FNIP2 anticorps (N-Term)
Aperçu rapide pour FNIP2 anticorps (N-Term) (ABIN604687)
Antigène
Voir toutes FNIP2 AnticorpsReactivité
Hôte
Clonalité
Conjugué
Application
-
-
Épitope
- N-Term
-
Specificité
- Multiple isoforms of FNIP2 are known to exist. This antibody is predicted to not cross-react with FNIP1.
-
Purification
- Immunoaffinity purified
-
Isotype
- IgG
-
-
-
-
Indications d'application
-
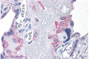
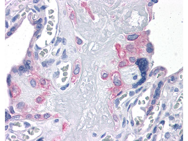
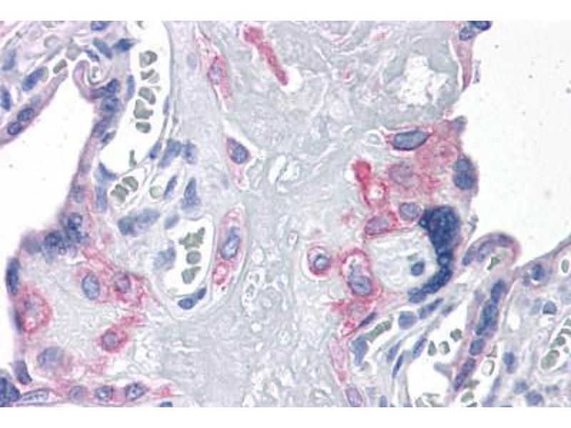
Approved: ELISA, IHC, IHC-P (5 μg/mL), WB (1 - 2 μg/mL)
Usage: FNIP2 antibody can be used for detection of FNIP2 by Western blot at 1-2 μg/mL. -
Commentaires
-
Target Species of Antibody: Human
-
Restrictions
- For Research Use only
-
-
-
Format
- Liquid
-
Concentration
- Lot specific
-
Buffer
- PBS, 0.02 % sodium azide
-
Agent conservateur
- Sodium azide
-
Précaution d'utilisation
- This product contains Sodium azide: a POISONOUS AND HAZARDOUS SUBSTANCE which should be handled by trained staff only.
-
Conseil sur la manipulation
- avoid freeze thaw cycles. Store undiluted.
-
Stock
- 4 °C,-20 °C
-
Stockage commentaire
- Store at 4°C for 3 months and -20°C, stable for up to 1 year. Avoid repeated freeze-thaw cycles.
-
Date de péremption
- 12 months
-
-
- FNIP2 (Folliculin Interacting Protein 2 (FNIP2))
-
Autre désignation
- FNIP2
-
Sujet
-
Name/Gene ID: FNIP2
Synonyms: FNIP2, FNIP1-like protein, FNIPL, MAPO1, KIAA1450 -
ID gène
- 57600
-
UniProt
- Q9P278
Antigène
-