ACCN1 anticorps (AA 15-26)
Aperçu rapide pour ACCN1 anticorps (AA 15-26) (ABIN604846)
Antigène
Voir toutes ACCN1 AnticorpsReactivité
Hôte
Clonalité
Conjugué
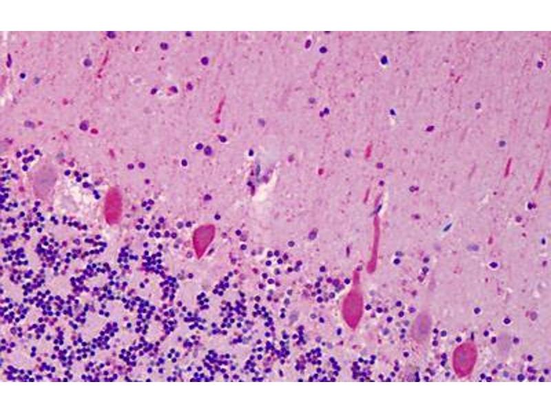
Application
-
-
Épitope
- AA 15-26
-
Specificité
- Recognizes human ASIC 2B.
-
Homologie
- Percent identity by BLAST analysis: Mouse, Rat (92%).
-
Purification
- Immunoaffinity purified
-
Immunogène
-
Synthetic peptide [CSGPGRFMAREQ] corresponding to aa15-26 of ASIC 2B. Percent identity by BLAST analysis: Mouse, Rat (92%).
Type of Immunogen: Synthetic peptide -
Isotype
- IgG
-
-
-
-
Indications d'application
-
Approved: IHC, IHC-P (2.5 - 5 μg/mL)
Usage: Suitable for use in Immunohistochemistry. -
Commentaires
-
Target Species of Antibody: Mouse
-
Restrictions
- For Research Use only
-
-
-
Format
- Liquid
-
Concentration
- Lot specific
-
Buffer
- PBS, 0.05 % sodium azide.
-
Agent conservateur
- Sodium azide
-
Précaution d'utilisation
- This product contains Sodium azide: a POISONOUS AND HAZARDOUS SUBSTANCE which should be handled by trained staff only.
-
Conseil sur la manipulation
- avoid freeze thaw cycles.
-
Stock
- 4 °C,-20 °C
-
Stockage commentaire
- Short term 4°C, long term aliquot and store at -20°C, avoid freeze-thaw cycles.
-
-
- ACCN1 (Amiloride-Sensitive Cation Channel 1, Neuronal (ACCN1))
-
Autre désignation
- ACCN1 / ASIC2
-
Sujet
-
Name/Gene ID: ASIC2
Subfamily: Sodium channel - amiloride-sensitive
Family: Ion Channel
Synonyms: ASIC2, ACCN1, ASIC2a, Brain sodium channel 1, Degenerin, ACCN, Acid-sensing ion channel 2, Mammalian degenerin homolog, MDEG, MDEG1, MDEG2, HBNaC1, BNaC1, MAMMALIAN DEGENERIN -
ID gène
- 40
-
UniProt
- Q16515
-
Pathways
- Sensory Perception of Sound
Antigène
-