SNAP23 anticorps (AA 1-132)
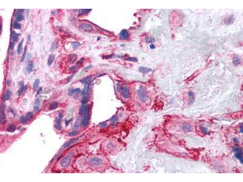
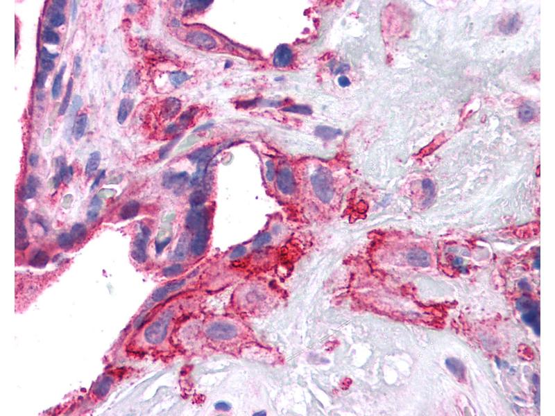
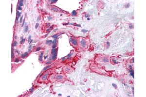
Aperçu rapide pour SNAP23 anticorps (AA 1-132) (ABIN604929)
Antigène
Voir toutes SNAP23 AnticorpsReactivité
Hôte
Clonalité
Conjugué
Application
-
-
Épitope
- AA 1-132
-
Specificité
- Human SNAP23.
-
Purification
- Immunoaffinity purified
-
Immunogène
-
Recombinant protein fragment containing a sequence corresponding to a region within amino acids 1 and 132 of Human SNAP23.
Type of Immunogen: Recombinant protein
-
-
-
-
Indications d'application
- Approved: IHC, IHC-P (10 μg/mL), WB (1:500 - 1:3000)
-
Commentaires
-
Target Species of Antibody: Human
-
Restrictions
- For Research Use only
-
-
-
Format
- Liquid
-
Concentration
- Lot specific
-
Buffer
- 0.1 M Tris-glycine, pH 7, 10 % Glycerol, 0.01 % Thimerosal
-
Agent conservateur
- Thimerosal (Merthiolate)
-
Précaution d'utilisation
- This product contains Thimerosal (Merthiolate): a POISONOUS AND HAZARDOUS SUBSTANCE which should be handled by trained staff only.
-
Conseil sur la manipulation
- Minimize freezing and thawing.
-
Stock
- -20 °C
-
Stockage commentaire
- Aliquot and store at -20°C. Avoid freeze-thaw cycles.
-
-
- SNAP23 (Synaptosomal-Associated Protein, 23kDa (SNAP23))
-
Autre désignation
- SNAP23 / SNAP-23
-
Sujet
-
Name/Gene ID: SNAP23
Family: SNAP-25
Synonyms: SNAP23, HsT17016, SNAP23B, SNAP-23, SNAP23A -
ID gène
- 8773
-
UniProt
- O00161
Antigène
-