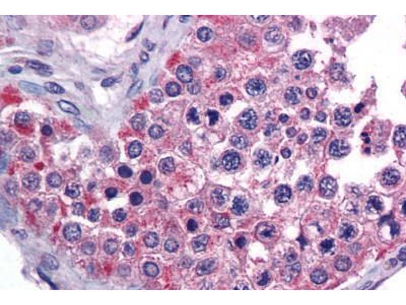
MIA3 anticorps (AA 1-120)
Aperçu rapide pour MIA3 anticorps (AA 1-120) (ABIN574135)
Antigène
Voir toutes MIA3 AnticorpsReactivité
Hôte
Clonalité
Conjugué
Application
-
-
Épitope
- AA 1-120
-
Specificité
- Human MIA3. Predicted cross-reactivity based on amino acid sequence homology: bovine (89 % ).
-
Purification
- Immunoaffinity purified
-
Immunogène
-
Recombinant protein fragment containing a sequence corresponding to a region within amino acids 1 and 120 of MIA3.
Type of Immunogen: Recombinant protein
-
-
-
-
Indications d'application
- Approved: ICC, IF (1:100 - 1:200), IHC, IHC-P (10 μg/mL), WB (1:500 - 1:3000)
-
Commentaires
-
Target Species of Antibody: Human
-
Restrictions
- For Research Use only
-
-
-
Format
- Liquid
-
Concentration
- Lot specific
-
Buffer
- PBS, pH 7, 1 % BSA, 20 % Glycerol, 0.01 % Thimerosal
-
Agent conservateur
- Thimerosal (Merthiolate)
-
Précaution d'utilisation
- This product contains Thimerosal (Merthiolate): a POISONOUS AND HAZARDOUS SUBSTANCE which should be handled by trained staff only.
-
Stock
- -20 °C
-
Stockage commentaire
- Aliquot and store at -20°C. Avoid freeze-thaw cycles.
-
-
- MIA3 (Melanoma Inhibitory Activity Family, Member 3 (MIA3))
-
Autre désignation
- TANGO / MIA3
-
Sujet
-
Name/Gene ID: MIA3
Synonyms: MIA3, C219-reactive peptide, D320, KIAA0268, RP11-378J18.4, TANGO, TANGO1, UNQ6077, C219 reactive peptide -
ID gène
- 375056
Antigène
-