ROCK2 anticorps (AA 1279-1389)
Aperçu rapide pour ROCK2 anticorps (AA 1279-1389) (ABIN574411)
Antigène
Voir toutes ROCK2 AnticorpsReactivité
Hôte
Clonalité
Conjugué
Application
Clone
-
-
Épitope
- AA 1279-1389
-
Purification
- Purified from ascites by Protein A
-
Immunogène
-
ROCK2 (NP_004841, 1279 a.a. ~ 1389 a.a) partial recombinant protein with GST tag. MW of the GST tag alone is 26 KDa.
Type of Immunogen: Recombinant protein -
Isotype
- IgG1 kappa
-
-
-
-
Indications d'application
-
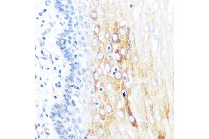
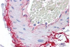
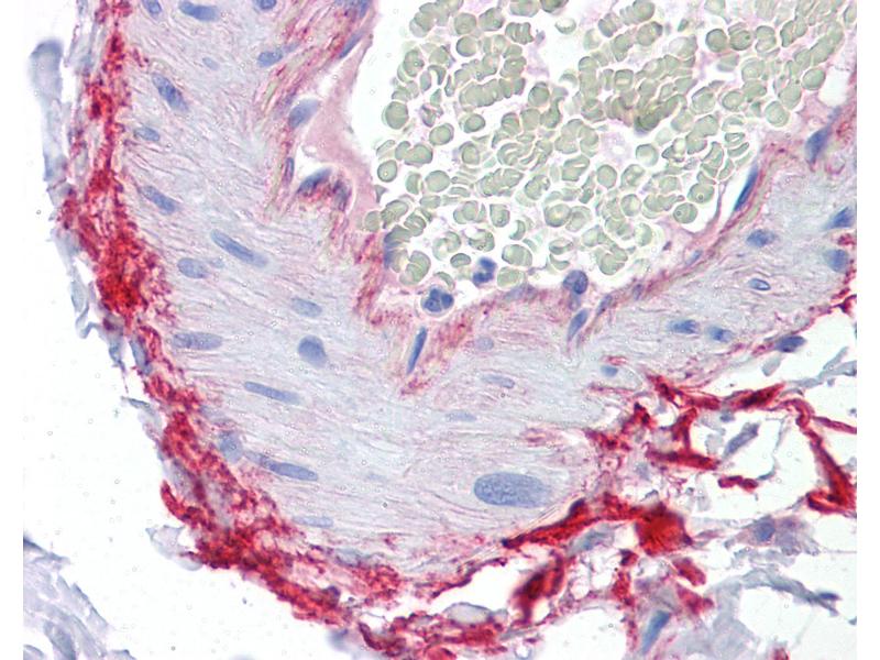
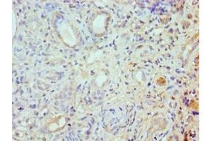
Approved: ELISA, IF (30 μg/mL), IHC, IHC-P (5 μg/mL), WB
Usage: Western Blot (Cell lysate) - positive control Hela NE. Immunofluorescence (30 μg/mL) - positive control HeLa cells. -
Commentaires
-
Target Species of Antibody: Human
-
Restrictions
- For Research Use only
-
-
-
Format
- Liquid
-
Concentration
- Lot specific
-
Buffer
- PBS, pH 7.4.
-
Conseil sur la manipulation
- Aliquot to Avoid freeze/thaw cycles.
-
Stock
- -20 °C
-
Stockage commentaire
- Store at -20°C. Aliquot to avoid freeze/thaw cycles.
-
-
- ROCK2 (rho-Associated, Coiled-Coil Containing Protein Kinase 2 (ROCK2))
-
Autre désignation
- ROCK2
-
Sujet
-
Name/Gene ID: ROCK2
Subfamily: ROCK
Family: Protein Kinase
Synonyms: ROCK2, KIAA0619, p164 ROCK-2, Rho kinase 2, RhoA-associated kinase-2, ROCK-II, Rho kinase II, Rok beta, Rok2, RockII -
ID gène
- 9475
-
NCBI Accession
- NP_004841
-
UniProt
- O75116
-
Pathways
- Dynamique des Microtubules, Signalisation WNT, Tube Formation
Antigène
-