PTBP1 anticorps (AA 45-145)
Aperçu rapide pour PTBP1 anticorps (AA 45-145) (ABIN574324)
Antigène
Voir toutes PTBP1 AnticorpsReactivité
Hôte
Clonalité
Conjugué
Application
Clone
-
-
Épitope
- AA 45-145
-
Purification
- Purified from ascites by Protein A
-
Immunogène
-
PTBP1 (NP_002810, 45 a.a. ~ 145 a.a) partial recombinant protein with GST tag. MW of the GST tag alone is 26 KDa.
Type of Immunogen: Recombinant protein -
Isotype
- IgG1 kappa
-
-
-
-
Indications d'application
-
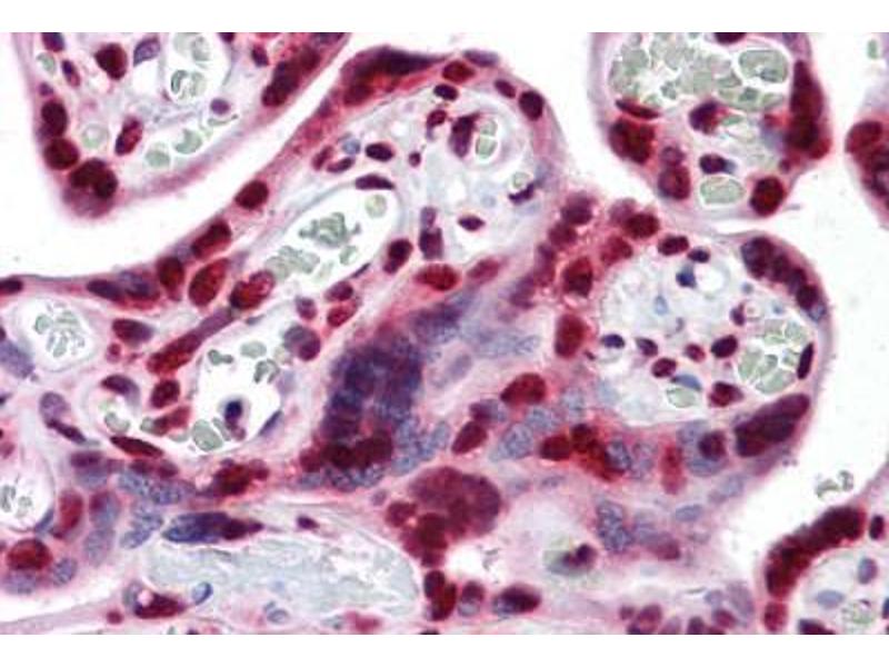
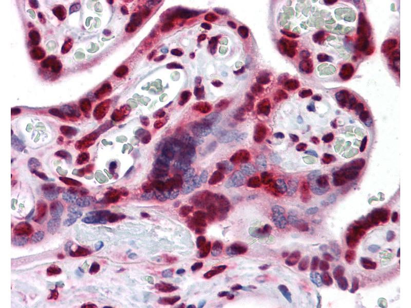
Approved: ELISA, IF (10 μg/mL), IHC, IHC-P (5 μg/mL), WB
Usage: Western Blot (Cell lysate) - positive control A-431. Western Blot (Transfected lysate) - positive control transfected 293T cell line. Immunofluorescence (10 μg/mL) - positive control HeLa cells. Sandwich ELISA (Recombinant protein). -
Commentaires
-
Target Species of Antibody: Human
-
Restrictions
- For Research Use only
-
-
-
Format
- Liquid
-
Concentration
- Lot specific
-
Buffer
- PBS, pH 7.4. Sourced in Ascites.
-
Conseil sur la manipulation
- Aliquot to Avoid freeze/thaw cycles.
-
Stock
- -20 °C
-
Stockage commentaire
- Store at -20°C. Aliquot to avoid freeze/thaw cycles.
-
-
- PTBP1 (Polypyrimidine Tract Binding Protein 1 (PTBP1))
-
Autre désignation
- PTBP1
-
Sujet
-
Name/Gene ID: PTBP1
Synonyms: PTBP1, HnRNP I, HNRNPI, HNRPI, PTB, PPTB, PTB2, PTB4, RNA-binding protein, HNRNP-I, PTB-1, PTB-T, PTB3 -
ID gène
- 5725
-
NCBI Accession
- NP_002810
-
UniProt
- P26599
-
Pathways
- Regulation of Muscle Cell Differentiation
Antigène
-