Tel:
+49 (0)241 95 163 153
Fax:
+49 (0)241 95 163 155
E-Mail:
orders@anticorps-enligne.fr

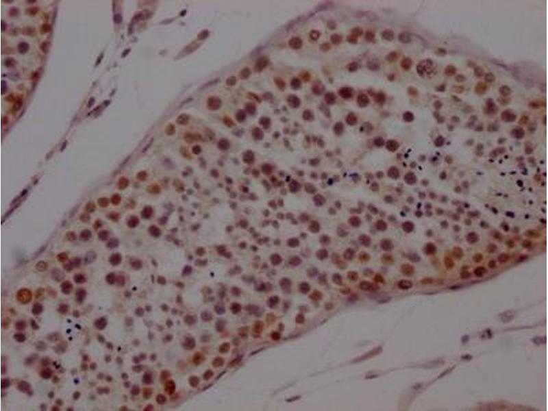
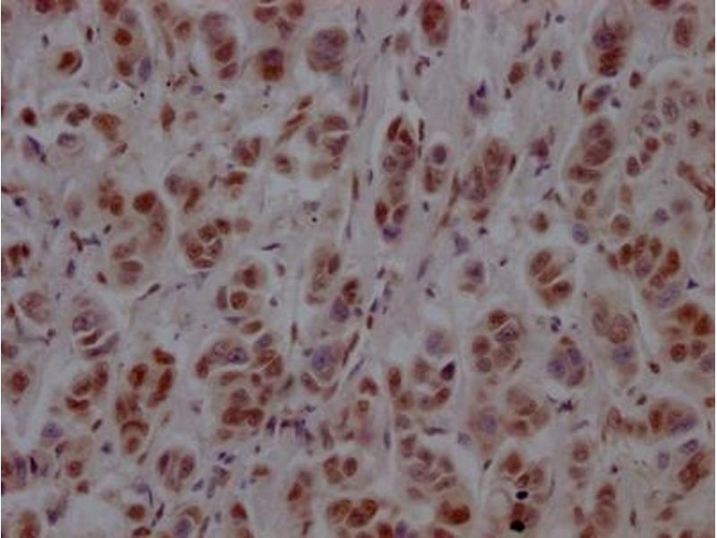
Recombinant PTBP1 anticorps

L’anticorps anti-PTBP1 Monoclonal Lapin est utilisé pour la détection de PTBP1 dans des échantillons de Humain. Il a été validé pour WB, IHC et ELISA.
N° du produit ABIN7127781
385,00 €
Plus frais de livraison 40,00 € et TVA
Destination: France
Envoi sous 11 à 15 jours ouvrables

Aperçu rapide pour Recombinant PTBP1 anticorps (ABIN7127781)

Antigène

Voir toutes PTBP1 Anticorps
PTBP1 (Polypyrimidine Tract Binding Protein 1 (PTBP1))

Type d'anticorp

Recombinant Antibody

Reactivité

  • 78
  • 41
  • 38
  • 4
  • 4
  • 4
  • 3
  • 3
  • 3
  • 2
  • 2
  • 2
  • 2
  • 1
  • 1
  • 1
Humain

Hôte

  • 69
  • 8
  • 1
Lapin

Clonalité

  • 39
  • 39
Monoclonal

Conjugué

  • 38
  • 5
  • 4
  • 4
  • 4
  • 4
  • 4
  • 4
  • 3
  • 2
  • 2
  • 2
  • 1
  • 1
Cet anticorp PTBP1 est non-conjugé

Application

  • 58
  • 36
  • 21
  • 20
  • 16
  • 6
  • 5
  • 4
  • 2
  • 1
  • 1
Western Blotting (WB), Immunohistochemistry (IHC), ELISA

Clone

8A1
  • Fonction

    PTBP1 Recombinant Monoclonal Antibody

    Purification

    Affinity-chromatography

    Immunogène

    A synthesized peptide derived from human PTBP1

    Isotype

    IgG
  • Indications d'application

    WB:1:500-1:5000, IHC:1:50-1:200

    Restrictions

    For Research Use only
  • Format

    Liquid

    Buffer

    phosphate buffered saline, pH 7.4, 150 mM NaCl, 0.02 % sodium azide and 50 % glycerol.

    Agent conservateur

    Sodium azide

    Précaution d'utilisation

    This product contains Sodium azide: a POISONOUS AND HAZARDOUS SUBSTANCE which should be handled by trained staff only.

    Stock

    -20 °C,-80 °C

    Stockage commentaire

    Upon receipt, store at -20°C or -80°C. Avoid repeated freeze.
  • Antigène

    PTBP1 (Polypyrimidine Tract Binding Protein 1 (PTBP1))

    Autre désignation

    PTBP1

    Sujet

    Background: Plays a role in pre-mRNA splicing and in the regulation of alternative splicing events. Activates exon skipping of its own pre-mRNA during muscle cell differentiation. Binds to the polypyrimidine tract of introns. May promote RNA looping when bound to two separate polypyrimidine tracts in the same pre-mRNA. May promote the binding of U2 snRNP to pre-mRNA. Cooperates with RAVER1 to modulate switching between mutually exclusive exons during maturation of the TPM1 pre-mRNA. Represses the splicing of MAPT/Tau exon 10 (PubMed:15009664). In case of infection by picornaviruses, binds to the viral internal ribosome entry site (IRES) and stimulates the IRES-mediated translation (PubMed:21518806).

    Aliases: Polypyrimidine tract-binding protein 1 (PTB) (57 kDa RNA-binding protein PPTB-1) (Heterogeneous nuclear ribonucleoprotein I) (hnRNP I), PTBP1, PTB

    UniProt

    P26599

    Pathways

    Regulation of Muscle Cell Differentiation
Vous êtes ici:
Chat with us!