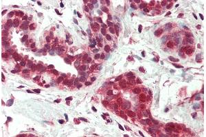
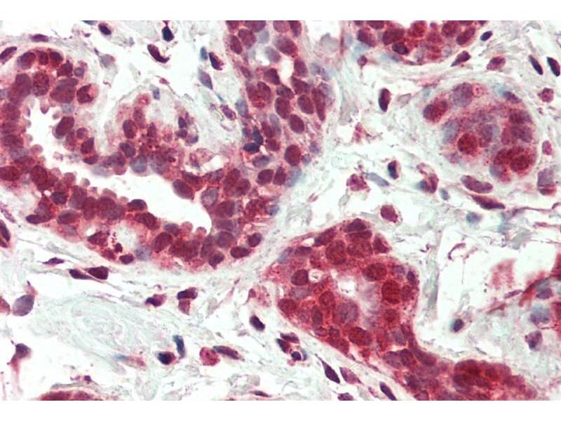
TXNRD2 anticorps
Aperçu rapide pour TXNRD2 anticorps (ABIN5879174)
Antigène
Voir toutes TXNRD2 AnticorpsReactivité
Hôte
Clonalité
Conjugué
Application
-
-
Séquence
- GRLPSKPKQP PDAS
-
Purification
- Purified from goat serum by ammonium sulphate precipitation followed by antigen affinity chromatography using the immunizing peptide
-
Immunogène
- GRLPSKPKQPPDAS.
-
-
-
-
Indications d'application
- Optimal working dilution should be determined by the investigator.
-
Restrictions
- For Research Use only
-
-
-
Format
- Liquid
-
Concentration
- 0.5 mg/mL
-
Buffer
- Supplied at 0.5 mg/mL in Tris saline, 0.02 % sodium azide, pH 7.3 with 0.5 % bovine serum albumin.
-
Agent conservateur
- Sodium azide
-
Précaution d'utilisation
- This product contains Sodium azide: a POISONOUS AND HAZARDOUS SUBSTANCE which should be handled by trained staff only.
-
-
- TXNRD2 (Thioredoxin Reductase 2 (TXNRD2))
-
Autre désignation
- TR3
-
ID gène
- 15370, 79240
-
Pathways
- Cell RedoxHomeostasis
Antigène
-