Tel:
+49 (0)241 95 163 153
Fax:
+49 (0)241 95 163 155
E-Mail:
orders@anticorps-enligne.fr

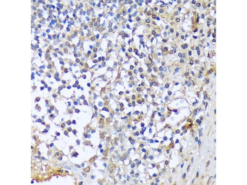
A1CF anticorps (AA 50-120)

L’anticorps anti-A1CF Polyclonal Lapin est utilisé pour la détection de A1CF dans des échantillons de Humain. Il a été validé pour WB et IHC.
N° du produit ABIN6136302
416,00 €
Plus frais de livraison 40,00 € et TVA
Destination: France
Envoi sous 8 à 10 jours ouvrables

Aperçu rapide pour A1CF anticorps (AA 50-120) (ABIN6136302)

Antigène

Voir toutes A1CF Anticorps
A1CF (APOBEC1 Complementation Factor (A1CF))

Reactivité

  • 26
  • 8
  • 7
  • 2
  • 2
  • 2
  • 2
  • 2
  • 2
  • 1
  • 1
  • 1
Humain

Hôte

  • 25
  • 2
Lapin

Clonalité

  • 27
Polyclonal

Conjugué

  • 21
  • 2
  • 1
  • 1
  • 1
  • 1
Cet anticorp A1CF est non-conjugé

Application

  • 24
  • 13
  • 10
  • 10
  • 4
  • 2
  • 1
  • 1
  • 1
  • 1
  • 1
  • 1
Western Blotting (WB), Immunohistochemistry (IHC)
  • Épitope

    • 8
    • 6
    • 5
    • 3
    • 2
    • 2
    • 1
    • 1
    AA 50-120

    Séquence

    APPERGCEIF IGKLPRDLFE DELIPLCEKI GKIYEMRMMM DFNGNNRGYA FVTFSNKVEA KNAIKQLNNY E

     Réactivité croisée

    Humain, Souris, Rat

    Attributs du produit

    Polyclonal Antibodies

    Purification

    Affinity purification

    Immunogène

    Recombinant fusion protein containing a sequence corresponding to amino acids 50-120 of human A1CF (NP_055391.2).

    Isotype

    IgG
  • Indications d'application

    WB,1:500 - 1:2000,IHC,1:50 - 1:200

    Restrictions

    For Research Use only
  • Format

    Liquid

    Buffer

    PBS with 0.02 % sodium azide,50 % glycerol, pH 7.3.

    Agent conservateur

    Sodium azide

    Précaution d'utilisation

    This product contains Sodium azide: a POISONOUS AND HAZARDOUS SUBSTANCE which should be handled by trained staff only.

    Stock

    -20 °C

    Stockage commentaire

    Store at -20°C. Avoid freeze / thaw cycles.
  • Antigène

    A1CF (APOBEC1 Complementation Factor (A1CF))

    Autre désignation

    A1CF

    Sujet

    Mammalian apolipoprotein B mRNA undergoes site-specific C to U deamination, which is mediated by a multi-component enzyme complex containing a minimal core composed of APOBEC-1 and a complementation factor encoded by this gene. The gene product has three non-identical RNA recognition motifs and belongs to the hnRNP R family of RNA-binding proteins. It has been proposed that this complementation factor functions as an RNA-binding subunit and docks APOBEC-1 to deaminate the upstream cytidine. Studies suggest that the protein may also be involved in other RNA editing or RNA processing events. Several transcript variants encoding a few different isoforms have been found for this gene.,A1CF,ACF,ACF64,ACF65,APOBEC1CF,ASP,Epigenetics & Nuclear Signaling,A1CF

    Poids moléculaire

    55 kDa/58 kDa/62 kDa/64 kDa/65 kDa

    ID gène

    29974

    UniProt

    Q9NQ94
Vous êtes ici:
Chat with us!